Multilayer Stent for Emergency Treatment of Acute Type B Aortic Dissection: A Case Report.

IF 0.7 4区 医学 Q4 PERIPHERAL VASCULAR DISEASE
Vascular and Endovascular Surgery Pub Date : 2024-02-01 Epub Date: 2023-08-02 DOI:10.1177/15385744231190448
Bernardo Kremer Diniz, Marcello Sena, Paulo Henrique Lima
{"title":"Multilayer Stent for Emergency Treatment of Acute Type B Aortic Dissection: A Case Report.","authors":"Bernardo Kremer Diniz, Marcello Sena, Paulo Henrique Lima","doi":"10.1177/15385744231190448","DOIUrl":null,"url":null,"abstract":"<p><strong>Purpose: </strong>We report the case of an acute type B dissection with high-risk features treated with multilayer stent.</p><p><strong>Case report: </strong>A 50-year-old female patient presented to the emergency department with an acute type B aortic dissection. Conservative medical treatment did control blood pressure but did not alleviate her dissection symptoms. She was treated endovascularly with multilayer stents extensively covering the whole dissected area. HThe aortic arch side branches, visceral arteries and renal arteries remained patent after treatment. The recovery was uneventful, and she was discharged the day after the intervention. At 6- and 12-month follow-up, the patient remained asymptomatic, the true lumen volume increased and all side branches remained patent.</p><p><strong>Conclusion: </strong>We present a case of the use of a multilayer stent for acute type B aortic dissection. This technique allows to treat the whole dissection with low risk of paraplegia or side branch occlusion. Long-term results of ongoing clinical studies should confirm the place of the multilayer stent as a treatment option for type B aortic dissection.</p>","PeriodicalId":23530,"journal":{"name":"Vascular and Endovascular Surgery","volume":" ","pages":"205-208"},"PeriodicalIF":0.7000,"publicationDate":"2024-02-01","publicationTypes":"Journal Article","fieldsOfStudy":null,"isOpenAccess":false,"openAccessPdf":"https://www.ncbi.nlm.nih.gov/pmc/articles/PMC10756007/pdf/","citationCount":"0","resultStr":null,"platform":"Semanticscholar","paperid":null,"PeriodicalName":"Vascular and Endovascular Surgery","FirstCategoryId":"3","ListUrlMain":"https://doi.org/10.1177/15385744231190448","RegionNum":4,"RegionCategory":"医学","ArticlePicture":[],"TitleCN":null,"AbstractTextCN":null,"PMCID":null,"EPubDate":"2023/8/2 0:00:00","PubModel":"Epub","JCR":"Q4","JCRName":"PERIPHERAL VASCULAR DISEASE","Score":null,"Total":0}
引用次数: 0

Abstract

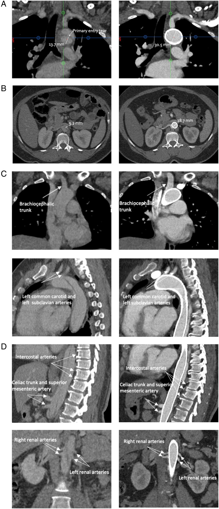
Purpose: We report the case of an acute type B dissection with high-risk features treated with multilayer stent.

Case report: A 50-year-old female patient presented to the emergency department with an acute type B aortic dissection. Conservative medical treatment did control blood pressure but did not alleviate her dissection symptoms. She was treated endovascularly with multilayer stents extensively covering the whole dissected area. HThe aortic arch side branches, visceral arteries and renal arteries remained patent after treatment. The recovery was uneventful, and she was discharged the day after the intervention. At 6- and 12-month follow-up, the patient remained asymptomatic, the true lumen volume increased and all side branches remained patent.

Conclusion: We present a case of the use of a multilayer stent for acute type B aortic dissection. This technique allows to treat the whole dissection with low risk of paraplegia or side branch occlusion. Long-term results of ongoing clinical studies should confirm the place of the multilayer stent as a treatment option for type B aortic dissection.

Abstract Image

Abstract Image

多层支架用于急性 B 型主动脉夹层的紧急治疗:病例报告
目的:我们报告了一例使用多层支架治疗具有高风险特征的急性 B 型主动脉夹层的病例:一名 50 岁的女性患者因急性 B 型主动脉夹层来到急诊科就诊。保守治疗控制了血压,但并未缓解夹层症状。她接受了血管内治疗,多层支架广泛覆盖了整个夹层区域。治疗后,主动脉弓侧支、内脏动脉和肾动脉保持通畅。术后恢复顺利,术后第二天就出院了。在 6 个月和 12 个月的随访中,患者仍无症状,真腔容积增加,所有侧支保持通畅:我们介绍了一例使用多层支架治疗急性 B 型主动脉夹层的病例。结论:我们展示了一例使用多层支架治疗急性 B 型主动脉夹层的病例,这种技术可以治疗整个夹层,而且发生截瘫或侧枝闭塞的风险较低。正在进行的临床研究的长期结果将证实多层支架作为治疗 B 型主动脉夹层的一种选择。
本文章由计算机程序翻译,如有差异,请以英文原文为准。
求助全文
约1分钟内获得全文 求助全文
来源期刊
Vascular and Endovascular Surgery
Vascular and Endovascular Surgery SURGERY-PERIPHERAL VASCULAR DISEASE
CiteScore
1.70
自引率
11.10%
发文量
132
审稿时长
4-8 weeks
期刊介绍: Vascular and Endovascular Surgery (VES) is a peer-reviewed journal that publishes information to guide vascular specialists in endovascular, surgical, and medical treatment of vascular disease. VES contains original scientific articles on vascular intervention, including new endovascular therapies for peripheral artery, aneurysm, carotid, and venous conditions. This journal is a member of the Committee on Publication Ethics (COPE).
×
引用
GB/T 7714-2015
复制
MLA
复制
APA
复制
导出至
BibTeX EndNote RefMan NoteFirst NoteExpress
×
提示
您的信息不完整,为了账户安全,请先补充。
现在去补充
×
提示
您因"违规操作"
具体请查看互助需知
我知道了
×
提示
确定
请完成安全验证×
copy
已复制链接
快去分享给好友吧!
我知道了
右上角分享
点击右上角分享
0
联系我们:info@booksci.cn Book学术提供免费学术资源搜索服务,方便国内外学者检索中英文文献。致力于提供最便捷和优质的服务体验。 Copyright © 2023 布克学术 All rights reserved.
京ICP备2023020795号-1
ghs 京公网安备 11010802042870号
Book学术文献互助
Book学术文献互助群
群 号:604180095
Book学术官方微信