CT Imaging of Coronary Stents: Past, Present, and Future.

Andreas H Mahnken
{"title":"CT Imaging of Coronary Stents: Past, Present, and Future.","authors":"Andreas H Mahnken","doi":"10.5402/2012/139823","DOIUrl":null,"url":null,"abstract":"Coronary stenting became a mainstay in coronary revascularization therapy. Despite tremendous advances in therapy, in-stent restenosis (ISR) remains a key problem after coronary stenting. Coronary CT angiography evolved as a valuable tool in the diagnostic workup of patients after coronary revascularization therapy. It has a negative predictive value in the range of 98% for ruling out significant ISR. As CT imaging of coronary stents depends on patient and stent characteristics, patient selection is crucial for success. Ideal candidates have stents with a diameter of 3 mm and more. Nevertheless, even with most recent CT scanners, about 8% of stents are not accessible mostly due to blooming or motion artifacts. While the diagnosis of ISR is currently based on the visual assessment of the stent lumen, functional information on the hemodynamic significance of in-stent stenosis became available with the most recent generation of dual source CT scanners. This paper provides a comprehensive overview on previous developments, current techniques, and clinical evidence for cardiac CT in patients with coronary artery stents.","PeriodicalId":73519,"journal":{"name":"ISRN cardiology","volume":"2012 ","pages":"139823"},"PeriodicalIF":0.0000,"publicationDate":"2012-01-01","publicationTypes":"Journal Article","fieldsOfStudy":null,"isOpenAccess":false,"openAccessPdf":"https://sci-hub-pdf.com/10.5402/2012/139823","citationCount":"59","resultStr":null,"platform":"Semanticscholar","paperid":null,"PeriodicalName":"ISRN cardiology","FirstCategoryId":"1085","ListUrlMain":"https://doi.org/10.5402/2012/139823","RegionNum":0,"RegionCategory":null,"ArticlePicture":[],"TitleCN":null,"AbstractTextCN":null,"PMCID":null,"EPubDate":"","PubModel":"","JCR":"","JCRName":"","Score":null,"Total":0}
引用次数: 59

Abstract

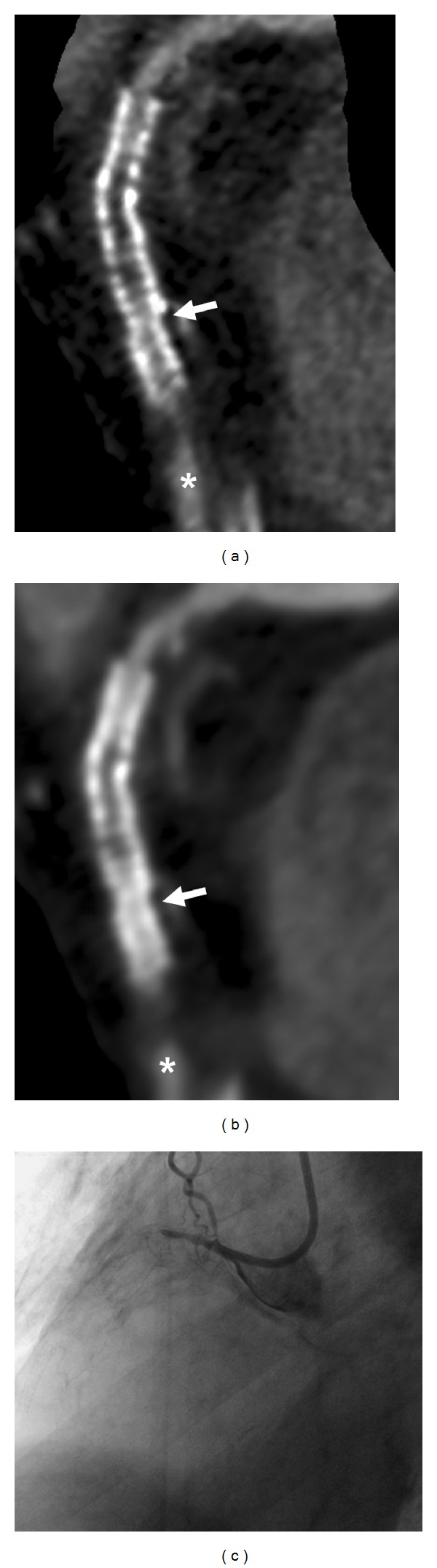
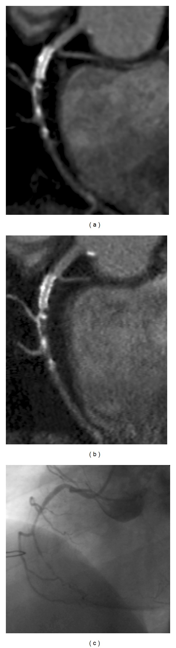
Coronary stenting became a mainstay in coronary revascularization therapy. Despite tremendous advances in therapy, in-stent restenosis (ISR) remains a key problem after coronary stenting. Coronary CT angiography evolved as a valuable tool in the diagnostic workup of patients after coronary revascularization therapy. It has a negative predictive value in the range of 98% for ruling out significant ISR. As CT imaging of coronary stents depends on patient and stent characteristics, patient selection is crucial for success. Ideal candidates have stents with a diameter of 3 mm and more. Nevertheless, even with most recent CT scanners, about 8% of stents are not accessible mostly due to blooming or motion artifacts. While the diagnosis of ISR is currently based on the visual assessment of the stent lumen, functional information on the hemodynamic significance of in-stent stenosis became available with the most recent generation of dual source CT scanners. This paper provides a comprehensive overview on previous developments, current techniques, and clinical evidence for cardiac CT in patients with coronary artery stents.

Abstract Image

Abstract Image

Abstract Image

冠状动脉支架的CT成像:过去,现在和未来。
冠状动脉支架置入术成为冠状动脉血运重建术的主要治疗方法。尽管治疗取得了巨大的进步,支架内再狭窄(ISR)仍然是冠状动脉支架植入术后的一个关键问题。冠状动脉CT血管造影已成为冠状动脉血管重建术后诊断的重要工具。在排除显著ISR的范围内,其阴性预测值为98%。由于冠状动脉支架的CT成像取决于患者和支架的特点,因此患者的选择对成功至关重要。理想的候选支架直径为3毫米或更大。然而,即使使用最新的CT扫描仪,也有大约8%的支架无法进入,主要是由于盛开或运动伪影。虽然ISR的诊断目前是基于对支架内腔的视觉评估,但关于支架内狭窄的血流动力学意义的功能信息可以通过最新一代的双源CT扫描仪获得。本文全面概述了冠状动脉支架患者心脏CT的既往发展、当前技术和临床证据。
本文章由计算机程序翻译,如有差异,请以英文原文为准。
求助全文
约1分钟内获得全文 求助全文
来源期刊
自引率
0.00%
发文量
0
×
引用
GB/T 7714-2015
复制
MLA
复制
APA
复制
导出至
BibTeX EndNote RefMan NoteFirst NoteExpress
×
提示
您的信息不完整,为了账户安全,请先补充。
现在去补充
×
提示
您因"违规操作"
具体请查看互助需知
我知道了
×
提示
确定
请完成安全验证×
copy
已复制链接
快去分享给好友吧!
我知道了
右上角分享
点击右上角分享
0
联系我们:info@booksci.cn Book学术提供免费学术资源搜索服务,方便国内外学者检索中英文文献。致力于提供最便捷和优质的服务体验。 Copyright © 2023 布克学术 All rights reserved.
京ICP备2023020795号-1
ghs 京公网安备 11010802042870号
Book学术文献互助
Book学术文献互助群
群 号:604180095
Book学术官方微信