印度一家三级护理医院的儿科钝性腹部创伤谱。

Gali Divya, Vijay Kumar Kundal, Rajasekhar Addagatla, Anil Kumar Garbhapu, Pinaki R Debnath, Amita Sen
{"title":"印度一家三级护理医院的儿科钝性腹部创伤谱。","authors":"Gali Divya,&nbsp;Vijay Kumar Kundal,&nbsp;Rajasekhar Addagatla,&nbsp;Anil Kumar Garbhapu,&nbsp;Pinaki R Debnath,&nbsp;Amita Sen","doi":"10.4103/ajps.ajps_14_22","DOIUrl":null,"url":null,"abstract":"<p><strong>Aim: </strong>To study the profile of paediatric blunt abdominal trauma and to assess the correlation of grade of injury with the outcome.</p><p><strong>Materials and methods: </strong>It is a prospective observational study from January 2015 to December 2020. Children below 12 years with blunt abdominal trauma were included. Patient demographic data, treatment given and the final outcome were recorded. All patients were followed up for a minimum of 6 months to maximum 5 years.</p><p><strong>Results: </strong>A total of 68 patients were included in the study. Fall from height was the most common mode of injury (62%) followed by road traffic accidents (35%) and the other causes included in the miscellaneous group (hit by animal and fall of heavy object on the abdomen; 3%). Most commonly injured organ was liver (n = 28, 41%) followed by spleen (n = 18, 26%) and kidney (n = 15, 22%). Other injuries were bowel perforations (jejunal [n = 4], ileal [n = 1] and large bowel [n = 1]; 9%), pancreaticoduodenal (n = 5, 7%), urinary bladder (n = 3, 4%), abdominal vascular injury (iliac vein-1, inferior vena cava-1;3%), adrenal haematoma (n = 2,3%) and common bile duct (CBD) injury (n = 1, 1%). More than one organ injury was seen in 13 cases (19%). Non-operative management was successful in 84% (n = 27) and laparotomy was done in 16% (n = 11). Most of the patients sustained Grade IV injury (n = 36, 53%) and majority of the patients (n = 60, 88%) had good outcome without any long-term complications.</p><p><strong>Conclusion: </strong>Profile of paediatric blunt abdominal trauma include solid organ injuries such as liver, spleen, kidney, pancreas, adrenal gland and others like bowel injury, CBD, urinary bladder and abdominal vascular injury. The grade of injury does not correlate with the outcome in a higher grade of injury and these children had good outcome.</p>","PeriodicalId":72123,"journal":{"name":"African journal of paediatric surgery : AJPS","volume":"20 3","pages":"191-196"},"PeriodicalIF":0.0000,"publicationDate":"2023-07-01","publicationTypes":"Journal Article","fieldsOfStudy":null,"isOpenAccess":false,"openAccessPdf":"https://ftp.ncbi.nlm.nih.gov/pub/pmc/oa_pdf/d6/69/AJPS-20-191.PMC10450108.pdf","citationCount":"0","resultStr":"{\"title\":\"Spectrum of paediatric blunt abdominal trauma in a tertiary care hospital in India.\",\"authors\":\"Gali Divya,&nbsp;Vijay Kumar Kundal,&nbsp;Rajasekhar Addagatla,&nbsp;Anil Kumar Garbhapu,&nbsp;Pinaki R Debnath,&nbsp;Amita Sen\",\"doi\":\"10.4103/ajps.ajps_14_22\",\"DOIUrl\":null,\"url\":null,\"abstract\":\"<p><strong>Aim: </strong>To study the profile of paediatric blunt abdominal trauma and to assess the correlation of grade of injury with the outcome.</p><p><strong>Materials and methods: </strong>It is a prospective observational study from January 2015 to December 2020. Children below 12 years with blunt abdominal trauma were included. Patient demographic data, treatment given and the final outcome were recorded. All patients were followed up for a minimum of 6 months to maximum 5 years.</p><p><strong>Results: </strong>A total of 68 patients were included in the study. Fall from height was the most common mode of injury (62%) followed by road traffic accidents (35%) and the other causes included in the miscellaneous group (hit by animal and fall of heavy object on the abdomen; 3%). Most commonly injured organ was liver (n = 28, 41%) followed by spleen (n = 18, 26%) and kidney (n = 15, 22%). Other injuries were bowel perforations (jejunal [n = 4], ileal [n = 1] and large bowel [n = 1]; 9%), pancreaticoduodenal (n = 5, 7%), urinary bladder (n = 3, 4%), abdominal vascular injury (iliac vein-1, inferior vena cava-1;3%), adrenal haematoma (n = 2,3%) and common bile duct (CBD) injury (n = 1, 1%). More than one organ injury was seen in 13 cases (19%). Non-operative management was successful in 84% (n = 27) and laparotomy was done in 16% (n = 11). Most of the patients sustained Grade IV injury (n = 36, 53%) and majority of the patients (n = 60, 88%) had good outcome without any long-term complications.</p><p><strong>Conclusion: </strong>Profile of paediatric blunt abdominal trauma include solid organ injuries such as liver, spleen, kidney, pancreas, adrenal gland and others like bowel injury, CBD, urinary bladder and abdominal vascular injury. The grade of injury does not correlate with the outcome in a higher grade of injury and these children had good outcome.</p>\",\"PeriodicalId\":72123,\"journal\":{\"name\":\"African journal of paediatric surgery : AJPS\",\"volume\":\"20 3\",\"pages\":\"191-196\"},\"PeriodicalIF\":0.0000,\"publicationDate\":\"2023-07-01\",\"publicationTypes\":\"Journal Article\",\"fieldsOfStudy\":null,\"isOpenAccess\":false,\"openAccessPdf\":\"https://ftp.ncbi.nlm.nih.gov/pub/pmc/oa_pdf/d6/69/AJPS-20-191.PMC10450108.pdf\",\"citationCount\":\"0\",\"resultStr\":null,\"platform\":\"Semanticscholar\",\"paperid\":null,\"PeriodicalName\":\"African journal of paediatric surgery : AJPS\",\"FirstCategoryId\":\"1085\",\"ListUrlMain\":\"https://doi.org/10.4103/ajps.ajps_14_22\",\"RegionNum\":0,\"RegionCategory\":null,\"ArticlePicture\":[],\"TitleCN\":null,\"AbstractTextCN\":null,\"PMCID\":null,\"EPubDate\":\"\",\"PubModel\":\"\",\"JCR\":\"\",\"JCRName\":\"\",\"Score\":null,\"Total\":0}","platform":"Semanticscholar","paperid":null,"PeriodicalName":"African journal of paediatric surgery : AJPS","FirstCategoryId":"1085","ListUrlMain":"https://doi.org/10.4103/ajps.ajps_14_22","RegionNum":0,"RegionCategory":null,"ArticlePicture":[],"TitleCN":null,"AbstractTextCN":null,"PMCID":null,"EPubDate":"","PubModel":"","JCR":"","JCRName":"","Score":null,"Total":0}
引用次数: 0

摘要

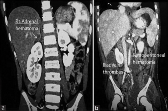
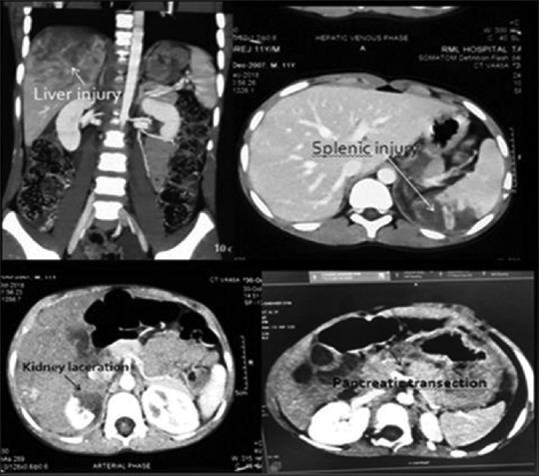
目的:研究儿童钝性腹部创伤的特点,并评估损伤程度与预后的相关性。材料和方法:这是一项2015年1月至2020年12月的前瞻性观察性研究。包括12岁以下腹部钝性创伤的儿童。记录患者的人口统计学数据、所给予的治疗和最终结果。所有患者均接受了最少6个月至最多5年的随访。结果:本研究共纳入68例患者。从高处坠落是最常见的伤害方式(62%),其次是道路交通事故(35%),其他原因包括在杂项组中(被动物撞击和重物坠落腹部;3%)。最常见的损伤器官是肝脏(n=28,41%),其次是脾脏(n=18,26%)和肾脏(n=15,22%)。其他损伤包括肠穿孔(空肠[n=4]、回肠[n=1]和大肠[n=1];9%)、胰十二指肠(n=5,7%)、膀胱(n=3,4%)、腹部血管损伤(髂静脉-1、下腔静脉-1;3%)、肾上腺血肿(n=2,3%)和胆总管(CBD)损伤(n=1,1%)。13例(19%)出现一个以上器官损伤。非手术治疗成功率为84%(n=27),剖腹手术成功率为16%(n=11)。大多数患者遭受IV级损伤(n=36,53%),大多数患者(n=60,88%)预后良好,没有任何长期并发症。结论:小儿钝性腹部损伤包括肝、脾、肾、胰腺、肾上腺等实体器官损伤,以及肠损伤、CBD、膀胱和腹部血管损伤。损伤程度与较高损伤程度的结果无关,这些儿童的结果良好。
本文章由计算机程序翻译,如有差异,请以英文原文为准。

Spectrum of paediatric blunt abdominal trauma in a tertiary care hospital in India.

Spectrum of paediatric blunt abdominal trauma in a tertiary care hospital in India.

Spectrum of paediatric blunt abdominal trauma in a tertiary care hospital in India.

Spectrum of paediatric blunt abdominal trauma in a tertiary care hospital in India.

Aim: To study the profile of paediatric blunt abdominal trauma and to assess the correlation of grade of injury with the outcome.

Materials and methods: It is a prospective observational study from January 2015 to December 2020. Children below 12 years with blunt abdominal trauma were included. Patient demographic data, treatment given and the final outcome were recorded. All patients were followed up for a minimum of 6 months to maximum 5 years.

Results: A total of 68 patients were included in the study. Fall from height was the most common mode of injury (62%) followed by road traffic accidents (35%) and the other causes included in the miscellaneous group (hit by animal and fall of heavy object on the abdomen; 3%). Most commonly injured organ was liver (n = 28, 41%) followed by spleen (n = 18, 26%) and kidney (n = 15, 22%). Other injuries were bowel perforations (jejunal [n = 4], ileal [n = 1] and large bowel [n = 1]; 9%), pancreaticoduodenal (n = 5, 7%), urinary bladder (n = 3, 4%), abdominal vascular injury (iliac vein-1, inferior vena cava-1;3%), adrenal haematoma (n = 2,3%) and common bile duct (CBD) injury (n = 1, 1%). More than one organ injury was seen in 13 cases (19%). Non-operative management was successful in 84% (n = 27) and laparotomy was done in 16% (n = 11). Most of the patients sustained Grade IV injury (n = 36, 53%) and majority of the patients (n = 60, 88%) had good outcome without any long-term complications.

Conclusion: Profile of paediatric blunt abdominal trauma include solid organ injuries such as liver, spleen, kidney, pancreas, adrenal gland and others like bowel injury, CBD, urinary bladder and abdominal vascular injury. The grade of injury does not correlate with the outcome in a higher grade of injury and these children had good outcome.

求助全文
通过发布文献求助,成功后即可免费获取论文全文。 去求助
来源期刊
自引率
0.00%
发文量
0
×
引用
GB/T 7714-2015
复制
MLA
复制
APA
复制
导出至
BibTeX EndNote RefMan NoteFirst NoteExpress
×
提示
您的信息不完整,为了账户安全,请先补充。
现在去补充
×
提示
您因"违规操作"
具体请查看互助需知
我知道了
×
提示
确定
请完成安全验证×
copy
已复制链接
快去分享给好友吧!
我知道了
右上角分享
点击右上角分享
0
联系我们:info@booksci.cn Book学术提供免费学术资源搜索服务,方便国内外学者检索中英文文献。致力于提供最便捷和优质的服务体验。 Copyright © 2023 布克学术 All rights reserved.
京ICP备2023020795号-1
ghs 京公网安备 11010802042870号
Book学术文献互助
Book学术文献互助群
群 号:604180095
Book学术官方微信