弹性稳定髓内钉治疗儿童长骨骨折:在技术平台受限的单元中的结果和挑战。

Eudes Ulrich Elvis Mahougnon Goudjo, Codjo Serge Metchihoungbe, Anani Komlan Mihluedo-Agbolan, Amoussou Sedjro Clotaire Romeo Houegban, Dede Virginie Teko, Octave Exupere Desire Dongmo Miaffo, Komla Gnassingbe
{"title":"弹性稳定髓内钉治疗儿童长骨骨折:在技术平台受限的单元中的结果和挑战。","authors":"Eudes Ulrich Elvis Mahougnon Goudjo,&nbsp;Codjo Serge Metchihoungbe,&nbsp;Anani Komlan Mihluedo-Agbolan,&nbsp;Amoussou Sedjro Clotaire Romeo Houegban,&nbsp;Dede Virginie Teko,&nbsp;Octave Exupere Desire Dongmo Miaffo,&nbsp;Komla Gnassingbe","doi":"10.4103/ajps.ajps_33_22","DOIUrl":null,"url":null,"abstract":"<p><strong>Introduction: </strong>Elastic stable intramedullary nailing (ESIN), developed by the Nancy school in France, is the gold standard for surgical treatment of long bone fractures in children. In Africa, few works have been devoted specifically to this technique.</p><p><strong>Objective: </strong>This study aimed to describe the outcome and to present the challenges with this technique in the treatment of long bone fractures in children.</p><p><strong>Patients and methods: </strong>This was a prospective and descriptive study over 4 years including patients aged 0-15 years old operated using ESIN.</p><p><strong>Results: </strong>Sixty-two patients underwent ESIN, of whom 44 patients (70.96%) were for femur fractures, nine patients (14.52%) for tibia and fibula fractures and nine patients (14.52%) for humerus fractures. The majority of the patients treated with ESIN were children older than 6 years. Nine patients (14.51%) and 13 patients (20.98%) underwent ESIN following polytrauma and multiple fractures, respectively. Seven patients (11.29%) were operated on through-closed ESIN method. The unavailability of image intensifier (38.71%) and the presence of bone callus (40.32%) were the major reasons for using the open ESIN method. Thirty-three patients (53.23%) had minor or major complications. The majority of patients had satisfactory therapeutic outcomes.</p><p><strong>Conclusion: </strong>ESIN gives good results, even when the fracture site is approached.</p>","PeriodicalId":72123,"journal":{"name":"African journal of paediatric surgery : AJPS","volume":"20 3","pages":"184-190"},"PeriodicalIF":0.0000,"publicationDate":"2023-07-01","publicationTypes":"Journal Article","fieldsOfStudy":null,"isOpenAccess":false,"openAccessPdf":"https://ftp.ncbi.nlm.nih.gov/pub/pmc/oa_pdf/f9/db/AJPS-20-184.PMC10450106.pdf","citationCount":"0","resultStr":"{\"title\":\"Treatment of long bone fractures in children by elastic stable intramedullary nailing: Outcome and challenges in a unit with restricted technical platform.\",\"authors\":\"Eudes Ulrich Elvis Mahougnon Goudjo,&nbsp;Codjo Serge Metchihoungbe,&nbsp;Anani Komlan Mihluedo-Agbolan,&nbsp;Amoussou Sedjro Clotaire Romeo Houegban,&nbsp;Dede Virginie Teko,&nbsp;Octave Exupere Desire Dongmo Miaffo,&nbsp;Komla Gnassingbe\",\"doi\":\"10.4103/ajps.ajps_33_22\",\"DOIUrl\":null,\"url\":null,\"abstract\":\"<p><strong>Introduction: </strong>Elastic stable intramedullary nailing (ESIN), developed by the Nancy school in France, is the gold standard for surgical treatment of long bone fractures in children. In Africa, few works have been devoted specifically to this technique.</p><p><strong>Objective: </strong>This study aimed to describe the outcome and to present the challenges with this technique in the treatment of long bone fractures in children.</p><p><strong>Patients and methods: </strong>This was a prospective and descriptive study over 4 years including patients aged 0-15 years old operated using ESIN.</p><p><strong>Results: </strong>Sixty-two patients underwent ESIN, of whom 44 patients (70.96%) were for femur fractures, nine patients (14.52%) for tibia and fibula fractures and nine patients (14.52%) for humerus fractures. The majority of the patients treated with ESIN were children older than 6 years. Nine patients (14.51%) and 13 patients (20.98%) underwent ESIN following polytrauma and multiple fractures, respectively. Seven patients (11.29%) were operated on through-closed ESIN method. The unavailability of image intensifier (38.71%) and the presence of bone callus (40.32%) were the major reasons for using the open ESIN method. Thirty-three patients (53.23%) had minor or major complications. The majority of patients had satisfactory therapeutic outcomes.</p><p><strong>Conclusion: </strong>ESIN gives good results, even when the fracture site is approached.</p>\",\"PeriodicalId\":72123,\"journal\":{\"name\":\"African journal of paediatric surgery : AJPS\",\"volume\":\"20 3\",\"pages\":\"184-190\"},\"PeriodicalIF\":0.0000,\"publicationDate\":\"2023-07-01\",\"publicationTypes\":\"Journal Article\",\"fieldsOfStudy\":null,\"isOpenAccess\":false,\"openAccessPdf\":\"https://ftp.ncbi.nlm.nih.gov/pub/pmc/oa_pdf/f9/db/AJPS-20-184.PMC10450106.pdf\",\"citationCount\":\"0\",\"resultStr\":null,\"platform\":\"Semanticscholar\",\"paperid\":null,\"PeriodicalName\":\"African journal of paediatric surgery : AJPS\",\"FirstCategoryId\":\"1085\",\"ListUrlMain\":\"https://doi.org/10.4103/ajps.ajps_33_22\",\"RegionNum\":0,\"RegionCategory\":null,\"ArticlePicture\":[],\"TitleCN\":null,\"AbstractTextCN\":null,\"PMCID\":null,\"EPubDate\":\"\",\"PubModel\":\"\",\"JCR\":\"\",\"JCRName\":\"\",\"Score\":null,\"Total\":0}","platform":"Semanticscholar","paperid":null,"PeriodicalName":"African journal of paediatric surgery : AJPS","FirstCategoryId":"1085","ListUrlMain":"https://doi.org/10.4103/ajps.ajps_33_22","RegionNum":0,"RegionCategory":null,"ArticlePicture":[],"TitleCN":null,"AbstractTextCN":null,"PMCID":null,"EPubDate":"","PubModel":"","JCR":"","JCRName":"","Score":null,"Total":0}
引用次数: 0

摘要

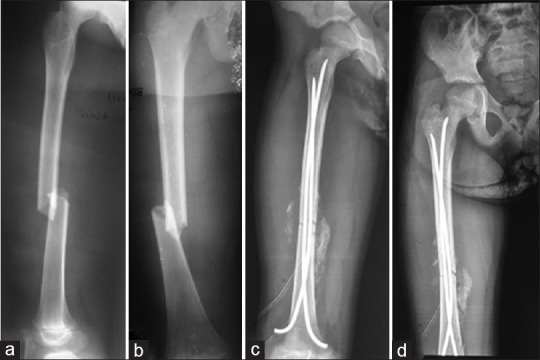
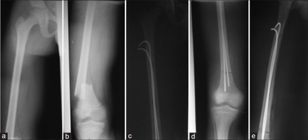
简介:弹性稳定髓内钉(ESIN)由法国Nancy学校开发,是儿童长骨骨折手术治疗的黄金标准。在非洲,很少有专门研究这种技术的作品。目的:本研究旨在描述该技术在治疗儿童长骨骨折中的疗效和挑战。患者和方法:这是一项为期4年的前瞻性描述性研究,包括使用ESIN手术的0-15岁患者。结果:62名患者接受了ESIN,其中44名患者(70.96%)为股骨骨折,9名患者(14.52%)为胫骨和腓骨骨折,9例患者(14.52%)为肱骨骨折。接受ESIN治疗的大多数患者是6岁以上的儿童。分别有9名患者(14.51%)和13名患者(20.98%)在多发性创伤和多发性骨折后接受了ESIN。7例(11.29%)采用闭合式ESIN方法进行手术。图像增强器的不可用(38.71%)和骨痂的存在(40.32%)是使用开放ESIN方法的主要原因。33名患者(53.23%)有轻微或严重并发症。大多数患者的治疗结果令人满意。结论:即使在接近骨折部位时,ESIN也能获得良好的效果。
本文章由计算机程序翻译,如有差异,请以英文原文为准。

Treatment of long bone fractures in children by elastic stable intramedullary nailing: Outcome and challenges in a unit with restricted technical platform.

Treatment of long bone fractures in children by elastic stable intramedullary nailing: Outcome and challenges in a unit with restricted technical platform.

Treatment of long bone fractures in children by elastic stable intramedullary nailing: Outcome and challenges in a unit with restricted technical platform.

Treatment of long bone fractures in children by elastic stable intramedullary nailing: Outcome and challenges in a unit with restricted technical platform.

Introduction: Elastic stable intramedullary nailing (ESIN), developed by the Nancy school in France, is the gold standard for surgical treatment of long bone fractures in children. In Africa, few works have been devoted specifically to this technique.

Objective: This study aimed to describe the outcome and to present the challenges with this technique in the treatment of long bone fractures in children.

Patients and methods: This was a prospective and descriptive study over 4 years including patients aged 0-15 years old operated using ESIN.

Results: Sixty-two patients underwent ESIN, of whom 44 patients (70.96%) were for femur fractures, nine patients (14.52%) for tibia and fibula fractures and nine patients (14.52%) for humerus fractures. The majority of the patients treated with ESIN were children older than 6 years. Nine patients (14.51%) and 13 patients (20.98%) underwent ESIN following polytrauma and multiple fractures, respectively. Seven patients (11.29%) were operated on through-closed ESIN method. The unavailability of image intensifier (38.71%) and the presence of bone callus (40.32%) were the major reasons for using the open ESIN method. Thirty-three patients (53.23%) had minor or major complications. The majority of patients had satisfactory therapeutic outcomes.

Conclusion: ESIN gives good results, even when the fracture site is approached.

求助全文
通过发布文献求助,成功后即可免费获取论文全文。 去求助
来源期刊
自引率
0.00%
发文量
0
×
引用
GB/T 7714-2015
复制
MLA
复制
APA
复制
导出至
BibTeX EndNote RefMan NoteFirst NoteExpress
×
提示
您的信息不完整,为了账户安全,请先补充。
现在去补充
×
提示
您因"违规操作"
具体请查看互助需知
我知道了
×
提示
确定
请完成安全验证×
copy
已复制链接
快去分享给好友吧!
我知道了
右上角分享
点击右上角分享
0
联系我们:info@booksci.cn Book学术提供免费学术资源搜索服务,方便国内外学者检索中英文文献。致力于提供最便捷和优质的服务体验。 Copyright © 2023 布克学术 All rights reserved.
京ICP备2023020795号-1
ghs 京公网安备 11010802042870号
Book学术文献互助
Book学术文献互助群
群 号:604180095
Book学术官方微信