第二次异体造血细胞移植后急性胰腺炎伴晚发型急性肝移植物抗宿主病的成功治疗。

Yuka Hosokawa, Tomomi Toubai, Rintaro Ohe, Masashi Hosokawa, Ryo Sato, Akane Yamada, Keiko Aizawa, Masahito Himuro, Satoshi Ito, Masakazu Yamamoto, Daniel Peltier, Kenichi Ishizawa
{"title":"第二次异体造血细胞移植后急性胰腺炎伴晚发型急性肝移植物抗宿主病的成功治疗。","authors":"Yuka Hosokawa,&nbsp;Tomomi Toubai,&nbsp;Rintaro Ohe,&nbsp;Masashi Hosokawa,&nbsp;Ryo Sato,&nbsp;Akane Yamada,&nbsp;Keiko Aizawa,&nbsp;Masahito Himuro,&nbsp;Satoshi Ito,&nbsp;Masakazu Yamamoto,&nbsp;Daniel Peltier,&nbsp;Kenichi Ishizawa","doi":"10.31547/bct-2021-023","DOIUrl":null,"url":null,"abstract":"<p><p>We report the case of a 28-year-old woman who developed upper abdominal pain and jaundice after a second unrelated allogeneic hematopoietic cell transplantation (allo-HCT) for acute lymphoid leukemia (ALL). Laboratory data showed elevated levels of liver enzymes, amylase, and lipase. Although acute pancreatitis was suspected, no structural lesions were detected. Liver biopsy was compatible with late-onset acute graft-versus-host disease (GVHD), which resolved following treatment with methylprednisolone (mPSL) and tacrolimus (TAC). In addition, her serum amylase level and abdominal pain rapidly resolved following acute GVHD-directed therapy. Acute pancreatitis concomitant with late-onset acute liver GVHD is extremely rare and has not been documented subsequent to a second allo-HCT.</p>","PeriodicalId":72423,"journal":{"name":"Blood cell therapy","volume":"5 3","pages":"79-82"},"PeriodicalIF":0.0000,"publicationDate":"2022-08-25","publicationTypes":"Journal Article","fieldsOfStudy":null,"isOpenAccess":false,"openAccessPdf":"https://ftp.ncbi.nlm.nih.gov/pub/pmc/oa_pdf/4a/80/2432-7026-5-3-0079.PMC9873419.pdf","citationCount":"0","resultStr":"{\"title\":\"Successful treatment of acute pancreatitis associated with late-onset acute liver GVHD after second allogeneic hematopoietic cell transplantation.\",\"authors\":\"Yuka Hosokawa,&nbsp;Tomomi Toubai,&nbsp;Rintaro Ohe,&nbsp;Masashi Hosokawa,&nbsp;Ryo Sato,&nbsp;Akane Yamada,&nbsp;Keiko Aizawa,&nbsp;Masahito Himuro,&nbsp;Satoshi Ito,&nbsp;Masakazu Yamamoto,&nbsp;Daniel Peltier,&nbsp;Kenichi Ishizawa\",\"doi\":\"10.31547/bct-2021-023\",\"DOIUrl\":null,\"url\":null,\"abstract\":\"<p><p>We report the case of a 28-year-old woman who developed upper abdominal pain and jaundice after a second unrelated allogeneic hematopoietic cell transplantation (allo-HCT) for acute lymphoid leukemia (ALL). Laboratory data showed elevated levels of liver enzymes, amylase, and lipase. Although acute pancreatitis was suspected, no structural lesions were detected. Liver biopsy was compatible with late-onset acute graft-versus-host disease (GVHD), which resolved following treatment with methylprednisolone (mPSL) and tacrolimus (TAC). In addition, her serum amylase level and abdominal pain rapidly resolved following acute GVHD-directed therapy. Acute pancreatitis concomitant with late-onset acute liver GVHD is extremely rare and has not been documented subsequent to a second allo-HCT.</p>\",\"PeriodicalId\":72423,\"journal\":{\"name\":\"Blood cell therapy\",\"volume\":\"5 3\",\"pages\":\"79-82\"},\"PeriodicalIF\":0.0000,\"publicationDate\":\"2022-08-25\",\"publicationTypes\":\"Journal Article\",\"fieldsOfStudy\":null,\"isOpenAccess\":false,\"openAccessPdf\":\"https://ftp.ncbi.nlm.nih.gov/pub/pmc/oa_pdf/4a/80/2432-7026-5-3-0079.PMC9873419.pdf\",\"citationCount\":\"0\",\"resultStr\":null,\"platform\":\"Semanticscholar\",\"paperid\":null,\"PeriodicalName\":\"Blood cell therapy\",\"FirstCategoryId\":\"1085\",\"ListUrlMain\":\"https://doi.org/10.31547/bct-2021-023\",\"RegionNum\":0,\"RegionCategory\":null,\"ArticlePicture\":[],\"TitleCN\":null,\"AbstractTextCN\":null,\"PMCID\":null,\"EPubDate\":\"\",\"PubModel\":\"\",\"JCR\":\"\",\"JCRName\":\"\",\"Score\":null,\"Total\":0}","platform":"Semanticscholar","paperid":null,"PeriodicalName":"Blood cell therapy","FirstCategoryId":"1085","ListUrlMain":"https://doi.org/10.31547/bct-2021-023","RegionNum":0,"RegionCategory":null,"ArticlePicture":[],"TitleCN":null,"AbstractTextCN":null,"PMCID":null,"EPubDate":"","PubModel":"","JCR":"","JCRName":"","Score":null,"Total":0}
引用次数: 0

摘要

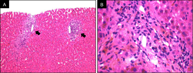
我们报告了一例28岁的女性,她在第二次不相关的异基因造血细胞移植(alloo - hct)治疗急性淋巴细胞白血病(ALL)后出现上腹部疼痛和黄疸。实验室数据显示肝酶、淀粉酶和脂肪酶水平升高。虽然怀疑急性胰腺炎,但未发现结构性病变。肝活检符合迟发性急性移植物抗宿主病(GVHD),该疾病在甲基强的松龙(mPSL)和他克莫司(TAC)治疗后消退。此外,急性gvhd定向治疗后,她的血清淀粉酶水平和腹痛迅速缓解。急性胰腺炎合并迟发性急性肝移植物抗宿主病是极其罕见的,并且在第二次同种异体hct检查后没有记录。
本文章由计算机程序翻译,如有差异,请以英文原文为准。

Successful treatment of acute pancreatitis associated with late-onset acute liver GVHD after second allogeneic hematopoietic cell transplantation.

Successful treatment of acute pancreatitis associated with late-onset acute liver GVHD after second allogeneic hematopoietic cell transplantation.

Successful treatment of acute pancreatitis associated with late-onset acute liver GVHD after second allogeneic hematopoietic cell transplantation.

We report the case of a 28-year-old woman who developed upper abdominal pain and jaundice after a second unrelated allogeneic hematopoietic cell transplantation (allo-HCT) for acute lymphoid leukemia (ALL). Laboratory data showed elevated levels of liver enzymes, amylase, and lipase. Although acute pancreatitis was suspected, no structural lesions were detected. Liver biopsy was compatible with late-onset acute graft-versus-host disease (GVHD), which resolved following treatment with methylprednisolone (mPSL) and tacrolimus (TAC). In addition, her serum amylase level and abdominal pain rapidly resolved following acute GVHD-directed therapy. Acute pancreatitis concomitant with late-onset acute liver GVHD is extremely rare and has not been documented subsequent to a second allo-HCT.

求助全文
通过发布文献求助,成功后即可免费获取论文全文。 去求助
来源期刊
自引率
0.00%
发文量
0
×
引用
GB/T 7714-2015
复制
MLA
复制
APA
复制
导出至
BibTeX EndNote RefMan NoteFirst NoteExpress
×
提示
您的信息不完整,为了账户安全,请先补充。
现在去补充
×
提示
您因"违规操作"
具体请查看互助需知
我知道了
×
提示
确定
请完成安全验证×
copy
已复制链接
快去分享给好友吧!
我知道了
右上角分享
点击右上角分享
0
联系我们:info@booksci.cn Book学术提供免费学术资源搜索服务,方便国内外学者检索中英文文献。致力于提供最便捷和优质的服务体验。 Copyright © 2023 布克学术 All rights reserved.
京ICP备2023020795号-1
ghs 京公网安备 11010802042870号
Book学术文献互助
Book学术文献互助群
群 号:604180095
Book学术官方微信