脐带血移植后异源接种SARS-CoV-2诱导严重口腔黏膜GVHD 1例。

Kazuhiro Sanda, Shigeo Fuji, Hidetoshi Satomi, Masanori Kitamura, Nao Nishimura, Yuma Tada, Yasuhiro Shingai, Sayako Yuda, Takafumi Yokota, Jun Ishikawa
{"title":"脐带血移植后异源接种SARS-CoV-2诱导严重口腔黏膜GVHD 1例。","authors":"Kazuhiro Sanda,&nbsp;Shigeo Fuji,&nbsp;Hidetoshi Satomi,&nbsp;Masanori Kitamura,&nbsp;Nao Nishimura,&nbsp;Yuma Tada,&nbsp;Yasuhiro Shingai,&nbsp;Sayako Yuda,&nbsp;Takafumi Yokota,&nbsp;Jun Ishikawa","doi":"10.31547/bct-2022-019","DOIUrl":null,"url":null,"abstract":"<p><p>Patients who have undergone hematopoietic cell transplantation (HCT) are at a higher risk of severe acute respiratory syndrome coronavirus 2 (SARS-Cov-2) infection than the general population. Therefore, early vaccination is recommended for post-transplant patients. Although exacerbation of chronic graft-versus-host disease (cGVHD) after the initial vaccination has been reported, it is unknown whether severe cGVHD occurs when different RNA vaccines are combined. We treated a patient who developed severe oral mucosal cGVHD after receiving two different RNA vaccines. Visual inspection showed that the patient presented with typical mucocutaneous cGVHD, and cGVHD in this case responded well to low-dose steroids compared to common oral GVHD exacerbations. Histopathological findings revealed T cell, B cell, and conspicuous neutrophil infiltration. Multiple doses of SARS-Cov2 vaccination are required in post-transplant recipients. In conclusion, it is essential to obtain the vaccination history of allo-HSCT recipients with cGVHD exacerbation. Furthermore, reviewing the pathological findings may help treat patients with lower doses of steroids.</p>","PeriodicalId":72423,"journal":{"name":"Blood cell therapy","volume":"6 2","pages":"49-53"},"PeriodicalIF":0.0000,"publicationDate":"2023-05-25","publicationTypes":"Journal Article","fieldsOfStudy":null,"isOpenAccess":false,"openAccessPdf":"https://ftp.ncbi.nlm.nih.gov/pub/pmc/oa_pdf/3d/51/2432-7026-6-2-0049.PMC10279489.pdf","citationCount":"0","resultStr":"{\"title\":\"A case of severe oral mucosal GVHD induced by heterologous SARS-CoV-2 vaccination after cord blood transplantation.\",\"authors\":\"Kazuhiro Sanda,&nbsp;Shigeo Fuji,&nbsp;Hidetoshi Satomi,&nbsp;Masanori Kitamura,&nbsp;Nao Nishimura,&nbsp;Yuma Tada,&nbsp;Yasuhiro Shingai,&nbsp;Sayako Yuda,&nbsp;Takafumi Yokota,&nbsp;Jun Ishikawa\",\"doi\":\"10.31547/bct-2022-019\",\"DOIUrl\":null,\"url\":null,\"abstract\":\"<p><p>Patients who have undergone hematopoietic cell transplantation (HCT) are at a higher risk of severe acute respiratory syndrome coronavirus 2 (SARS-Cov-2) infection than the general population. Therefore, early vaccination is recommended for post-transplant patients. Although exacerbation of chronic graft-versus-host disease (cGVHD) after the initial vaccination has been reported, it is unknown whether severe cGVHD occurs when different RNA vaccines are combined. We treated a patient who developed severe oral mucosal cGVHD after receiving two different RNA vaccines. Visual inspection showed that the patient presented with typical mucocutaneous cGVHD, and cGVHD in this case responded well to low-dose steroids compared to common oral GVHD exacerbations. Histopathological findings revealed T cell, B cell, and conspicuous neutrophil infiltration. Multiple doses of SARS-Cov2 vaccination are required in post-transplant recipients. In conclusion, it is essential to obtain the vaccination history of allo-HSCT recipients with cGVHD exacerbation. Furthermore, reviewing the pathological findings may help treat patients with lower doses of steroids.</p>\",\"PeriodicalId\":72423,\"journal\":{\"name\":\"Blood cell therapy\",\"volume\":\"6 2\",\"pages\":\"49-53\"},\"PeriodicalIF\":0.0000,\"publicationDate\":\"2023-05-25\",\"publicationTypes\":\"Journal Article\",\"fieldsOfStudy\":null,\"isOpenAccess\":false,\"openAccessPdf\":\"https://ftp.ncbi.nlm.nih.gov/pub/pmc/oa_pdf/3d/51/2432-7026-6-2-0049.PMC10279489.pdf\",\"citationCount\":\"0\",\"resultStr\":null,\"platform\":\"Semanticscholar\",\"paperid\":null,\"PeriodicalName\":\"Blood cell therapy\",\"FirstCategoryId\":\"1085\",\"ListUrlMain\":\"https://doi.org/10.31547/bct-2022-019\",\"RegionNum\":0,\"RegionCategory\":null,\"ArticlePicture\":[],\"TitleCN\":null,\"AbstractTextCN\":null,\"PMCID\":null,\"EPubDate\":\"\",\"PubModel\":\"\",\"JCR\":\"\",\"JCRName\":\"\",\"Score\":null,\"Total\":0}","platform":"Semanticscholar","paperid":null,"PeriodicalName":"Blood cell therapy","FirstCategoryId":"1085","ListUrlMain":"https://doi.org/10.31547/bct-2022-019","RegionNum":0,"RegionCategory":null,"ArticlePicture":[],"TitleCN":null,"AbstractTextCN":null,"PMCID":null,"EPubDate":"","PubModel":"","JCR":"","JCRName":"","Score":null,"Total":0}
引用次数: 0

摘要

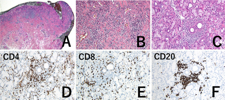
接受过造血细胞移植(HCT)的患者感染严重急性呼吸综合征冠状病毒2 (SARS-Cov-2)的风险高于普通人群。因此,移植后患者建议尽早接种疫苗。尽管有报道称初次接种后慢性移植物抗宿主病(cGVHD)会加重,但尚不清楚不同RNA疫苗联合接种后是否会发生严重的cGVHD。我们治疗了一位在接受两种不同的RNA疫苗后发生严重口腔黏膜cGVHD的患者。目视检查显示患者表现为典型的粘膜皮肤性cGVHD,与常见的口服GVHD加重相比,本例cGVHD对低剂量类固醇反应良好。组织病理学结果显示T细胞、B细胞和明显的中性粒细胞浸润。移植后受者需要多次接种SARS-Cov2疫苗。总之,获得cGVHD加重的同种异体造血移植受者的疫苗接种史是必要的。此外,回顾病理结果可能有助于治疗低剂量类固醇患者。
本文章由计算机程序翻译,如有差异,请以英文原文为准。

A case of severe oral mucosal GVHD induced by heterologous SARS-CoV-2 vaccination after cord blood transplantation.

A case of severe oral mucosal GVHD induced by heterologous SARS-CoV-2 vaccination after cord blood transplantation.

A case of severe oral mucosal GVHD induced by heterologous SARS-CoV-2 vaccination after cord blood transplantation.

Patients who have undergone hematopoietic cell transplantation (HCT) are at a higher risk of severe acute respiratory syndrome coronavirus 2 (SARS-Cov-2) infection than the general population. Therefore, early vaccination is recommended for post-transplant patients. Although exacerbation of chronic graft-versus-host disease (cGVHD) after the initial vaccination has been reported, it is unknown whether severe cGVHD occurs when different RNA vaccines are combined. We treated a patient who developed severe oral mucosal cGVHD after receiving two different RNA vaccines. Visual inspection showed that the patient presented with typical mucocutaneous cGVHD, and cGVHD in this case responded well to low-dose steroids compared to common oral GVHD exacerbations. Histopathological findings revealed T cell, B cell, and conspicuous neutrophil infiltration. Multiple doses of SARS-Cov2 vaccination are required in post-transplant recipients. In conclusion, it is essential to obtain the vaccination history of allo-HSCT recipients with cGVHD exacerbation. Furthermore, reviewing the pathological findings may help treat patients with lower doses of steroids.

求助全文
通过发布文献求助,成功后即可免费获取论文全文。 去求助
来源期刊
自引率
0.00%
发文量
0
×
引用
GB/T 7714-2015
复制
MLA
复制
APA
复制
导出至
BibTeX EndNote RefMan NoteFirst NoteExpress
×
提示
您的信息不完整,为了账户安全,请先补充。
现在去补充
×
提示
您因"违规操作"
具体请查看互助需知
我知道了
×
提示
确定
请完成安全验证×
copy
已复制链接
快去分享给好友吧!
我知道了
右上角分享
点击右上角分享
0
联系我们:info@booksci.cn Book学术提供免费学术资源搜索服务,方便国内外学者检索中英文文献。致力于提供最便捷和优质的服务体验。 Copyright © 2023 布克学术 All rights reserved.
京ICP备2023020795号-1
ghs 京公网安备 11010802042870号
Book学术文献互助
Book学术文献互助群
群 号:604180095
Book学术官方微信