儿童肾盂输尿管连接处梗阻患者术中解剖变异与组织病理学参数之间的相关性:一项横断面研究。

Shailesh Solanki, Prema Menon, Manasa Reddy, Mayur Parkhi, Kirti Gupta, Pramod K Gupta, Nitin James Peters, Ram Samujh
{"title":"儿童肾盂输尿管连接处梗阻患者术中解剖变异与组织病理学参数之间的相关性:一项横断面研究。","authors":"Shailesh Solanki,&nbsp;Prema Menon,&nbsp;Manasa Reddy,&nbsp;Mayur Parkhi,&nbsp;Kirti Gupta,&nbsp;Pramod K Gupta,&nbsp;Nitin James Peters,&nbsp;Ram Samujh","doi":"10.4103/ajps.ajps_42_22","DOIUrl":null,"url":null,"abstract":"<p><strong>Introduction: </strong>The intraoperative anatomical findings (IOAF) of all ureteropelvic junction obstruction (UPJO) cases are not identical. Moreover, there is also controversy in the literature regarding histopathological (HP) findings in cases of UPJO. In the present study, we evaluated different IOAF and assessed their association with specific HP parameters.</p><p><strong>Materials and methods: </strong>This was a cross-sectional study set-up, which was carried out in a tertiary care centre. Children with UPJO who underwent surgery between 2017 and 2020 were enrolled. The following IOAF were noted: Type of pelvis (extrarenal or intrarenal), insertion of the ureter (high or normal), presence of lower pole crossing vessel (CV), negotiation of UPJ segment with double J stent (3 Fr) and length of internal narrowing (LIN) at UPJ. The resected segment of UPJ was assessed at three levels (pelvis, UPJ and ureter) for various HP parameters including fibrosis, oedema, inflammation and smooth muscle hypertrophy (SMH).</p><p><strong>Results: </strong>Thirty-nine children were included in the study with a mean age of 31 months. The summary statistics of IOAF were intrarenal pelvis in 5 cases, high insertion of the ureter (HIU) in 9, CV in 6, negotiable UPJ in 23, and 16 cases showed LIN >1 cm. All cases showed SMH at the pelvis region and SMH with fibrosis at the UPJ region. At the pelvis region, there was an association between (1) HIU with oedema and chronic inflammation (CIF), (2) CV with CIF and (3) LIN with CIF and SMH. At the UPJ region, there was an association between (1) CV and negotiable UPJ with less fibrosis and (2) LIN with SMH. At the ureteric end, CV showed an association with less fibrosis and more CIF.</p><p><strong>Conclusion: </strong>All UPJO cases have some common HP findings. Although, some particular IOAF, i.e., presence of CV, negotiable UPJ, HIU and LIN showed association with specific HP parameters.</p>","PeriodicalId":72123,"journal":{"name":"African journal of paediatric surgery : AJPS","volume":"20 3","pages":"206-210"},"PeriodicalIF":0.0000,"publicationDate":"2023-07-01","publicationTypes":"Journal Article","fieldsOfStudy":null,"isOpenAccess":false,"openAccessPdf":"https://ftp.ncbi.nlm.nih.gov/pub/pmc/oa_pdf/b9/04/AJPS-20-206.PMC10450119.pdf","citationCount":"0","resultStr":"{\"title\":\"Association between intraoperative anatomical variation and histopathological parameters in cases of ureteropelvic junction obstruction in children: A cross-sectional study.\",\"authors\":\"Shailesh Solanki,&nbsp;Prema Menon,&nbsp;Manasa Reddy,&nbsp;Mayur Parkhi,&nbsp;Kirti Gupta,&nbsp;Pramod K Gupta,&nbsp;Nitin James Peters,&nbsp;Ram Samujh\",\"doi\":\"10.4103/ajps.ajps_42_22\",\"DOIUrl\":null,\"url\":null,\"abstract\":\"<p><strong>Introduction: </strong>The intraoperative anatomical findings (IOAF) of all ureteropelvic junction obstruction (UPJO) cases are not identical. Moreover, there is also controversy in the literature regarding histopathological (HP) findings in cases of UPJO. In the present study, we evaluated different IOAF and assessed their association with specific HP parameters.</p><p><strong>Materials and methods: </strong>This was a cross-sectional study set-up, which was carried out in a tertiary care centre. Children with UPJO who underwent surgery between 2017 and 2020 were enrolled. The following IOAF were noted: Type of pelvis (extrarenal or intrarenal), insertion of the ureter (high or normal), presence of lower pole crossing vessel (CV), negotiation of UPJ segment with double J stent (3 Fr) and length of internal narrowing (LIN) at UPJ. The resected segment of UPJ was assessed at three levels (pelvis, UPJ and ureter) for various HP parameters including fibrosis, oedema, inflammation and smooth muscle hypertrophy (SMH).</p><p><strong>Results: </strong>Thirty-nine children were included in the study with a mean age of 31 months. The summary statistics of IOAF were intrarenal pelvis in 5 cases, high insertion of the ureter (HIU) in 9, CV in 6, negotiable UPJ in 23, and 16 cases showed LIN >1 cm. All cases showed SMH at the pelvis region and SMH with fibrosis at the UPJ region. At the pelvis region, there was an association between (1) HIU with oedema and chronic inflammation (CIF), (2) CV with CIF and (3) LIN with CIF and SMH. At the UPJ region, there was an association between (1) CV and negotiable UPJ with less fibrosis and (2) LIN with SMH. At the ureteric end, CV showed an association with less fibrosis and more CIF.</p><p><strong>Conclusion: </strong>All UPJO cases have some common HP findings. Although, some particular IOAF, i.e., presence of CV, negotiable UPJ, HIU and LIN showed association with specific HP parameters.</p>\",\"PeriodicalId\":72123,\"journal\":{\"name\":\"African journal of paediatric surgery : AJPS\",\"volume\":\"20 3\",\"pages\":\"206-210\"},\"PeriodicalIF\":0.0000,\"publicationDate\":\"2023-07-01\",\"publicationTypes\":\"Journal Article\",\"fieldsOfStudy\":null,\"isOpenAccess\":false,\"openAccessPdf\":\"https://ftp.ncbi.nlm.nih.gov/pub/pmc/oa_pdf/b9/04/AJPS-20-206.PMC10450119.pdf\",\"citationCount\":\"0\",\"resultStr\":null,\"platform\":\"Semanticscholar\",\"paperid\":null,\"PeriodicalName\":\"African journal of paediatric surgery : AJPS\",\"FirstCategoryId\":\"1085\",\"ListUrlMain\":\"https://doi.org/10.4103/ajps.ajps_42_22\",\"RegionNum\":0,\"RegionCategory\":null,\"ArticlePicture\":[],\"TitleCN\":null,\"AbstractTextCN\":null,\"PMCID\":null,\"EPubDate\":\"\",\"PubModel\":\"\",\"JCR\":\"\",\"JCRName\":\"\",\"Score\":null,\"Total\":0}","platform":"Semanticscholar","paperid":null,"PeriodicalName":"African journal of paediatric surgery : AJPS","FirstCategoryId":"1085","ListUrlMain":"https://doi.org/10.4103/ajps.ajps_42_22","RegionNum":0,"RegionCategory":null,"ArticlePicture":[],"TitleCN":null,"AbstractTextCN":null,"PMCID":null,"EPubDate":"","PubModel":"","JCR":"","JCRName":"","Score":null,"Total":0}
引用次数: 0

摘要

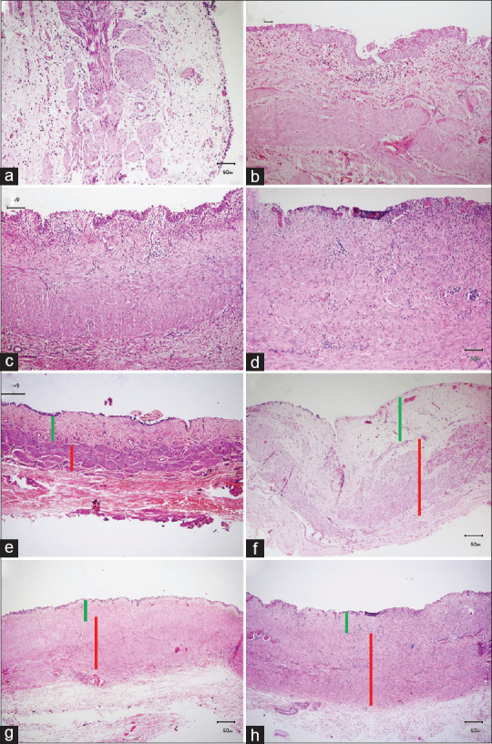
引言:所有肾盂输尿管连接处梗阻(UPJO)病例的术中解剖结果(IOAF)并不相同。此外,文献中关于UPJO病例的组织病理学(HP)发现也存在争议。在本研究中,我们评估了不同的IOAF,并评估了它们与特定HP参数的相关性。材料和方法:这是一项横断面研究,在三级护理中心进行。2017年至2020年间接受手术的UPJO儿童被纳入研究。注意到以下IOAF:骨盆类型(肾外或肾内)、输尿管插入(高位或正常)、存在下极交叉血管(CV)、双J支架通过UPJ段(3Fr)和UPJ处内部狭窄长度(LIN)。从三个层面(骨盆、UPJ和输尿管)评估UPJ切除段的各种HP参数,包括纤维化、水肿、炎症和平滑肌肥大(SMH)。结果:39名平均年龄为31个月的儿童被纳入研究。IOAF的汇总统计数据为肾盂内5例,输尿管高插入(HIU)9例,CV 6例,可协商UPJ 23例,16例LIN>1cm。所有病例均显示骨盆区SMH,UPJ区SMH伴纤维化。在骨盆区域,(1)HIU与水肿和慢性炎症(CIF)有关,(2)CV与CIF有关,(3)LIN与CIF和SMH有关。在UPJ区域,(1)CV和纤维化程度较低的可协商UPJ与(2)LIN和SMH之间存在关联。在输尿管末端,CV显示出较少的纤维化和更多的CIF。结论:所有UPJO病例都有一些常见的HP表现。尽管如此,一些特定的IOAF,即CV、可协商UPJ、HIU和LIN的存在与特定的HP参数有关。
本文章由计算机程序翻译,如有差异,请以英文原文为准。

Association between intraoperative anatomical variation and histopathological parameters in cases of ureteropelvic junction obstruction in children: A cross-sectional study.

Association between intraoperative anatomical variation and histopathological parameters in cases of ureteropelvic junction obstruction in children: A cross-sectional study.

Association between intraoperative anatomical variation and histopathological parameters in cases of ureteropelvic junction obstruction in children: A cross-sectional study.

Association between intraoperative anatomical variation and histopathological parameters in cases of ureteropelvic junction obstruction in children: A cross-sectional study.

Introduction: The intraoperative anatomical findings (IOAF) of all ureteropelvic junction obstruction (UPJO) cases are not identical. Moreover, there is also controversy in the literature regarding histopathological (HP) findings in cases of UPJO. In the present study, we evaluated different IOAF and assessed their association with specific HP parameters.

Materials and methods: This was a cross-sectional study set-up, which was carried out in a tertiary care centre. Children with UPJO who underwent surgery between 2017 and 2020 were enrolled. The following IOAF were noted: Type of pelvis (extrarenal or intrarenal), insertion of the ureter (high or normal), presence of lower pole crossing vessel (CV), negotiation of UPJ segment with double J stent (3 Fr) and length of internal narrowing (LIN) at UPJ. The resected segment of UPJ was assessed at three levels (pelvis, UPJ and ureter) for various HP parameters including fibrosis, oedema, inflammation and smooth muscle hypertrophy (SMH).

Results: Thirty-nine children were included in the study with a mean age of 31 months. The summary statistics of IOAF were intrarenal pelvis in 5 cases, high insertion of the ureter (HIU) in 9, CV in 6, negotiable UPJ in 23, and 16 cases showed LIN >1 cm. All cases showed SMH at the pelvis region and SMH with fibrosis at the UPJ region. At the pelvis region, there was an association between (1) HIU with oedema and chronic inflammation (CIF), (2) CV with CIF and (3) LIN with CIF and SMH. At the UPJ region, there was an association between (1) CV and negotiable UPJ with less fibrosis and (2) LIN with SMH. At the ureteric end, CV showed an association with less fibrosis and more CIF.

Conclusion: All UPJO cases have some common HP findings. Although, some particular IOAF, i.e., presence of CV, negotiable UPJ, HIU and LIN showed association with specific HP parameters.

求助全文
通过发布文献求助,成功后即可免费获取论文全文。 去求助
来源期刊
自引率
0.00%
发文量
0
×
引用
GB/T 7714-2015
复制
MLA
复制
APA
复制
导出至
BibTeX EndNote RefMan NoteFirst NoteExpress
×
提示
您的信息不完整,为了账户安全,请先补充。
现在去补充
×
提示
您因"违规操作"
具体请查看互助需知
我知道了
×
提示
确定
请完成安全验证×
copy
已复制链接
快去分享给好友吧!
我知道了
右上角分享
点击右上角分享
0
联系我们:info@booksci.cn Book学术提供免费学术资源搜索服务,方便国内外学者检索中英文文献。致力于提供最便捷和优质的服务体验。 Copyright © 2023 布克学术 All rights reserved.
京ICP备2023020795号-1
ghs 京公网安备 11010802042870号
Book学术文献互助
Book学术文献互助群
群 号:604180095
Book学术官方微信