Lymphomas affecting the submandibular glands.

IF 2.1 3区 医学
G-R Araújo, A-L Morais-Perdigão, C-V Lopez-de-Cáceres, O-P Almeida, P-A Vargas, E-M Roman-Tager, B-A Andrade, C-D Soares, C-C Ramos, M-M Andrade, A-D Sales, H-A Pontes
{"title":"Lymphomas affecting the submandibular glands.","authors":"G-R Araújo, A-L Morais-Perdigão, C-V Lopez-de-Cáceres, O-P Almeida, P-A Vargas, E-M Roman-Tager, B-A Andrade, C-D Soares, C-C Ramos, M-M Andrade, A-D Sales, H-A Pontes","doi":"10.4317/medoral.26065","DOIUrl":null,"url":null,"abstract":"<p><strong>Background: </strong>Lymphomas affecting the submandibular glands are very uncommon and few reports are currently available in the literature. Therefore, the aim of the current study is to describe the clinical and microscopic features of an original series of lymphomas affecting the submandibular glands.</p><p><strong>Material and methods: </strong>The pathology files of two institutions were searched for lymphoma cases affecting the submandibular glands. The original hematoxylin and eosin, and immunohistochemical slides were revised by a pathologist for diagnosis confirmation following the revised 4th edition of the World Health Organization classification of tumours of haematopoietic and lymphoid tissues. Clinical data regarding age, sex, clinical manifestation, treatment, follow-up and status at last appointment were retrieved from the patients' medical charts.</p><p><strong>Results: </strong>During the period investigated, 16 cases were included in the study. Females predominated (10:6) with a mean age of 57.8 years-old. Tumors usually presented as asymptomatic swellings. MALT lymphoma represented the most common subtype, followed by diffuse large B cell lymphoma and follicular lymphoma. Three patients died, one of them affected by plasmablastic lymphoma, one by DLBCL and one by MALT lymphoma.</p><p><strong>Conclusions: </strong>Low-grade B cell lymphomas predominate in the submandibular glands, but DLBCL and other subtypes may also be rarely diagnosed in this salivary gland.</p>","PeriodicalId":18351,"journal":{"name":"Medicina oral, patologia oral y cirugia bucal","volume":" ","pages":"e78-e86"},"PeriodicalIF":2.1000,"publicationDate":"2024-01-01","publicationTypes":"Journal Article","fieldsOfStudy":null,"isOpenAccess":false,"openAccessPdf":"https://www.ncbi.nlm.nih.gov/pmc/articles/PMC10765330/pdf/","citationCount":"0","resultStr":null,"platform":"Semanticscholar","paperid":null,"PeriodicalName":"Medicina oral, patologia oral y cirugia bucal","FirstCategoryId":"3","ListUrlMain":"https://doi.org/10.4317/medoral.26065","RegionNum":3,"RegionCategory":"医学","ArticlePicture":[],"TitleCN":null,"AbstractTextCN":null,"PMCID":null,"EPubDate":"","PubModel":"","JCR":"","JCRName":"","Score":null,"Total":0}
引用次数: 0

Abstract

Background: Lymphomas affecting the submandibular glands are very uncommon and few reports are currently available in the literature. Therefore, the aim of the current study is to describe the clinical and microscopic features of an original series of lymphomas affecting the submandibular glands.

Material and methods: The pathology files of two institutions were searched for lymphoma cases affecting the submandibular glands. The original hematoxylin and eosin, and immunohistochemical slides were revised by a pathologist for diagnosis confirmation following the revised 4th edition of the World Health Organization classification of tumours of haematopoietic and lymphoid tissues. Clinical data regarding age, sex, clinical manifestation, treatment, follow-up and status at last appointment were retrieved from the patients' medical charts.

Results: During the period investigated, 16 cases were included in the study. Females predominated (10:6) with a mean age of 57.8 years-old. Tumors usually presented as asymptomatic swellings. MALT lymphoma represented the most common subtype, followed by diffuse large B cell lymphoma and follicular lymphoma. Three patients died, one of them affected by plasmablastic lymphoma, one by DLBCL and one by MALT lymphoma.

Conclusions: Low-grade B cell lymphomas predominate in the submandibular glands, but DLBCL and other subtypes may also be rarely diagnosed in this salivary gland.

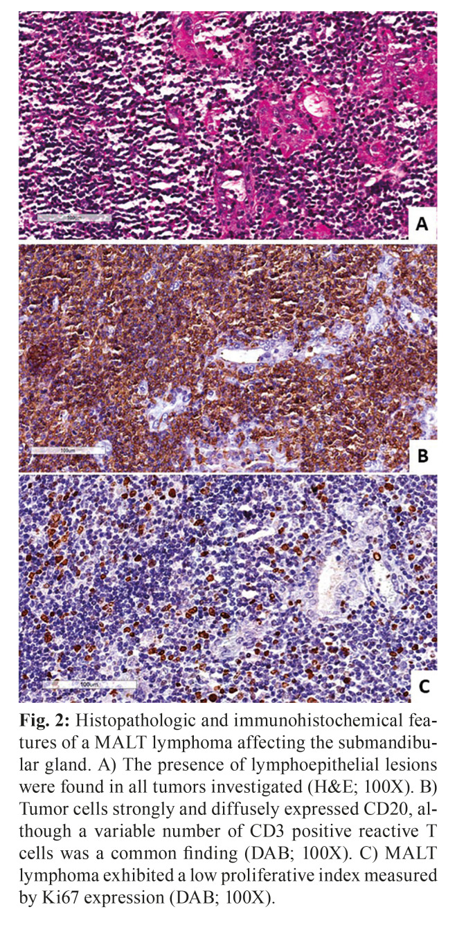
Abstract Image

Abstract Image

Abstract Image

影响颌下腺的淋巴瘤。
背景:影响颌下腺的淋巴瘤非常罕见,目前文献中鲜有报道。因此,本研究旨在描述一系列原始颌下腺淋巴瘤的临床和显微特征:材料和方法:检索了两家机构的病理档案,以寻找累及颌下腺的淋巴瘤病例。病理学家根据世界卫生组织第四版造血和淋巴组织肿瘤分类修订版对原始苏木精、伊红和免疫组化切片进行了修订,以确认诊断。有关年龄、性别、临床表现、治疗、随访和最后一次就诊时的状况等临床数据均来自患者的病历:在调查期间,共有 16 例患者纳入研究。女性占多数(10:6),平均年龄为 57.8 岁。肿瘤通常表现为无症状肿物。MALT 淋巴瘤是最常见的亚型,其次是弥漫大 B 细胞淋巴瘤和滤泡淋巴瘤。3名患者死亡,其中1人死于浆细胞淋巴瘤,1人死于DLBCL,1人死于MALT淋巴瘤:结论:低级别B细胞淋巴瘤主要发生在颌下腺,但DLBCL和其他亚型淋巴瘤也极少在该唾液腺中确诊。
本文章由计算机程序翻译,如有差异,请以英文原文为准。
求助全文
约1分钟内获得全文 求助全文
来源期刊
CiteScore
4.50
自引率
0.00%
发文量
52
期刊介绍: 1. Oral Medicine and Pathology: Clinicopathological as well as medical or surgical management aspects of diseases affecting oral mucosa, salivary glands, maxillary bones, as well as orofacial neurological disorders, and systemic conditions with an impact on the oral cavity. 2. Oral Surgery: Surgical management aspects of diseases affecting oral mucosa, salivary glands, maxillary bones, teeth, implants, oral surgical procedures. Surgical management of diseases affecting head and neck areas. 3. Medically compromised patients in Dentistry: Articles discussing medical problems in Odontology will also be included, with a special focus on the clinico-odontological management of medically compromised patients, and considerations regarding high-risk or disabled patients. 4. Implantology 5. Periodontology
×
引用
GB/T 7714-2015
复制
MLA
复制
APA
复制
导出至
BibTeX EndNote RefMan NoteFirst NoteExpress
×
提示
您的信息不完整,为了账户安全,请先补充。
现在去补充
×
提示
您因"违规操作"
具体请查看互助需知
我知道了
×
提示
确定
请完成安全验证×
copy
已复制链接
快去分享给好友吧!
我知道了
右上角分享
点击右上角分享
0
联系我们:info@booksci.cn Book学术提供免费学术资源搜索服务,方便国内外学者检索中英文文献。致力于提供最便捷和优质的服务体验。 Copyright © 2023 布克学术 All rights reserved.
京ICP备2023020795号-1
ghs 京公网安备 11010802042870号
Book学术文献互助
Book学术文献互助群
群 号:604180095
Book学术官方微信