A Case of Neurofibromatosis Type 1 Diagnosed after Idiopathic Rupture of Superficial Temporal Artery Pseudoaneurysm Requiring Endovascular Treatment.

Takashi Iwama, Katsuhiro Mizutani, Hajime Kubo, Masahiro Katsumata, Takenori Akiyama, Masahiro Toda
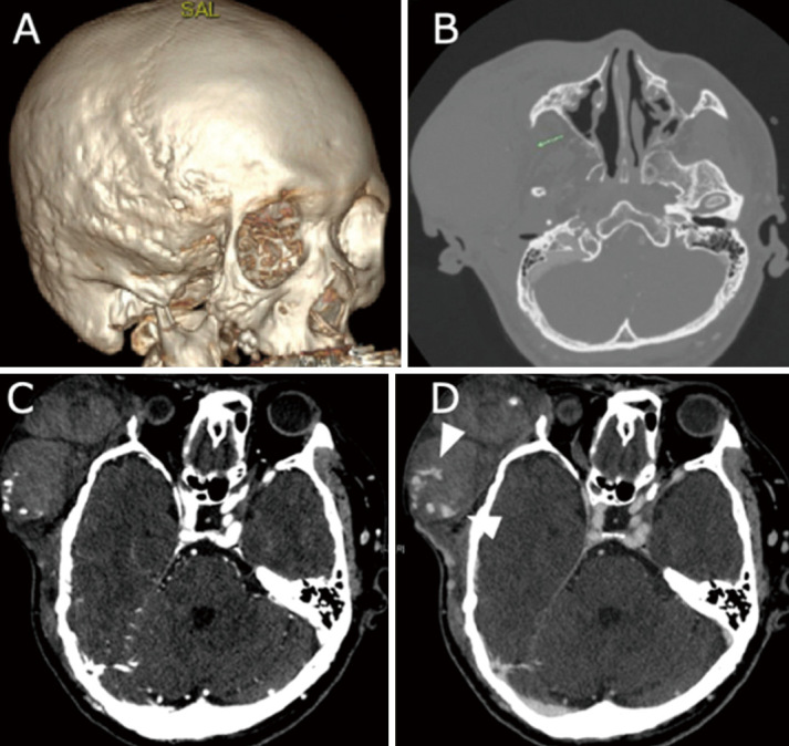
{"title":"A Case of Neurofibromatosis Type 1 Diagnosed after Idiopathic Rupture of Superficial Temporal Artery Pseudoaneurysm Requiring Endovascular Treatment.","authors":"Takashi Iwama,&nbsp;Katsuhiro Mizutani,&nbsp;Hajime Kubo,&nbsp;Masahiro Katsumata,&nbsp;Takenori Akiyama,&nbsp;Masahiro Toda","doi":"10.2176/jns-nmc.2022-0349","DOIUrl":null,"url":null,"abstract":"<p><p>Patients with neurofibromatosis type 1 not only have characteristic skin findings but are also known to have vascular disorders due to vascular vulnerability. A 44-year-old man with previously undiagnosed neurofibromatosis type 1 was brought to the emergency room due to a sudden subcutaneous hematoma with no history of trauma. Angiography revealed extravasation from the parietal branch of the right superficial temporal artery, which was embolized with n-butyl-2-cyanoacrylate. However, the next day, the patient exhibited an increased subcutaneous hematoma, and new extravascular leakage was detected at the frontal branch of the superficial temporal artery, which was also embolized with n-butyl-2-cyanoacrylate. The patient had physical findings characteristic of neurofibromatosis type 1, such as <i>café-au-lait</i> spots, and was subsequently diagnosed with neurofibromatosis type 1. No obvious neurofibroma or any other subcutaneous lesion associated with neurofibromatosis type 1 was identified in the affected area. Massive idiopathic arterial bleeding in the scalp, although infrequent, can be fatal. Neurofibromatosis type 1 should be considered when a subcutaneous scalp hematoma is observed without a history of trauma, even if the facial skin structure appears normal. Neurofibromatosis type 1 is also known to have multiple sources of hemorrhage. Thus, it is important to repeatedly evaluate vascular structures <i>via</i> cerebral angiography, contrast-enhanced computed tomography, and magnetic resonance imaging, if necessary.</p>","PeriodicalId":19260,"journal":{"name":"NMC Case Report Journal","volume":"10 ","pages":"125-130"},"PeriodicalIF":0.0000,"publicationDate":"2023-01-01","publicationTypes":"Journal Article","fieldsOfStudy":null,"isOpenAccess":false,"openAccessPdf":"https://ftp.ncbi.nlm.nih.gov/pub/pmc/oa_pdf/1f/29/2188-4226-10-0125.PMC10247217.pdf","citationCount":"1","resultStr":null,"platform":"Semanticscholar","paperid":null,"PeriodicalName":"NMC Case Report Journal","FirstCategoryId":"1085","ListUrlMain":"https://doi.org/10.2176/jns-nmc.2022-0349","RegionNum":0,"RegionCategory":null,"ArticlePicture":[],"TitleCN":null,"AbstractTextCN":null,"PMCID":null,"EPubDate":"","PubModel":"","JCR":"","JCRName":"","Score":null,"Total":0}
引用次数: 1

Abstract

Patients with neurofibromatosis type 1 not only have characteristic skin findings but are also known to have vascular disorders due to vascular vulnerability. A 44-year-old man with previously undiagnosed neurofibromatosis type 1 was brought to the emergency room due to a sudden subcutaneous hematoma with no history of trauma. Angiography revealed extravasation from the parietal branch of the right superficial temporal artery, which was embolized with n-butyl-2-cyanoacrylate. However, the next day, the patient exhibited an increased subcutaneous hematoma, and new extravascular leakage was detected at the frontal branch of the superficial temporal artery, which was also embolized with n-butyl-2-cyanoacrylate. The patient had physical findings characteristic of neurofibromatosis type 1, such as café-au-lait spots, and was subsequently diagnosed with neurofibromatosis type 1. No obvious neurofibroma or any other subcutaneous lesion associated with neurofibromatosis type 1 was identified in the affected area. Massive idiopathic arterial bleeding in the scalp, although infrequent, can be fatal. Neurofibromatosis type 1 should be considered when a subcutaneous scalp hematoma is observed without a history of trauma, even if the facial skin structure appears normal. Neurofibromatosis type 1 is also known to have multiple sources of hemorrhage. Thus, it is important to repeatedly evaluate vascular structures via cerebral angiography, contrast-enhanced computed tomography, and magnetic resonance imaging, if necessary.

Abstract Image

Abstract Image

Abstract Image

特发性颞浅动脉假性动脉瘤破裂后诊断1型神经纤维瘤病需血管内治疗1例。
1型神经纤维瘤病患者不仅具有特征性的皮肤表现,而且由于血管易损性也有血管疾病。一名44岁男性,先前未确诊为1型神经纤维瘤病,因突然皮下血肿而被送往急诊室,无外伤史。血管造影显示右侧颞浅动脉顶支外渗,用正丁基-2-氰基丙烯酸酯栓塞。然而,第二天,患者表现出皮下血肿增加,并在颞浅动脉额支发现新的血管外渗漏,也用正丁-2-氰基丙烯酸酯栓塞。患者有1型神经纤维瘤病的体征特征,如卡萨梅-奥莱斑,随后被诊断为1型神经纤维瘤病。在受累区域未发现明显的神经纤维瘤或任何其他与1型神经纤维瘤病相关的皮下病变。头皮大量的特发性动脉出血,虽然不常见,但可能是致命的。当无外伤史的头皮皮下血肿时,即使面部皮肤结构看起来正常,也应考虑1型神经纤维瘤病。1型神经纤维瘤病也有多种出血来源。因此,如有必要,通过脑血管造影、增强计算机断层扫描和磁共振成像反复评估血管结构是很重要的。
本文章由计算机程序翻译,如有差异,请以英文原文为准。
求助全文
约1分钟内获得全文 求助全文
来源期刊
自引率
0.00%
发文量
0
×
引用
GB/T 7714-2015
复制
MLA
复制
APA
复制
导出至
BibTeX EndNote RefMan NoteFirst NoteExpress
×
提示
您的信息不完整,为了账户安全,请先补充。
现在去补充
×
提示
您因"违规操作"
具体请查看互助需知
我知道了
×
提示
确定
请完成安全验证×
copy
已复制链接
快去分享给好友吧!
我知道了
右上角分享
点击右上角分享
0
联系我们:info@booksci.cn Book学术提供免费学术资源搜索服务,方便国内外学者检索中英文文献。致力于提供最便捷和优质的服务体验。 Copyright © 2023 布克学术 All rights reserved.
京ICP备2023020795号-1
ghs 京公网安备 11010802042870号
Book学术文献互助
Book学术文献互助群
群 号:604180095
Book学术官方微信