Rhizopus homothallicus, an emerging pathogen causing cavitary lung lesions.

Juhi Taneja, Kuhu Chatterjee, Ruchi Arora Sachdeva, S Zafar Abbas, M K Sen
{"title":"<i>Rhizopus homothallicus,</i> an emerging pathogen causing cavitary lung lesions.","authors":"Juhi Taneja,&nbsp;Kuhu Chatterjee,&nbsp;Ruchi Arora Sachdeva,&nbsp;S Zafar Abbas,&nbsp;M K Sen","doi":"10.1099/acmi.0.000526.v3","DOIUrl":null,"url":null,"abstract":"<p><strong>Introduction: </strong><i>Rhizopus homothallicus</i> is an emerging pathogen that causes pulmonary mucormycosis.</p><p><strong>Case presentation: </strong>We report a case of pneumonia caused by <i>R. homothallicus</i> in a 54-year-old type 2 diabetic patient. The organism was isolated from bronchoalveolar lavage fluid and preliminarily identified by fungal morphology and finally by sequencing of the internal transcribed spacer region.</p><p><strong>Conclusion: </strong>Mucormycosis may be associated with cavitary lung lesions against a backdrop of poorly controlled diabetes or other immunosuppressed states. Pulmonary mucormycosis may have variable clinical and radiological presentations. Therefore, strong clinical suspicion and prompt management can address the high fatality associated with the disease.</p>","PeriodicalId":6956,"journal":{"name":"Access Microbiology","volume":"5 4","pages":""},"PeriodicalIF":0.0000,"publicationDate":"2023-01-01","publicationTypes":"Journal Article","fieldsOfStudy":null,"isOpenAccess":false,"openAccessPdf":"https://www.ncbi.nlm.nih.gov/pmc/articles/PMC10202401/pdf/","citationCount":"0","resultStr":null,"platform":"Semanticscholar","paperid":null,"PeriodicalName":"Access Microbiology","FirstCategoryId":"1085","ListUrlMain":"https://doi.org/10.1099/acmi.0.000526.v3","RegionNum":0,"RegionCategory":null,"ArticlePicture":[],"TitleCN":null,"AbstractTextCN":null,"PMCID":null,"EPubDate":"","PubModel":"","JCR":"","JCRName":"","Score":null,"Total":0}
引用次数: 0

Abstract

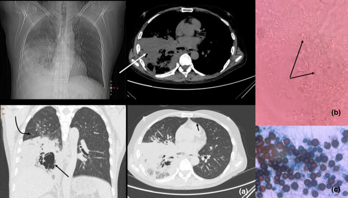
Introduction: Rhizopus homothallicus is an emerging pathogen that causes pulmonary mucormycosis.

Case presentation: We report a case of pneumonia caused by R. homothallicus in a 54-year-old type 2 diabetic patient. The organism was isolated from bronchoalveolar lavage fluid and preliminarily identified by fungal morphology and finally by sequencing of the internal transcribed spacer region.

Conclusion: Mucormycosis may be associated with cavitary lung lesions against a backdrop of poorly controlled diabetes or other immunosuppressed states. Pulmonary mucormycosis may have variable clinical and radiological presentations. Therefore, strong clinical suspicion and prompt management can address the high fatality associated with the disease.

Abstract Image

Abstract Image

同源根霉,一种引起肺空洞性病变的新兴病原体。
同质根霉是一种引起肺毛霉病的新兴病原体。病例介绍:我们报告一例54岁的2型糖尿病患者由同质孢子虫引起的肺炎。该菌从支气管肺泡灌洗液中分离,通过真菌形态和内部转录间隔区测序进行初步鉴定。结论:毛霉菌病可能与糖尿病或其他免疫抑制状态下的空洞性肺病变有关。肺毛霉病可能有不同的临床和放射学表现。因此,强烈的临床怀疑和及时的管理可以解决与该病相关的高病死率。
本文章由计算机程序翻译,如有差异,请以英文原文为准。
求助全文
约1分钟内获得全文 求助全文
来源期刊
自引率
0.00%
发文量
0
×
引用
GB/T 7714-2015
复制
MLA
复制
APA
复制
导出至
BibTeX EndNote RefMan NoteFirst NoteExpress
×
提示
您的信息不完整,为了账户安全,请先补充。
现在去补充
×
提示
您因"违规操作"
具体请查看互助需知
我知道了
×
提示
确定
请完成安全验证×
copy
已复制链接
快去分享给好友吧!
我知道了
右上角分享
点击右上角分享
0
联系我们:info@booksci.cn Book学术提供免费学术资源搜索服务,方便国内外学者检索中英文文献。致力于提供最便捷和优质的服务体验。 Copyright © 2023 布克学术 All rights reserved.
京ICP备2023020795号-1
ghs 京公网安备 11010802042870号
Book学术文献互助
Book学术文献互助群
群 号:604180095
Book学术官方微信