Endovascular treatment for anterior inferior cerebellar artery-posterior inferior cerebellar artery (AICA-PICA) common trunk variant aneurysms: Technical note and literature review.

Jerry C Ku, Vishal Chavda, Paolo Palmisciano, Christopher R Pasarikovski, Victor X D Yang, Ruba Kiwan, Stefano M Priola, Bipin Chaurasia
{"title":"Endovascular treatment for anterior inferior cerebellar artery-posterior inferior cerebellar artery (AICA-PICA) common trunk variant aneurysms: Technical note and literature review.","authors":"Jerry C Ku, Vishal Chavda, Paolo Palmisciano, Christopher R Pasarikovski, Victor X D Yang, Ruba Kiwan, Stefano M Priola, Bipin Chaurasia","doi":"10.7461/jcen.2023.E2022.10.011","DOIUrl":null,"url":null,"abstract":"<p><p>The Anterior Inferior Cerebellar Artery-Posterior Inferior Cerebellar Artery (AICA-PICA) common trunk is a rare variant of cerebral posterior circulation in which a single vessel originating from either the basilar or vertebral arteries supplies both cerebellum and brainstem territories. We present the first case of an unruptured right AICA-PICA aneurysm treated with flow diversion using a Shield-enhanced pipeline endovascular device (PED, VANTAGE Embolization Device with Shield Technology, Medtronic, Canada). We expand on this anatomic variant and review the relevant literature. A 39-year-old man presented to our treatment center with vertigo and right hypoacusis. The initial head CT/CTA was negative, but a 4-month follow-up MRI revealed a 9 mm fusiform dissecting aneurysm of the right AICA. The patient underwent a repeat head CTA and cerebral angiogram, which demonstrated the presence of an aneurysm on the proximal portion of an AICA-PICA anatomical variant. This was treated with an endovascular approach that included flow diversion via a PED equipped with Shield Technology. The patient's post-procedure period was uneventful, and he was discharged home after two days with an intact neurological status. The patient is still asymptomatic after a 7-month follow-up, with MR angiogram evidence of stable aneurysm obliteration and no ischemic lesions. Aneurysms of the AICA-PICA common trunk variants have a high morbidity risk due to the importance and extent of the territory vascularized by a single vessel. Endovascular treatment with flow diversion proved to be both safe and effective in obliterating unruptured cases.</p>","PeriodicalId":15359,"journal":{"name":"Journal of Cerebrovascular and Endovascular Neurosurgery","volume":" ","pages":"452-461"},"PeriodicalIF":0.0000,"publicationDate":"2023-12-01","publicationTypes":"Journal Article","fieldsOfStudy":null,"isOpenAccess":false,"openAccessPdf":"https://www.ncbi.nlm.nih.gov/pmc/articles/PMC10774679/pdf/","citationCount":"0","resultStr":null,"platform":"Semanticscholar","paperid":null,"PeriodicalName":"Journal of Cerebrovascular and Endovascular Neurosurgery","FirstCategoryId":"1085","ListUrlMain":"https://doi.org/10.7461/jcen.2023.E2022.10.011","RegionNum":0,"RegionCategory":null,"ArticlePicture":[],"TitleCN":null,"AbstractTextCN":null,"PMCID":null,"EPubDate":"2023/4/12 0:00:00","PubModel":"Epub","JCR":"","JCRName":"","Score":null,"Total":0}
引用次数: 0

Abstract

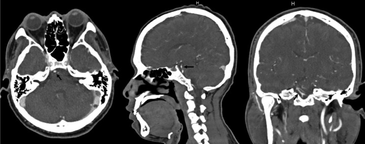
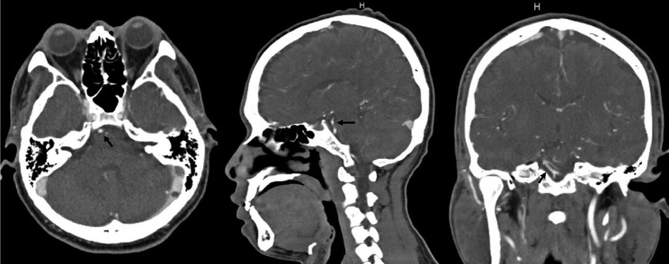
The Anterior Inferior Cerebellar Artery-Posterior Inferior Cerebellar Artery (AICA-PICA) common trunk is a rare variant of cerebral posterior circulation in which a single vessel originating from either the basilar or vertebral arteries supplies both cerebellum and brainstem territories. We present the first case of an unruptured right AICA-PICA aneurysm treated with flow diversion using a Shield-enhanced pipeline endovascular device (PED, VANTAGE Embolization Device with Shield Technology, Medtronic, Canada). We expand on this anatomic variant and review the relevant literature. A 39-year-old man presented to our treatment center with vertigo and right hypoacusis. The initial head CT/CTA was negative, but a 4-month follow-up MRI revealed a 9 mm fusiform dissecting aneurysm of the right AICA. The patient underwent a repeat head CTA and cerebral angiogram, which demonstrated the presence of an aneurysm on the proximal portion of an AICA-PICA anatomical variant. This was treated with an endovascular approach that included flow diversion via a PED equipped with Shield Technology. The patient's post-procedure period was uneventful, and he was discharged home after two days with an intact neurological status. The patient is still asymptomatic after a 7-month follow-up, with MR angiogram evidence of stable aneurysm obliteration and no ischemic lesions. Aneurysms of the AICA-PICA common trunk variants have a high morbidity risk due to the importance and extent of the territory vascularized by a single vessel. Endovascular treatment with flow diversion proved to be both safe and effective in obliterating unruptured cases.

Abstract Image

Abstract Image

Abstract Image

Abstract Image

Abstract Image

Abstract Image

小脑前下动脉-小脑后下动脉(AICA-PICA)共干变异动脉瘤的血管内治疗:技术说明和文献综述。
小脑前下动脉-小脑后下动脉(AICA-PICA)共同干是大脑后循环的一种罕见变异,即由基底动脉或椎动脉的单一血管供应小脑和脑干区域。我们介绍了首例使用盾牌增强管道内血管装置(PED,加拿大美敦力公司的带盾牌技术的 VANTAGE 栓塞装置)进行血流分流治疗的未破裂右侧 AICA-PICA 动脉瘤病例。我们对这一解剖变异进行了详细阐述,并回顾了相关文献。一名 39 岁的男子因眩晕和右侧听力减退来到我们的治疗中心。最初的头部 CT/CTA 检查结果为阴性,但 4 个月后的磁共振成像检查发现右侧 AICA 有一个 9 毫米的纺锤形剥离动脉瘤。患者再次接受了头部CTA和脑血管造影检查,结果显示在AICA-PICA解剖变异的近端存在动脉瘤。患者接受了血管内治疗,包括通过装有盾牌技术的 PED 进行血流分流。患者术后恢复顺利,两天后出院回家,神经状况良好。经过 7 个月的随访,患者仍无症状,磁共振血管造影显示动脉瘤闭塞稳定,无缺血性病变。AICA-PICA 共干变异动脉瘤的发病风险很高,这是因为单根血管血管化区域的重要性和范围。事实证明,在未破裂的病例中,使用血流分流的血管内治疗既安全又有效。
本文章由计算机程序翻译,如有差异,请以英文原文为准。
求助全文
约1分钟内获得全文 求助全文
来源期刊
自引率
0.00%
发文量
0
×
引用
GB/T 7714-2015
复制
MLA
复制
APA
复制
导出至
BibTeX EndNote RefMan NoteFirst NoteExpress
×
提示
您的信息不完整,为了账户安全,请先补充。
现在去补充
×
提示
您因"违规操作"
具体请查看互助需知
我知道了
×
提示
确定
请完成安全验证×
copy
已复制链接
快去分享给好友吧!
我知道了
右上角分享
点击右上角分享
0
联系我们:info@booksci.cn Book学术提供免费学术资源搜索服务,方便国内外学者检索中英文文献。致力于提供最便捷和优质的服务体验。 Copyright © 2023 布克学术 All rights reserved.
京ICP备2023020795号-1
ghs 京公网安备 11010802042870号
Book学术文献互助
Book学术文献互助群
群 号:604180095
Book学术官方微信