Technique, sedation, and clinical outcome of endoscopic submucosal dissection for rectal tumor with involvement of dentate line: A retrospective cohort study.

IF 2 4区 医学 Q3 GASTROENTEROLOGY & HEPATOLOGY
Yoon Kyoo Noh, Jun Lee, Seong Jung Kim
{"title":"Technique, sedation, and clinical outcome of endoscopic submucosal dissection for rectal tumor with involvement of dentate line: A retrospective cohort study.","authors":"Yoon Kyoo Noh, Jun Lee, Seong Jung Kim","doi":"10.4103/sjg.sjg_67_23","DOIUrl":null,"url":null,"abstract":"<p><strong>Background: </strong>Endoscopic submucosal dissection (ESD) of rectal tumors involving the dentate line (RT-DL) is challenging because of the anatomical features of the anal canal. This study aimed to identify optimal techniques and sedation and to determine the clinical outcomes of ESD for RT-DL.</p><p><strong>Methods: </strong>We retrospectively collected medical records and endoscopic results of patients who underwent ESD for rectal tumors between January 2012 and April 2021. Patients were divided into RT-DL and rectal tumors not involving the dentate line (RT-NDL) groups, as per involvement of the dentate line. The treatment results and clinical outcomes of the two groups were evaluated and analyzed. Additionally, subgroup analysis was performed in the RT-DL group for the sedation method involved.</p><p><strong>Results: </strong>In total, 225 patients were enrolled and 22 were assigned to the RT-DL group. The complete resection rate (90.9% vs. 95.6%, P =0.336), delayed bleeding (13.6% vs. 5.9%, P =0.084), perforation (0% vs. 3.9%, P = 0.343), hospital stays (4.55 vs. 4.48 days, P = 0.869), and recurrence (0% vs. 0.5%) showed no significant group differences. However, in RT-DL group, the procedure time (78.32 vs. 51.10 min, P = 0.002) was longer and there was more perianal pain (22.7% vs. 0%, P = 0.001). The subgroup analysis revealed that deep sedation using propofol reduced perianal pain during the procedure (0/14 vs. 5/8, P = 0.002).</p><p><strong>Conclusions: </strong>ESD of RT-DL is a safe and effective treatment despite the challenges of requiring a high level of technique and longer procedure time. In particular, ESD under deep sedation should be considered in patients with RT-DL to control perianal pain.</p>","PeriodicalId":48881,"journal":{"name":"Saudi Journal of Gastroenterology","volume":" ","pages":"365-370"},"PeriodicalIF":2.0000,"publicationDate":"2023-11-01","publicationTypes":"Journal Article","fieldsOfStudy":null,"isOpenAccess":false,"openAccessPdf":"https://www.ncbi.nlm.nih.gov/pmc/articles/PMC10754377/pdf/","citationCount":"0","resultStr":null,"platform":"Semanticscholar","paperid":null,"PeriodicalName":"Saudi Journal of Gastroenterology","FirstCategoryId":"3","ListUrlMain":"https://doi.org/10.4103/sjg.sjg_67_23","RegionNum":4,"RegionCategory":"医学","ArticlePicture":[],"TitleCN":null,"AbstractTextCN":null,"PMCID":null,"EPubDate":"","PubModel":"","JCR":"Q3","JCRName":"GASTROENTEROLOGY & HEPATOLOGY","Score":null,"Total":0}
引用次数: 0

Abstract

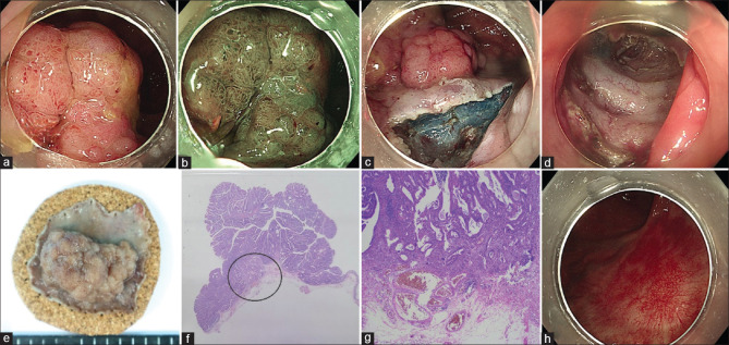
Background: Endoscopic submucosal dissection (ESD) of rectal tumors involving the dentate line (RT-DL) is challenging because of the anatomical features of the anal canal. This study aimed to identify optimal techniques and sedation and to determine the clinical outcomes of ESD for RT-DL.

Methods: We retrospectively collected medical records and endoscopic results of patients who underwent ESD for rectal tumors between January 2012 and April 2021. Patients were divided into RT-DL and rectal tumors not involving the dentate line (RT-NDL) groups, as per involvement of the dentate line. The treatment results and clinical outcomes of the two groups were evaluated and analyzed. Additionally, subgroup analysis was performed in the RT-DL group for the sedation method involved.

Results: In total, 225 patients were enrolled and 22 were assigned to the RT-DL group. The complete resection rate (90.9% vs. 95.6%, P =0.336), delayed bleeding (13.6% vs. 5.9%, P =0.084), perforation (0% vs. 3.9%, P = 0.343), hospital stays (4.55 vs. 4.48 days, P = 0.869), and recurrence (0% vs. 0.5%) showed no significant group differences. However, in RT-DL group, the procedure time (78.32 vs. 51.10 min, P = 0.002) was longer and there was more perianal pain (22.7% vs. 0%, P = 0.001). The subgroup analysis revealed that deep sedation using propofol reduced perianal pain during the procedure (0/14 vs. 5/8, P = 0.002).

Conclusions: ESD of RT-DL is a safe and effective treatment despite the challenges of requiring a high level of technique and longer procedure time. In particular, ESD under deep sedation should be considered in patients with RT-DL to control perianal pain.

Abstract Image

Abstract Image

Abstract Image

内镜下粘膜下剥离术治疗累及齿状线直肠肿瘤的技术、镇静和临床结果:一项回顾性队列研究。
背景:由于肛管的解剖特点,内镜下粘膜下剥离(ESD)直肠肿瘤涉及齿状线(RT-DL)具有挑战性。本研究旨在确定最佳技术和镇静,并确定ESD治疗RT-DL的临床结果。方法:回顾性收集2012年1月至2021年4月期间接受直肠肿瘤ESD治疗的患者的医疗记录和内镜结果。根据累及齿状线的不同,将患者分为RT-DL组和不累及齿状线的直肠肿瘤(RT-NDL)组。对两组患者的治疗效果及临床疗效进行评价和分析。此外,对RT-DL组进行了亚组分析,以确定所涉及的镇静方法。结果:共纳入225例患者,其中22例被分配到RT-DL组。完全切除率(90.9%比95.6%,P =0.336)、延迟出血(13.6%比5.9%,P =0.084)、穿孔(0%比3.9%,P = 0.343)、住院时间(4.55比4.48天,P = 0.869)、复发率(0%比0.5%)组间差异无统计学意义。而RT-DL组手术时间较长(78.32 min vs. 51.10 min, P = 0.002),肛周疼痛较多(22.7% vs. 0%, P = 0.001)。亚组分析显示,使用异丙酚进行深度镇静可减少手术过程中肛周疼痛(0/14 vs. 5/8, P = 0.002)。结论:尽管需要较高的技术水平和较长的手术时间,但ESD是一种安全有效的治疗方法。特别是RT-DL患者应考虑深度镇静下的ESD,以控制肛周疼痛。
本文章由计算机程序翻译,如有差异,请以英文原文为准。
求助全文
约1分钟内获得全文 求助全文
来源期刊
Saudi Journal of Gastroenterology
Saudi Journal of Gastroenterology GASTROENTEROLOGY & HEPATOLOGY-
CiteScore
4.40
自引率
3.70%
发文量
63
审稿时长
28 weeks
期刊介绍: The Saudi Journal of Gastroenterology (SJG) is an open access peer-reviewed publication. Authors are invited to submit articles in the field of gastroenterology, hepatology and nutrition, with a wide spectrum of coverage including basic science, epidemiology, diagnostics, therapeutics, public health, and standards of health care in relation to the concerned specialty. Review articles are usually by invitation. However review articles of current interest and a high standard of scientific value could also be considered for publication.
×
引用
GB/T 7714-2015
复制
MLA
复制
APA
复制
导出至
BibTeX EndNote RefMan NoteFirst NoteExpress
×
提示
您的信息不完整,为了账户安全,请先补充。
现在去补充
×
提示
您因"违规操作"
具体请查看互助需知
我知道了
×
提示
确定
请完成安全验证×
copy
已复制链接
快去分享给好友吧!
我知道了
右上角分享
点击右上角分享
0
联系我们:info@booksci.cn Book学术提供免费学术资源搜索服务,方便国内外学者检索中英文文献。致力于提供最便捷和优质的服务体验。 Copyright © 2023 布克学术 All rights reserved.
京ICP备2023020795号-1
ghs 京公网安备 11010802042870号
Book学术文献互助
Book学术文献互助群
群 号:604180095
Book学术官方微信