Exercise Intolerance That Resolved After venous Stenting of the Inferior Vena Cava.

IF 0.7 4区 医学 Q4 PERIPHERAL VASCULAR DISEASE
Vascular and Endovascular Surgery Pub Date : 2024-01-01 Epub Date: 2023-07-05 DOI:10.1177/15385744231188801
Jay M Bakas, Adriaan Moelker, Wendy S J Malskat, Marie Josee E Van Rijn
{"title":"Exercise Intolerance That Resolved After venous Stenting of the Inferior Vena Cava.","authors":"Jay M Bakas, Adriaan Moelker, Wendy S J Malskat, Marie Josee E Van Rijn","doi":"10.1177/15385744231188801","DOIUrl":null,"url":null,"abstract":"<p><p>Venous stenting could alleviate exercise intolerance associated with chronic inferior vena cava (IVC) obstruction. We describe a 36-year-old male patient with an unknown IVC-obstruction. The obstruction was discovered after a bi-iliac deep vein thrombosis (DVT). The thrombus was resolved using thrombolysis. In the chronic phase, the patient developed exercise intolerance without any leg-specific symptoms or signs. Venous stenting was performed to open the IVC-obstruction, 1 year after the acute DVT. His physical condition improved, but cardiac magnetic resonance imaging at rest did not reveal hemodynamical changes after stenting. The Short Form Health Survey (SF-36) physical and mental component summaries were increased from 40.3 to 46.1 and 42.2 to 53.7, respectively. In patients with iliocaval obstruction, improved venous flow without changes in resting hemodynamics can enhance exercise intolerance and quality of life, even in the absence of leg symptoms. Diagnostic tools performed only at rest may miss abnormalities.</p>","PeriodicalId":23530,"journal":{"name":"Vascular and Endovascular Surgery","volume":" ","pages":"100-104"},"PeriodicalIF":0.7000,"publicationDate":"2024-01-01","publicationTypes":"Journal Article","fieldsOfStudy":null,"isOpenAccess":false,"openAccessPdf":"https://www.ncbi.nlm.nih.gov/pmc/articles/PMC10644689/pdf/","citationCount":"0","resultStr":null,"platform":"Semanticscholar","paperid":null,"PeriodicalName":"Vascular and Endovascular Surgery","FirstCategoryId":"3","ListUrlMain":"https://doi.org/10.1177/15385744231188801","RegionNum":4,"RegionCategory":"医学","ArticlePicture":[],"TitleCN":null,"AbstractTextCN":null,"PMCID":null,"EPubDate":"2023/7/5 0:00:00","PubModel":"Epub","JCR":"Q4","JCRName":"PERIPHERAL VASCULAR DISEASE","Score":null,"Total":0}
引用次数: 0

Abstract

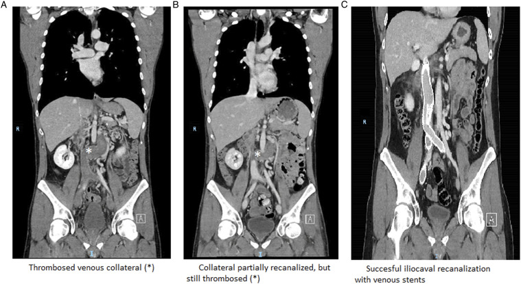
Venous stenting could alleviate exercise intolerance associated with chronic inferior vena cava (IVC) obstruction. We describe a 36-year-old male patient with an unknown IVC-obstruction. The obstruction was discovered after a bi-iliac deep vein thrombosis (DVT). The thrombus was resolved using thrombolysis. In the chronic phase, the patient developed exercise intolerance without any leg-specific symptoms or signs. Venous stenting was performed to open the IVC-obstruction, 1 year after the acute DVT. His physical condition improved, but cardiac magnetic resonance imaging at rest did not reveal hemodynamical changes after stenting. The Short Form Health Survey (SF-36) physical and mental component summaries were increased from 40.3 to 46.1 and 42.2 to 53.7, respectively. In patients with iliocaval obstruction, improved venous flow without changes in resting hemodynamics can enhance exercise intolerance and quality of life, even in the absence of leg symptoms. Diagnostic tools performed only at rest may miss abnormalities.

Abstract Image

Abstract Image

Abstract Image

下腔静脉支架置入术后的运动耐力减退。
静脉支架植入术可以减轻慢性下腔静脉阻塞引起的运动不耐受。我们描述了一个36岁的男性患者未知的下腔静脉阻塞。梗阻是在双髂深静脉血栓形成(DVT)后发现的。采用溶栓法溶解血栓。在慢性期,患者出现运动不耐受,没有任何腿部特异性症状或体征。急性深静脉血栓1年后,行静脉支架术打开静脉阻塞。他的身体状况有所改善,但静息时的心脏磁共振成像未显示支架置入后血流动力学的变化。简短健康调查(SF-36)的身体和精神成分总结分别从40.3增加到46.1和42.2增加到53.7。对于髂腔梗阻患者,即使在没有腿部症状的情况下,在不改变静息血流动力学的情况下改善静脉流量也能改善运动耐受性和生活质量。仅在休息时执行的诊断工具可能会遗漏异常。
本文章由计算机程序翻译,如有差异,请以英文原文为准。
求助全文
约1分钟内获得全文 求助全文
来源期刊
Vascular and Endovascular Surgery
Vascular and Endovascular Surgery SURGERY-PERIPHERAL VASCULAR DISEASE
CiteScore
1.70
自引率
11.10%
发文量
132
审稿时长
4-8 weeks
期刊介绍: Vascular and Endovascular Surgery (VES) is a peer-reviewed journal that publishes information to guide vascular specialists in endovascular, surgical, and medical treatment of vascular disease. VES contains original scientific articles on vascular intervention, including new endovascular therapies for peripheral artery, aneurysm, carotid, and venous conditions. This journal is a member of the Committee on Publication Ethics (COPE).
×
引用
GB/T 7714-2015
复制
MLA
复制
APA
复制
导出至
BibTeX EndNote RefMan NoteFirst NoteExpress
×
提示
您的信息不完整,为了账户安全,请先补充。
现在去补充
×
提示
您因"违规操作"
具体请查看互助需知
我知道了
×
提示
确定
请完成安全验证×
copy
已复制链接
快去分享给好友吧!
我知道了
右上角分享
点击右上角分享
0
联系我们:info@booksci.cn Book学术提供免费学术资源搜索服务,方便国内外学者检索中英文文献。致力于提供最便捷和优质的服务体验。 Copyright © 2023 布克学术 All rights reserved.
京ICP备2023020795号-1
ghs 京公网安备 11010802042870号
Book学术文献互助
Book学术文献互助群
群 号:604180095
Book学术官方微信