Increased risk of esophageal squamous cell carcinoma in patients with squamous dysplasia: a nationwide cohort study in the Netherlands.

Laurelle van Tilburg, Manon C W Spaander, Marco J Bruno, Lindsey Oudijk, Lara R Heij, Michail Doukas, Arjun D Koch
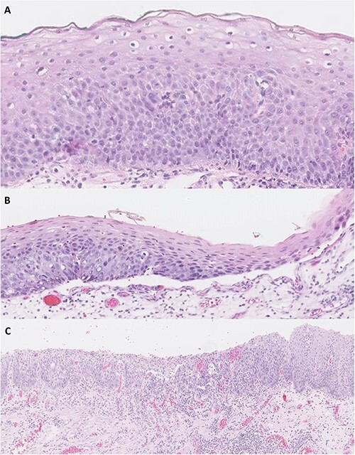
{"title":"Increased risk of esophageal squamous cell carcinoma in patients with squamous dysplasia: a nationwide cohort study in the Netherlands.","authors":"Laurelle van Tilburg, Manon C W Spaander, Marco J Bruno, Lindsey Oudijk, Lara R Heij, Michail Doukas, Arjun D Koch","doi":"10.1093/dote/doad045","DOIUrl":null,"url":null,"abstract":"<p><p>Squamous dysplasia is the histological precursor of esophageal squamous cell carcinoma (ESCC). The optimal management for distinct squamous dysplasia grades remains unclear because the corresponding risk of developing ESCC is unknown. We aimed to assess the ESCC risk in patients with esophageal squamous dysplasia in a Western country. This nationwide cohort study included all patients with esophageal squamous dysplasia, diagnosed between 1991 and 2020 in the Dutch nationwide pathology databank (Palga). Squamous dysplasia was divided in mild-to-moderate dysplasia (mild, low-grade, and moderate dysplasia) and higher-grade dysplasia (high-grade dysplasia, severe dysplasia, carcinoma in situ). ESCC were identified in Palga and the Netherlands Cancer Registry. The primary endpoint was diagnosis of prevalent (≤6 months) and incident (>6 months after squamous dysplasia) ESCC. In total, 873 patients (55% male, aged 68 years SD ± 13.2) were diagnosed with esophageal squamous dysplasia, comprising mild-to-moderate dysplasia (n = 456), higher-grade dysplasia (n = 393), and dysplasia not otherwise specified (n = 24). ESCC was diagnosed in 77 (17%) patients with mild-to-moderate dysplasia (49 prevalent, 28 incident ESCC) and in 162 (41%) patients with higher-grade dysplasia (128 prevalent, 34 incident ESCC). After excluding prevalent ESCC, the annual risk of ESCC was 4.0% (95% CI: 2.7-5.7%) in patients with mild-to-moderate dysplasia and 8.5% (95% CI: 5.9-11.7%) in patients with higher-grade dysplasia. All patients with squamous dysplasia, including those with mild-to-moderate dysplasia, have a substantial risk of developing ESCC. Consequently, endoscopic surveillance of the esophageal mucosa or endoscopic resection of dysplasia should be considered for patients with mild-to-moderate dysplasia in Western countries. KEY MESSAGES What is already known on this topic? Squamous dysplasia is the histological precursor of ESCC and is divided in distinct grades, based on the proportion of the squamous epithelium with histopathological abnormalities. In Western countries, the optimal management for distinct squamous dysplasia grades remains unclear because the corresponding risk of developing ESCC is unknown. What this study adds The ESCC risk of patients with squamous dysplasia was increased for all patients with squamous dysplasia in a Western country; 2.1% for patients with mild dysplasia, 5.1% for low-grade dysplasia, and 5.2% for moderate dysplasia. Increasing grades of squamous dysplasia were associated with an increased ESCC risk. How this study might affect research, practice, or policy We recommend that endoscopic follow-up or treatment should be considered in all patients with esophageal squamous dysplasia in Western countries: 1) for patients with mild, low-grade, and moderate dysplasia, endoscopic surveillance with careful inspection with narrow band imaging or dye-based chromoendoscopy of the esophageal mucosa is indicated; and 2) for patients with high-grade dysplasia, severe dysplasia and carcinoma in situ adequate endoscopic staging and in case of suspected neoplasia endoscopic treatment should be performed.</p>","PeriodicalId":11255,"journal":{"name":"Diseases of the esophagus : official journal of the International Society for Diseases of the Esophagus","volume":" ","pages":""},"PeriodicalIF":0.0000,"publicationDate":"2023-11-30","publicationTypes":"Journal Article","fieldsOfStudy":null,"isOpenAccess":false,"openAccessPdf":"https://www.ncbi.nlm.nih.gov/pmc/articles/PMC10691308/pdf/","citationCount":"1","resultStr":null,"platform":"Semanticscholar","paperid":null,"PeriodicalName":"Diseases of the esophagus : official journal of the International Society for Diseases of the Esophagus","FirstCategoryId":"1085","ListUrlMain":"https://doi.org/10.1093/dote/doad045","RegionNum":0,"RegionCategory":null,"ArticlePicture":[],"TitleCN":null,"AbstractTextCN":null,"PMCID":null,"EPubDate":"","PubModel":"","JCR":"","JCRName":"","Score":null,"Total":0}
引用次数: 1

Abstract

Squamous dysplasia is the histological precursor of esophageal squamous cell carcinoma (ESCC). The optimal management for distinct squamous dysplasia grades remains unclear because the corresponding risk of developing ESCC is unknown. We aimed to assess the ESCC risk in patients with esophageal squamous dysplasia in a Western country. This nationwide cohort study included all patients with esophageal squamous dysplasia, diagnosed between 1991 and 2020 in the Dutch nationwide pathology databank (Palga). Squamous dysplasia was divided in mild-to-moderate dysplasia (mild, low-grade, and moderate dysplasia) and higher-grade dysplasia (high-grade dysplasia, severe dysplasia, carcinoma in situ). ESCC were identified in Palga and the Netherlands Cancer Registry. The primary endpoint was diagnosis of prevalent (≤6 months) and incident (>6 months after squamous dysplasia) ESCC. In total, 873 patients (55% male, aged 68 years SD ± 13.2) were diagnosed with esophageal squamous dysplasia, comprising mild-to-moderate dysplasia (n = 456), higher-grade dysplasia (n = 393), and dysplasia not otherwise specified (n = 24). ESCC was diagnosed in 77 (17%) patients with mild-to-moderate dysplasia (49 prevalent, 28 incident ESCC) and in 162 (41%) patients with higher-grade dysplasia (128 prevalent, 34 incident ESCC). After excluding prevalent ESCC, the annual risk of ESCC was 4.0% (95% CI: 2.7-5.7%) in patients with mild-to-moderate dysplasia and 8.5% (95% CI: 5.9-11.7%) in patients with higher-grade dysplasia. All patients with squamous dysplasia, including those with mild-to-moderate dysplasia, have a substantial risk of developing ESCC. Consequently, endoscopic surveillance of the esophageal mucosa or endoscopic resection of dysplasia should be considered for patients with mild-to-moderate dysplasia in Western countries. KEY MESSAGES What is already known on this topic? Squamous dysplasia is the histological precursor of ESCC and is divided in distinct grades, based on the proportion of the squamous epithelium with histopathological abnormalities. In Western countries, the optimal management for distinct squamous dysplasia grades remains unclear because the corresponding risk of developing ESCC is unknown. What this study adds The ESCC risk of patients with squamous dysplasia was increased for all patients with squamous dysplasia in a Western country; 2.1% for patients with mild dysplasia, 5.1% for low-grade dysplasia, and 5.2% for moderate dysplasia. Increasing grades of squamous dysplasia were associated with an increased ESCC risk. How this study might affect research, practice, or policy We recommend that endoscopic follow-up or treatment should be considered in all patients with esophageal squamous dysplasia in Western countries: 1) for patients with mild, low-grade, and moderate dysplasia, endoscopic surveillance with careful inspection with narrow band imaging or dye-based chromoendoscopy of the esophageal mucosa is indicated; and 2) for patients with high-grade dysplasia, severe dysplasia and carcinoma in situ adequate endoscopic staging and in case of suspected neoplasia endoscopic treatment should be performed.

Abstract Image

Abstract Image

Abstract Image

食管鳞状细胞癌在鳞状发育不良患者中的风险增加:荷兰的一项全国性队列研究
鳞状异常增生是食管鳞状细胞癌(ESCC)的组织学前兆。不同鳞状发育不良等级的最佳治疗方法尚不清楚,因为发生ESCC的相应风险尚不清楚。我们的目的是评估西方国家食管鳞状发育不良患者发生ESCC的风险。这项全国性队列研究包括1991年至2020年间在荷兰全国病理数据库(Palga)中诊断的所有食管鳞状发育不良患者。鳞状非典型增生分为轻至中度非典型增生(轻度、低度和中度非典型增生)和高级别非典型增生(高级别非典型增生、重度非典型增生、原位癌)。ESCC是在Palga和荷兰癌症登记处发现的。主要终点是ESCC的流行(≤6个月)和发生率(鳞状发育不良后>6个月)的诊断。共有873例患者(55%为男性,年龄68岁SD±13.2岁)被诊断为食管鳞状异常增生,包括轻至中度异常增生(n = 456),高级别异常增生(n = 393)和未特别说明的异常增生(n = 24)。77例(17%)轻中度发育不良患者(49例普遍存在,28例发生ESCC)和162例(41%)重度发育不良患者(128例普遍存在,34例发生ESCC)被诊断为ESCC。排除普遍存在的ESCC后,轻度至中度发育不良患者的ESCC年风险为4.0% (95% CI: 2.7-5.7%),高级别发育不良患者的ESCC年风险为8.5% (95% CI: 5.9-11.7%)。所有鳞状发育不良的患者,包括轻度至中度发育不良的患者,都有发生ESCC的巨大风险。因此,在西方国家,对于轻至中度发育不良的患者,应考虑内镜下食管黏膜监测或内镜下切除不典型增生。关于这个话题我们已经知道了什么?鳞状异常增生是ESCC的组织学前体,根据鳞状上皮与组织病理学异常的比例划分为不同的等级。在西方国家,对于不同鳞状发育不良等级的最佳治疗方法尚不清楚,因为发生ESCC的相应风险尚不清楚。在一个西方国家,所有的鳞状异常增生患者发生ESCC的风险都增加了;轻度发育不良占2.1%,低度发育不良占5.1%,中度发育不良占5.2%。鳞状发育不良等级的增加与ESCC风险的增加有关。我们建议在西方国家,所有食管鳞状异常增生患者都应考虑内镜随访或治疗:1)对于轻度、低度和中度食管鳞状异常增生患者,应进行内镜监测,并通过窄带成像或染色内镜对食管粘膜进行仔细检查;2)对于高度不典型增生、严重不典型增生和原位癌患者,应进行适当的内镜分期,如怀疑有肿瘤发生,应进行内镜治疗。
本文章由计算机程序翻译,如有差异,请以英文原文为准。
求助全文
约1分钟内获得全文 求助全文
来源期刊
自引率
0.00%
发文量
0
×
引用
GB/T 7714-2015
复制
MLA
复制
APA
复制
导出至
BibTeX EndNote RefMan NoteFirst NoteExpress
×
提示
您的信息不完整,为了账户安全,请先补充。
现在去补充
×
提示
您因"违规操作"
具体请查看互助需知
我知道了
×
提示
确定
请完成安全验证×
copy
已复制链接
快去分享给好友吧!
我知道了
右上角分享
点击右上角分享
0
联系我们:info@booksci.cn Book学术提供免费学术资源搜索服务,方便国内外学者检索中英文文献。致力于提供最便捷和优质的服务体验。 Copyright © 2023 布克学术 All rights reserved.
京ICP备2023020795号-1
ghs 京公网安备 11010802042870号
Book学术文献互助
Book学术文献互助群
群 号:604180095
Book学术官方微信