嵌合抗原受体T细胞治疗难治性急性淋巴细胞白血病后细胞因子释放综合征引起的严重血性腹泻。

Haruko Shima, Takahiro Ishikawa, Jumpei Ito, Katsura Emoto, Takumi Kurosawa, Dai Keino, Fumito Yamazaki, Hiroaki Goto, Hiroyuki Shimada
{"title":"嵌合抗原受体T细胞治疗难治性急性淋巴细胞白血病后细胞因子释放综合征引起的严重血性腹泻。","authors":"Haruko Shima,&nbsp;Takahiro Ishikawa,&nbsp;Jumpei Ito,&nbsp;Katsura Emoto,&nbsp;Takumi Kurosawa,&nbsp;Dai Keino,&nbsp;Fumito Yamazaki,&nbsp;Hiroaki Goto,&nbsp;Hiroyuki Shimada","doi":"10.31547/bct-2021-009","DOIUrl":null,"url":null,"abstract":"<p><p>Cytokine release syndrome (CRS), which may be associated with fever, hypotension, hypoxia, and organ damage, is caused by a massive cytokine release after chimeric antigen receptor (CAR)-T cell therapy. We present the case of a patient who developed severe bloody diarrhea due to CRS after CAR-T cell infusion. A 10-year-old boy presented with a second relapse of B-cell precursor acute lymphoblastic leukemia 6 months after hematopoietic stem cell transplantation from an unrelated donor. CAR-T cells (tisagenlecleucel) were infused at the third complete remission after salvage chemotherapy. While fever >39°C was sustained from day 4, circulatory and respiratory status remained stable. However, he experienced severe bloody diarrhea. There was no evidence of infection; lower gastrointestinal (GI) endoscopy revealed extensive edema with erosion and ulceration, suggestive of non-specific intestinal inflammation. Thus, we considered CRS-associated grade 3 GI damage and administered a single dose of tocilizumab for grade 2 CRS, followed by 4 days of corticosteroids. Afterwards, no fever or GI bleeding was observed. Biopsy of the intestinal mucosa revealed ulcerative change with a lack of epithelial cells, which may correspond to histologic grade 4 graft versus host disease (GVHD). However, diarrhea corresponded to stage 1 GVHD, and the GVHD risk after CAR-T cell infusion has been reported to be rare in clinical practice. Although severe GI symptoms associated with CRS after CAR-T therapy are rare, early tocilizumab use is recommended for non-infectious severe GI symptoms to avoid long-term corticosteroid use, which may reduce CAR-T cell efficacy.</p>","PeriodicalId":72423,"journal":{"name":"Blood cell therapy","volume":"5 1","pages":"31-34"},"PeriodicalIF":0.0000,"publicationDate":"2022-02-25","publicationTypes":"Journal Article","fieldsOfStudy":null,"isOpenAccess":false,"openAccessPdf":"https://ftp.ncbi.nlm.nih.gov/pub/pmc/oa_pdf/ae/f5/2432-7026-5-1-0031.PMC9847265.pdf","citationCount":"0","resultStr":"{\"title\":\"Severe bloody diarrhea due to cytokine release syndrome after chimeric antigen receptor T cell therapy for refractory acute lymphoblastic leukemia.\",\"authors\":\"Haruko Shima,&nbsp;Takahiro Ishikawa,&nbsp;Jumpei Ito,&nbsp;Katsura Emoto,&nbsp;Takumi Kurosawa,&nbsp;Dai Keino,&nbsp;Fumito Yamazaki,&nbsp;Hiroaki Goto,&nbsp;Hiroyuki Shimada\",\"doi\":\"10.31547/bct-2021-009\",\"DOIUrl\":null,\"url\":null,\"abstract\":\"<p><p>Cytokine release syndrome (CRS), which may be associated with fever, hypotension, hypoxia, and organ damage, is caused by a massive cytokine release after chimeric antigen receptor (CAR)-T cell therapy. We present the case of a patient who developed severe bloody diarrhea due to CRS after CAR-T cell infusion. A 10-year-old boy presented with a second relapse of B-cell precursor acute lymphoblastic leukemia 6 months after hematopoietic stem cell transplantation from an unrelated donor. CAR-T cells (tisagenlecleucel) were infused at the third complete remission after salvage chemotherapy. While fever >39°C was sustained from day 4, circulatory and respiratory status remained stable. However, he experienced severe bloody diarrhea. There was no evidence of infection; lower gastrointestinal (GI) endoscopy revealed extensive edema with erosion and ulceration, suggestive of non-specific intestinal inflammation. Thus, we considered CRS-associated grade 3 GI damage and administered a single dose of tocilizumab for grade 2 CRS, followed by 4 days of corticosteroids. Afterwards, no fever or GI bleeding was observed. Biopsy of the intestinal mucosa revealed ulcerative change with a lack of epithelial cells, which may correspond to histologic grade 4 graft versus host disease (GVHD). However, diarrhea corresponded to stage 1 GVHD, and the GVHD risk after CAR-T cell infusion has been reported to be rare in clinical practice. Although severe GI symptoms associated with CRS after CAR-T therapy are rare, early tocilizumab use is recommended for non-infectious severe GI symptoms to avoid long-term corticosteroid use, which may reduce CAR-T cell efficacy.</p>\",\"PeriodicalId\":72423,\"journal\":{\"name\":\"Blood cell therapy\",\"volume\":\"5 1\",\"pages\":\"31-34\"},\"PeriodicalIF\":0.0000,\"publicationDate\":\"2022-02-25\",\"publicationTypes\":\"Journal Article\",\"fieldsOfStudy\":null,\"isOpenAccess\":false,\"openAccessPdf\":\"https://ftp.ncbi.nlm.nih.gov/pub/pmc/oa_pdf/ae/f5/2432-7026-5-1-0031.PMC9847265.pdf\",\"citationCount\":\"0\",\"resultStr\":null,\"platform\":\"Semanticscholar\",\"paperid\":null,\"PeriodicalName\":\"Blood cell therapy\",\"FirstCategoryId\":\"1085\",\"ListUrlMain\":\"https://doi.org/10.31547/bct-2021-009\",\"RegionNum\":0,\"RegionCategory\":null,\"ArticlePicture\":[],\"TitleCN\":null,\"AbstractTextCN\":null,\"PMCID\":null,\"EPubDate\":\"\",\"PubModel\":\"\",\"JCR\":\"\",\"JCRName\":\"\",\"Score\":null,\"Total\":0}","platform":"Semanticscholar","paperid":null,"PeriodicalName":"Blood cell therapy","FirstCategoryId":"1085","ListUrlMain":"https://doi.org/10.31547/bct-2021-009","RegionNum":0,"RegionCategory":null,"ArticlePicture":[],"TitleCN":null,"AbstractTextCN":null,"PMCID":null,"EPubDate":"","PubModel":"","JCR":"","JCRName":"","Score":null,"Total":0}
引用次数: 0

摘要

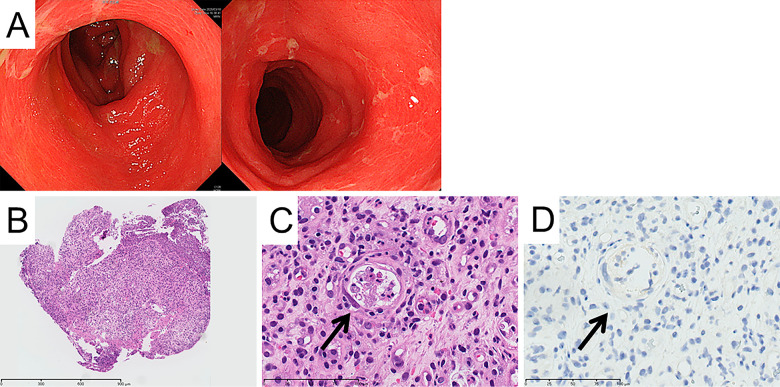
细胞因子释放综合征(CRS)是嵌合抗原受体(CAR)-T细胞治疗后大量细胞因子释放引起的,可能与发热、低血压、缺氧和器官损伤有关。我们提出了一个病例的病人谁发展严重的血性腹泻由于CRS后CAR-T细胞输注。一名10岁男孩在接受非亲属供体造血干细胞移植6个月后再次出现b细胞前体急性淋巴母细胞白血病复发。CAR-T细胞(tisagenlecleucel)在补救性化疗后第三次完全缓解时输注。虽然从第4天开始持续发热>39°C,但循环和呼吸状态保持稳定。然而,他经历了严重的血性腹泻。没有感染的证据;下胃肠道(GI)内镜检查显示广泛水肿,糜烂和溃疡,提示非特异性肠道炎症。因此,我们考虑了CRS相关的3级GI损伤,并对2级CRS给予单剂量tocilizumab,随后给予4天皮质类固醇治疗。术后未见发热或消化道出血。肠黏膜活检显示溃疡性改变,上皮细胞缺乏,这可能对应于组织学上4级移植物抗宿主病(GVHD)。然而,腹泻与1期GVHD相对应,CAR-T细胞输注后的GVHD风险在临床实践中报道罕见。尽管CAR-T治疗后与CRS相关的严重胃肠道症状很少见,但对于非感染性严重胃肠道症状,建议早期使用托珠单抗,以避免长期使用皮质类固醇,这可能会降低CAR-T细胞的疗效。
本文章由计算机程序翻译,如有差异,请以英文原文为准。

Severe bloody diarrhea due to cytokine release syndrome after chimeric antigen receptor T cell therapy for refractory acute lymphoblastic leukemia.

Severe bloody diarrhea due to cytokine release syndrome after chimeric antigen receptor T cell therapy for refractory acute lymphoblastic leukemia.

Severe bloody diarrhea due to cytokine release syndrome after chimeric antigen receptor T cell therapy for refractory acute lymphoblastic leukemia.

Cytokine release syndrome (CRS), which may be associated with fever, hypotension, hypoxia, and organ damage, is caused by a massive cytokine release after chimeric antigen receptor (CAR)-T cell therapy. We present the case of a patient who developed severe bloody diarrhea due to CRS after CAR-T cell infusion. A 10-year-old boy presented with a second relapse of B-cell precursor acute lymphoblastic leukemia 6 months after hematopoietic stem cell transplantation from an unrelated donor. CAR-T cells (tisagenlecleucel) were infused at the third complete remission after salvage chemotherapy. While fever >39°C was sustained from day 4, circulatory and respiratory status remained stable. However, he experienced severe bloody diarrhea. There was no evidence of infection; lower gastrointestinal (GI) endoscopy revealed extensive edema with erosion and ulceration, suggestive of non-specific intestinal inflammation. Thus, we considered CRS-associated grade 3 GI damage and administered a single dose of tocilizumab for grade 2 CRS, followed by 4 days of corticosteroids. Afterwards, no fever or GI bleeding was observed. Biopsy of the intestinal mucosa revealed ulcerative change with a lack of epithelial cells, which may correspond to histologic grade 4 graft versus host disease (GVHD). However, diarrhea corresponded to stage 1 GVHD, and the GVHD risk after CAR-T cell infusion has been reported to be rare in clinical practice. Although severe GI symptoms associated with CRS after CAR-T therapy are rare, early tocilizumab use is recommended for non-infectious severe GI symptoms to avoid long-term corticosteroid use, which may reduce CAR-T cell efficacy.

求助全文
通过发布文献求助,成功后即可免费获取论文全文。 去求助
来源期刊
自引率
0.00%
发文量
0
×
引用
GB/T 7714-2015
复制
MLA
复制
APA
复制
导出至
BibTeX EndNote RefMan NoteFirst NoteExpress
×
提示
您的信息不完整,为了账户安全,请先补充。
现在去补充
×
提示
您因"违规操作"
具体请查看互助需知
我知道了
×
提示
确定
请完成安全验证×
copy
已复制链接
快去分享给好友吧!
我知道了
右上角分享
点击右上角分享
0
联系我们:info@booksci.cn Book学术提供免费学术资源搜索服务,方便国内外学者检索中英文文献。致力于提供最便捷和优质的服务体验。 Copyright © 2023 布克学术 All rights reserved.
京ICP备2023020795号-1
ghs 京公网安备 11010802042870号
Book学术文献互助
Book学术文献互助群
群 号:604180095
Book学术官方微信