Non-invasive imaging techniques in patients with coronary chronic total occlusions: A key for successful diagnosis, revascularization, and post-intervention outcomes.

IF 1.9 3区 医学 Q2 CARDIAC & CARDIOVASCULAR SYSTEMS
Marta Mielniczuk, Paweł Krzesiński, Beata Uziębło-Życzkowska, Jaroslaw Kowal, Małgorzata Kurpaska, Grzegorz Gielerak
{"title":"Non-invasive imaging techniques in patients with coronary chronic total occlusions: A key for successful diagnosis, revascularization, and post-intervention outcomes.","authors":"Marta Mielniczuk, Paweł Krzesiński, Beata Uziębło-Życzkowska, Jaroslaw Kowal, Małgorzata Kurpaska, Grzegorz Gielerak","doi":"10.5603/CJ.a2023.0028","DOIUrl":null,"url":null,"abstract":"<p><p>Coronary chronic total occlusions (CTOs) are a common finding on coronary angiograms of patients with coronary artery disease, with an incidence ranging from 15% to 25%. Despite this high incidence, the proper treatment strategy in those patients often remains unclear. There are some observational studies suggesting that successful revascularization of a CTO can reduce angina symptoms, improve quality of life, improve the left ventricular ejection fraction, and lower mortality. However, not all patients will benefit from revascularization. Pre-procedural assessment of left ventricular function, ischemic burden, and viability seems to be crucial for a good outcome of the revascularization. The aim of this review is to compare currently available non-invasive imaging modalities with regard to utility in evaluation of patients with CTOs.</p>","PeriodicalId":9492,"journal":{"name":"Cardiology journal","volume":" ","pages":""},"PeriodicalIF":1.9000,"publicationDate":"2023-05-11","publicationTypes":"Journal Article","fieldsOfStudy":null,"isOpenAccess":false,"openAccessPdf":"https://www.ncbi.nlm.nih.gov/pmc/articles/PMC10713221/pdf/","citationCount":"0","resultStr":null,"platform":"Semanticscholar","paperid":null,"PeriodicalName":"Cardiology journal","FirstCategoryId":"3","ListUrlMain":"https://doi.org/10.5603/CJ.a2023.0028","RegionNum":3,"RegionCategory":"医学","ArticlePicture":[],"TitleCN":null,"AbstractTextCN":null,"PMCID":null,"EPubDate":"","PubModel":"","JCR":"Q2","JCRName":"CARDIAC & CARDIOVASCULAR SYSTEMS","Score":null,"Total":0}
引用次数: 0

Abstract

Coronary chronic total occlusions (CTOs) are a common finding on coronary angiograms of patients with coronary artery disease, with an incidence ranging from 15% to 25%. Despite this high incidence, the proper treatment strategy in those patients often remains unclear. There are some observational studies suggesting that successful revascularization of a CTO can reduce angina symptoms, improve quality of life, improve the left ventricular ejection fraction, and lower mortality. However, not all patients will benefit from revascularization. Pre-procedural assessment of left ventricular function, ischemic burden, and viability seems to be crucial for a good outcome of the revascularization. The aim of this review is to compare currently available non-invasive imaging modalities with regard to utility in evaluation of patients with CTOs.

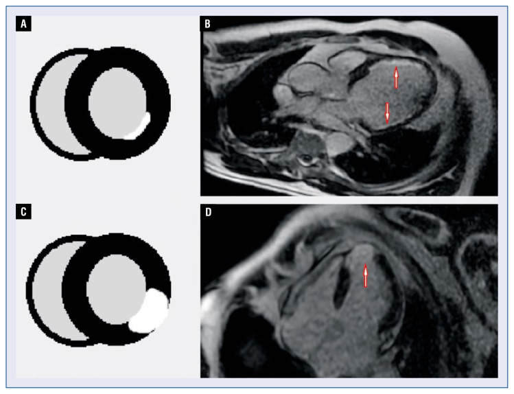
Abstract Image

Abstract Image

Abstract Image

冠状动脉慢性全闭塞患者的无创成像技术:成功诊断、血管重建和干预后疗效的关键。
冠状动脉慢性全闭塞(CTO)是冠状动脉疾病患者冠状动脉造影的常见发现,发生率为 15%至 25%。尽管发病率很高,但这些患者的正确治疗策略往往仍不明确。一些观察性研究表明,成功的 CTO 血管再通可减轻心绞痛症状、改善生活质量、提高左心室射血分数并降低死亡率。然而,并非所有患者都能从血管再通手术中获益。术前对左心室功能、缺血负荷和存活能力的评估似乎对血管重建的良好结果至关重要。本综述旨在比较目前可用的非侵入性成像模式在评估 CTO 患者方面的效用。
本文章由计算机程序翻译,如有差异,请以英文原文为准。
求助全文
约1分钟内获得全文 求助全文
来源期刊
Cardiology journal
Cardiology journal CARDIAC & CARDIOVASCULAR SYSTEMS-
CiteScore
5.10
自引率
10.30%
发文量
188
审稿时长
4-8 weeks
期刊介绍: Cardiology Journal is a scientific, peer-reviewed journal covering a broad spectrum of topics in cardiology. The journal has been published since 1994 and over the years it has become an internationally recognized journal of cardiological and medical community. Cardiology Journal is the journal for practicing cardiologists, researchers, and young trainees benefiting from broad spectrum of useful educational content.
×
引用
GB/T 7714-2015
复制
MLA
复制
APA
复制
导出至
BibTeX EndNote RefMan NoteFirst NoteExpress
×
提示
您的信息不完整,为了账户安全,请先补充。
现在去补充
×
提示
您因"违规操作"
具体请查看互助需知
我知道了
×
提示
确定
请完成安全验证×
copy
已复制链接
快去分享给好友吧!
我知道了
右上角分享
点击右上角分享
0
联系我们:info@booksci.cn Book学术提供免费学术资源搜索服务,方便国内外学者检索中英文文献。致力于提供最便捷和优质的服务体验。 Copyright © 2023 布克学术 All rights reserved.
京ICP备2023020795号-1
ghs 京公网安备 11010802042870号
Book学术文献互助
Book学术文献互助群
群 号:604180095
Book学术官方微信