A Very Rare Cause of Dyspnea in a Child: A Hydatid Cyst From Echinococcus.

IF 1 Q4 CARDIAC & CARDIOVASCULAR SYSTEMS
Thierry Carrel, Islam Sharipov, Paul R Vogt
{"title":"A Very Rare Cause of Dyspnea in a Child: A Hydatid Cyst From Echinococcus.","authors":"Thierry Carrel, Islam Sharipov, Paul R Vogt","doi":"10.1177/21501351231178757","DOIUrl":null,"url":null,"abstract":"<p><p>Hydatid cyst is a human parasitic disease caused by echinococcus granulosus that affects mainly the liver or the lungs but may be found in any organ, including the heart in up to 2% of the cases. Humans are infected as accidental hosts by contaminated vegetables or water and by contact with saliva from infected animals. Although cardiac echinococcosis can be fatal, it is rare and often asymptomatic in the early stage. We present the case of a young boy living on a farm who suffered from mild exertional dyspnea. He suffered from pulmonary and cardiac echinococcosis and was treated surgically through median sternotomy to prevent potential cystic rupture.</p>","PeriodicalId":23974,"journal":{"name":"World Journal for Pediatric and Congenital Heart Surgery","volume":" ","pages":"112-114"},"PeriodicalIF":1.0000,"publicationDate":"2024-01-01","publicationTypes":"Journal Article","fieldsOfStudy":null,"isOpenAccess":false,"openAccessPdf":"https://www.ncbi.nlm.nih.gov/pmc/articles/PMC10729526/pdf/","citationCount":"0","resultStr":null,"platform":"Semanticscholar","paperid":null,"PeriodicalName":"World Journal for Pediatric and Congenital Heart Surgery","FirstCategoryId":"1085","ListUrlMain":"https://doi.org/10.1177/21501351231178757","RegionNum":0,"RegionCategory":null,"ArticlePicture":[],"TitleCN":null,"AbstractTextCN":null,"PMCID":null,"EPubDate":"2023/6/20 0:00:00","PubModel":"Epub","JCR":"Q4","JCRName":"CARDIAC & CARDIOVASCULAR SYSTEMS","Score":null,"Total":0}
引用次数: 0

Abstract

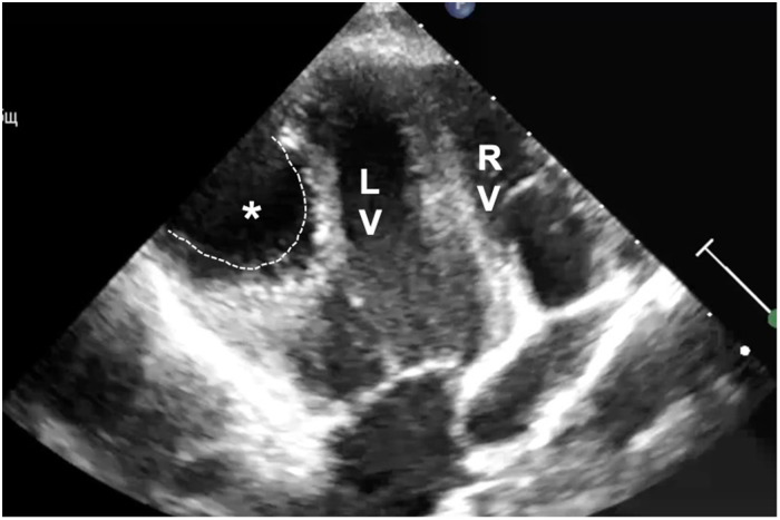
Hydatid cyst is a human parasitic disease caused by echinococcus granulosus that affects mainly the liver or the lungs but may be found in any organ, including the heart in up to 2% of the cases. Humans are infected as accidental hosts by contaminated vegetables or water and by contact with saliva from infected animals. Although cardiac echinococcosis can be fatal, it is rare and often asymptomatic in the early stage. We present the case of a young boy living on a farm who suffered from mild exertional dyspnea. He suffered from pulmonary and cardiac echinococcosis and was treated surgically through median sternotomy to prevent potential cystic rupture.

Abstract Image

Abstract Image

Abstract Image

儿童呼吸困难的罕见病因:来自棘球蚴的包虫囊肿。
包虫囊肿是一种由粒棘球蚴引起的人类寄生虫病,主要影响肝脏或肺部,但也可能出现在任何器官,包括高达 2% 的病例中的心脏。人类是通过被污染的蔬菜或水以及接触受感染动物的唾液而意外感染的。虽然心脏棘球蚴病可能致命,但这种疾病非常罕见,而且早期通常没有症状。我们介绍的病例是一名生活在农场的小男孩,他患有轻微的劳力性呼吸困难。他患有肺部和心脏棘球蚴病,为防止可能出现的囊肿破裂,他接受了胸骨正中切开术。
本文章由计算机程序翻译,如有差异,请以英文原文为准。
求助全文
约1分钟内获得全文 求助全文
来源期刊
CiteScore
1.80
自引率
11.10%
发文量
128
×
引用
GB/T 7714-2015
复制
MLA
复制
APA
复制
导出至
BibTeX EndNote RefMan NoteFirst NoteExpress
×
提示
您的信息不完整,为了账户安全,请先补充。
现在去补充
×
提示
您因"违规操作"
具体请查看互助需知
我知道了
×
提示
确定
请完成安全验证×
copy
已复制链接
快去分享给好友吧!
我知道了
右上角分享
点击右上角分享
0
联系我们:info@booksci.cn Book学术提供免费学术资源搜索服务,方便国内外学者检索中英文文献。致力于提供最便捷和优质的服务体验。 Copyright © 2023 布克学术 All rights reserved.
京ICP备2023020795号-1
ghs 京公网安备 11010802042870号
Book学术文献互助
Book学术文献互助群
群 号:604180095
Book学术官方微信