罕见的关联:新血管性青光眼伴前房闪烁性合成。

Q3 Medicine
Turkish Journal of Ophthalmology Pub Date : 2024-02-22 Epub Date: 2023-11-27 DOI:10.4274/tjo.galenos.2023.39016
Serdar Bayraktar, Atakan Acar, Mehmet Ali Şekeroğlu
{"title":"罕见的关联:新血管性青光眼伴前房闪烁性合成。","authors":"Serdar Bayraktar, Atakan Acar, Mehmet Ali Şekeroğlu","doi":"10.4274/tjo.galenos.2023.39016","DOIUrl":null,"url":null,"abstract":"<p><p>Synchysis scintillans, also known as cholesterolosis bulbi, is a degenerative eye pathology characterized by the accumulation of cholesterol crystals in the vitreous. It is typically observed bilaterally but can rarely be unilateral. It can be triggered by severe trauma, chronic inflammation, chronic retinal detachment, hyphema, vitreous hemorrhage, Coats’ disease, and retinoblastoma. In this report, we present a case with an uncommon association of anterior chamber synchysis scintillans and neovascular glaucoma.</p>","PeriodicalId":23373,"journal":{"name":"Turkish Journal of Ophthalmology","volume":" ","pages":"49-51"},"PeriodicalIF":0.0000,"publicationDate":"2024-02-22","publicationTypes":"Journal Article","fieldsOfStudy":null,"isOpenAccess":false,"openAccessPdf":"https://www.ncbi.nlm.nih.gov/pmc/articles/PMC10895167/pdf/","citationCount":"0","resultStr":"{\"title\":\"A Rare Association: Neovascular Glaucoma Accompanying Anterior Chamber Synchysis Scintillans\",\"authors\":\"Serdar Bayraktar, Atakan Acar, Mehmet Ali Şekeroğlu\",\"doi\":\"10.4274/tjo.galenos.2023.39016\",\"DOIUrl\":null,\"url\":null,\"abstract\":\"<p><p>Synchysis scintillans, also known as cholesterolosis bulbi, is a degenerative eye pathology characterized by the accumulation of cholesterol crystals in the vitreous. It is typically observed bilaterally but can rarely be unilateral. It can be triggered by severe trauma, chronic inflammation, chronic retinal detachment, hyphema, vitreous hemorrhage, Coats’ disease, and retinoblastoma. In this report, we present a case with an uncommon association of anterior chamber synchysis scintillans and neovascular glaucoma.</p>\",\"PeriodicalId\":23373,\"journal\":{\"name\":\"Turkish Journal of Ophthalmology\",\"volume\":\" \",\"pages\":\"49-51\"},\"PeriodicalIF\":0.0000,\"publicationDate\":\"2024-02-22\",\"publicationTypes\":\"Journal Article\",\"fieldsOfStudy\":null,\"isOpenAccess\":false,\"openAccessPdf\":\"https://www.ncbi.nlm.nih.gov/pmc/articles/PMC10895167/pdf/\",\"citationCount\":\"0\",\"resultStr\":null,\"platform\":\"Semanticscholar\",\"paperid\":null,\"PeriodicalName\":\"Turkish Journal of Ophthalmology\",\"FirstCategoryId\":\"1085\",\"ListUrlMain\":\"https://doi.org/10.4274/tjo.galenos.2023.39016\",\"RegionNum\":0,\"RegionCategory\":null,\"ArticlePicture\":[],\"TitleCN\":null,\"AbstractTextCN\":null,\"PMCID\":null,\"EPubDate\":\"2023/11/27 0:00:00\",\"PubModel\":\"Epub\",\"JCR\":\"Q3\",\"JCRName\":\"Medicine\",\"Score\":null,\"Total\":0}","platform":"Semanticscholar","paperid":null,"PeriodicalName":"Turkish Journal of Ophthalmology","FirstCategoryId":"1085","ListUrlMain":"https://doi.org/10.4274/tjo.galenos.2023.39016","RegionNum":0,"RegionCategory":null,"ArticlePicture":[],"TitleCN":null,"AbstractTextCN":null,"PMCID":null,"EPubDate":"2023/11/27 0:00:00","PubModel":"Epub","JCR":"Q3","JCRName":"Medicine","Score":null,"Total":0}
引用次数: 0

摘要

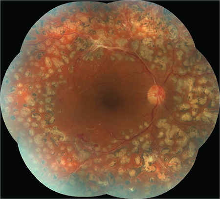
闪烁性结缔组织,也被称为球型胆固醇病,是一种变性眼病理,其特征是在玻璃体中积累胆固醇晶体。它通常发生在双侧,但很少发生在单侧。严重创伤、慢性炎症、慢性视网膜脱离、前房积血、玻璃体出血、科茨病和视网膜母细胞瘤均可引发。在这个报告中,我们提出了一个罕见的前房闪光性synsynysis和新生血管性青光眼的病例。
本文章由计算机程序翻译,如有差异,请以英文原文为准。

A Rare Association: Neovascular Glaucoma Accompanying Anterior Chamber Synchysis Scintillans

A Rare Association: Neovascular Glaucoma Accompanying Anterior Chamber Synchysis Scintillans

A Rare Association: Neovascular Glaucoma Accompanying Anterior Chamber Synchysis Scintillans

A Rare Association: Neovascular Glaucoma Accompanying Anterior Chamber Synchysis Scintillans

Synchysis scintillans, also known as cholesterolosis bulbi, is a degenerative eye pathology characterized by the accumulation of cholesterol crystals in the vitreous. It is typically observed bilaterally but can rarely be unilateral. It can be triggered by severe trauma, chronic inflammation, chronic retinal detachment, hyphema, vitreous hemorrhage, Coats’ disease, and retinoblastoma. In this report, we present a case with an uncommon association of anterior chamber synchysis scintillans and neovascular glaucoma.

求助全文
通过发布文献求助,成功后即可免费获取论文全文。 去求助
来源期刊
Turkish Journal of Ophthalmology
Turkish Journal of Ophthalmology Medicine-Ophthalmology
CiteScore
2.20
自引率
0.00%
发文量
0
期刊介绍: The Turkish Journal of Ophthalmology (TJO) is the only scientific periodical publication of the Turkish Ophthalmological Association and has been published since January 1929. In its early years, the journal was published in Turkish and French. Although there were temporary interruptions in the publication of the journal due to various challenges, the Turkish Journal of Ophthalmology has been published continually from 1971 to the present. The target audience includes specialists and physicians in training in ophthalmology in all relevant disciplines.
×
引用
GB/T 7714-2015
复制
MLA
复制
APA
复制
导出至
BibTeX EndNote RefMan NoteFirst NoteExpress
×
提示
您的信息不完整,为了账户安全,请先补充。
现在去补充
×
提示
您因"违规操作"
具体请查看互助需知
我知道了
×
提示
确定
请完成安全验证×
copy
已复制链接
快去分享给好友吧!
我知道了
右上角分享
点击右上角分享
0
联系我们:info@booksci.cn Book学术提供免费学术资源搜索服务,方便国内外学者检索中英文文献。致力于提供最便捷和优质的服务体验。 Copyright © 2023 布克学术 All rights reserved.
京ICP备2023020795号-1
ghs 京公网安备 11010802042870号
Book学术文献互助
Book学术文献互助群
群 号:604180095
Book学术官方微信