Gordonia sputi-associated bloodstream infection in a renal transplant patient with chronic indwelling central venous catheter: a case report and literature review.

Calvin Ka-Fung Lo, Conor Broderick, Aleksandra Stefanovic, William Connors, Melanie Murray
{"title":"<i>Gordonia sputi</i>-associated bloodstream infection in a renal transplant patient with chronic indwelling central venous catheter: a case report and literature review.","authors":"Calvin Ka-Fung Lo,&nbsp;Conor Broderick,&nbsp;Aleksandra Stefanovic,&nbsp;William Connors,&nbsp;Melanie Murray","doi":"10.1099/acmi.0.000560.v3","DOIUrl":null,"url":null,"abstract":"<p><strong>Introduction: </strong>Although rare, human infections caused by <i>Gordonia</i> spp. have been reported, especially within the immunocompromised population and those with long-term indwelling devices. We report a case of <i>Gordonia</i> spp. bacteraemia in a renal transplant patient and present a literature review on microbiological identification methods of this organism.</p><p><strong>Case presentation: </strong>A 62-year-old female renal transplant recipient admitted to hospital with a 2-month history of dry cough and fevers occurring weekly when receiving electrolyte replacement infusions via a Groshong line. Over 2 weeks, blood cultures repeatedly isolated a Gram-positive bacillus solely in aerobic bottles, and this was initially reported as <i>Rhodococcus</i> spp. by the local microbiology laboratory. Chest computed tomography (CT) showed multiple ground-glass lung opacities suggestive of septic pulmonary emboli. As central line-associated bloodstream infection was suspected, empirical antibiotics were initiated and the Groshong line was removed. The Gram-positive bacillus was later confirmed by the reference laboratory as <i>Gordonia sputi</i> via 16S rRNA sequencing. Vancomycin and ciprofloxacin for a duration of 6 weeks were completed as targeted antimicrobial therapy. After treatment, the patient remained symptom-free with marked improvement on repeat CT chest imaging.</p><p><strong>Conclusion: </strong>This case illustrates the challenges surrounding identification of <i>Gordonia</i> spp. and other aerobic actinomycetes. 16S rRNA gene sequencing may be a preferred identification method, especially when initial workup of a weakly acid-fast organism fails to make an identification or shows discrepant results using traditional diagnostic modalities.</p>","PeriodicalId":6956,"journal":{"name":"Access Microbiology","volume":"5 6","pages":""},"PeriodicalIF":0.0000,"publicationDate":"2023-01-01","publicationTypes":"Journal Article","fieldsOfStudy":null,"isOpenAccess":false,"openAccessPdf":"https://www.ncbi.nlm.nih.gov/pmc/articles/PMC10323808/pdf/","citationCount":"0","resultStr":null,"platform":"Semanticscholar","paperid":null,"PeriodicalName":"Access Microbiology","FirstCategoryId":"1085","ListUrlMain":"https://doi.org/10.1099/acmi.0.000560.v3","RegionNum":0,"RegionCategory":null,"ArticlePicture":[],"TitleCN":null,"AbstractTextCN":null,"PMCID":null,"EPubDate":"","PubModel":"","JCR":"","JCRName":"","Score":null,"Total":0}
引用次数: 0

Abstract

Introduction: Although rare, human infections caused by Gordonia spp. have been reported, especially within the immunocompromised population and those with long-term indwelling devices. We report a case of Gordonia spp. bacteraemia in a renal transplant patient and present a literature review on microbiological identification methods of this organism.

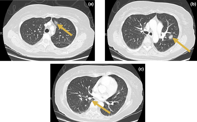
Case presentation: A 62-year-old female renal transplant recipient admitted to hospital with a 2-month history of dry cough and fevers occurring weekly when receiving electrolyte replacement infusions via a Groshong line. Over 2 weeks, blood cultures repeatedly isolated a Gram-positive bacillus solely in aerobic bottles, and this was initially reported as Rhodococcus spp. by the local microbiology laboratory. Chest computed tomography (CT) showed multiple ground-glass lung opacities suggestive of septic pulmonary emboli. As central line-associated bloodstream infection was suspected, empirical antibiotics were initiated and the Groshong line was removed. The Gram-positive bacillus was later confirmed by the reference laboratory as Gordonia sputi via 16S rRNA sequencing. Vancomycin and ciprofloxacin for a duration of 6 weeks were completed as targeted antimicrobial therapy. After treatment, the patient remained symptom-free with marked improvement on repeat CT chest imaging.

Conclusion: This case illustrates the challenges surrounding identification of Gordonia spp. and other aerobic actinomycetes. 16S rRNA gene sequencing may be a preferred identification method, especially when initial workup of a weakly acid-fast organism fails to make an identification or shows discrepant results using traditional diagnostic modalities.

Abstract Image

Abstract Image

Abstract Image

肾移植患者慢性留置中心静脉导管伴脓Gordonia相关血流感染1例报告并文献复习。
虽然罕见,但戈登氏菌引起的人类感染已有报道,特别是在免疫功能低下人群和长期留置器械的人群中。我们报告一例肾移植患者的戈登氏菌血症,并对该菌的微生物鉴定方法进行文献综述。病例介绍:一名62岁女性肾移植受者在接受格罗松输注电解质替代输注后,因干咳和每周发热2个月入院。在2周的时间里,血液培养反复分离出一种革兰氏阳性芽孢杆菌,最初由当地微生物实验室报告为红球菌。胸部电脑断层扫描显示肺部多处磨玻璃影,提示脓毒性肺栓塞。当怀疑中心静脉相关血流感染时,开始使用经验性抗生素,并去除格罗松线。该革兰氏阳性芽孢杆菌经参比实验室16S rRNA测序确认为痰戈登菌。万古霉素和环丙沙星作为靶向抗菌药物治疗6周。治疗后,患者无症状,重复CT胸部成像明显改善。结论:本病例说明了Gordonia spp.和其他需氧放线菌鉴定的挑战。16S rRNA基因测序可能是一种首选的鉴定方法,特别是当弱抗酸生物体的初始检查未能进行鉴定或使用传统诊断方式显示差异结果时。
本文章由计算机程序翻译,如有差异,请以英文原文为准。
求助全文
约1分钟内获得全文 求助全文
来源期刊
自引率
0.00%
发文量
0
×
引用
GB/T 7714-2015
复制
MLA
复制
APA
复制
导出至
BibTeX EndNote RefMan NoteFirst NoteExpress
×
提示
您的信息不完整,为了账户安全,请先补充。
现在去补充
×
提示
您因"违规操作"
具体请查看互助需知
我知道了
×
提示
确定
请完成安全验证×
copy
已复制链接
快去分享给好友吧!
我知道了
右上角分享
点击右上角分享
0
联系我们:info@booksci.cn Book学术提供免费学术资源搜索服务,方便国内外学者检索中英文文献。致力于提供最便捷和优质的服务体验。 Copyright © 2023 布克学术 All rights reserved.
京ICP备2023020795号-1
ghs 京公网安备 11010802042870号
Book学术文献互助
Book学术文献互助群
群 号:604180095
Book学术官方微信