Rare Dilated Collateral Circulation from Accessory Meningeal Artery to Inferolateral Trunk: A Case Report.

Mizuka Ikezawa, Kenko Maeda, Syuntaro Takasu, Masaya Takemoto, Masahiro Nishihori, Jungsu Choo, Fumihiro Sago, Daiki Somiya, Kohei Doba, Akira Ikeda
{"title":"Rare Dilated Collateral Circulation from Accessory Meningeal Artery to Inferolateral Trunk: A Case Report.","authors":"Mizuka Ikezawa,&nbsp;Kenko Maeda,&nbsp;Syuntaro Takasu,&nbsp;Masaya Takemoto,&nbsp;Masahiro Nishihori,&nbsp;Jungsu Choo,&nbsp;Fumihiro Sago,&nbsp;Daiki Somiya,&nbsp;Kohei Doba,&nbsp;Akira Ikeda","doi":"10.2176/jns-nmc.2022-0308","DOIUrl":null,"url":null,"abstract":"<p><p>The accessory meningeal artery (AMA) demonstrates various potential anastomoses with the external (ECA) and internal (ICA) carotid arteries. However, rarely does the AMA markedly dilate and compensate for ICA blood flow. A 52-year-old woman with nonspecific symptoms was diagnosed with multiple cerebral aneurysms and abnormal blood vessels observed on magnetic resonance angiography. Digital subtraction angiography revealed four aneurysms and anastomoses between the left AMA and inferolateral trunk (ILT). In addition, two sequential severe flexions were observed in the cervical portion of the left ICA. No ischemic lesions were detected on magnetic resonance imaging. In conclusion, we experienced a rare case in which the AMA-ILT anastomosis was highly developed. This case also presented with the unusual characteristics of an anomaly in the extracranial ICA and multiple aneurysms.</p>","PeriodicalId":19260,"journal":{"name":"NMC Case Report Journal","volume":"10 ","pages":"47-50"},"PeriodicalIF":0.0000,"publicationDate":"2023-01-01","publicationTypes":"Journal Article","fieldsOfStudy":null,"isOpenAccess":false,"openAccessPdf":"https://ftp.ncbi.nlm.nih.gov/pub/pmc/oa_pdf/49/6f/2188-4226-10-0047.PMC10069912.pdf","citationCount":"0","resultStr":null,"platform":"Semanticscholar","paperid":null,"PeriodicalName":"NMC Case Report Journal","FirstCategoryId":"1085","ListUrlMain":"https://doi.org/10.2176/jns-nmc.2022-0308","RegionNum":0,"RegionCategory":null,"ArticlePicture":[],"TitleCN":null,"AbstractTextCN":null,"PMCID":null,"EPubDate":"","PubModel":"","JCR":"","JCRName":"","Score":null,"Total":0}
引用次数: 0

Abstract

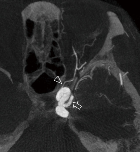
The accessory meningeal artery (AMA) demonstrates various potential anastomoses with the external (ECA) and internal (ICA) carotid arteries. However, rarely does the AMA markedly dilate and compensate for ICA blood flow. A 52-year-old woman with nonspecific symptoms was diagnosed with multiple cerebral aneurysms and abnormal blood vessels observed on magnetic resonance angiography. Digital subtraction angiography revealed four aneurysms and anastomoses between the left AMA and inferolateral trunk (ILT). In addition, two sequential severe flexions were observed in the cervical portion of the left ICA. No ischemic lesions were detected on magnetic resonance imaging. In conclusion, we experienced a rare case in which the AMA-ILT anastomosis was highly developed. This case also presented with the unusual characteristics of an anomaly in the extracranial ICA and multiple aneurysms.

Abstract Image

Abstract Image

Abstract Image

罕见脑膜副动脉至外干侧支循环扩张1例。
副脑膜动脉(AMA)与颈外动脉(ECA)和颈内动脉(ICA)有多种潜在的吻合。然而,很少有AMA显着扩张和补偿ICA血流。52岁女性,无特异性症状,诊断为多发性脑动脉瘤,磁共振血管造影显示血管异常。数字减影血管造影显示4个动脉瘤和吻合在左AMA和内外侧干(ILT)之间。此外,在左侧ICA的颈椎部分观察到两次连续的严重屈曲。磁共振成像未见缺血性病变。总之,我们经历了一例罕见的AMA-ILT吻合高度发达的病例。本病例还表现出颅外ICA异常和多发动脉瘤的不寻常特征。
本文章由计算机程序翻译,如有差异,请以英文原文为准。
求助全文
约1分钟内获得全文 求助全文
来源期刊
自引率
0.00%
发文量
0
×
引用
GB/T 7714-2015
复制
MLA
复制
APA
复制
导出至
BibTeX EndNote RefMan NoteFirst NoteExpress
×
提示
您的信息不完整,为了账户安全,请先补充。
现在去补充
×
提示
您因"违规操作"
具体请查看互助需知
我知道了
×
提示
确定
请完成安全验证×
copy
已复制链接
快去分享给好友吧!
我知道了
右上角分享
点击右上角分享
0
联系我们:info@booksci.cn Book学术提供免费学术资源搜索服务,方便国内外学者检索中英文文献。致力于提供最便捷和优质的服务体验。 Copyright © 2023 布克学术 All rights reserved.
京ICP备2023020795号-1
ghs 京公网安备 11010802042870号
Book学术文献互助
Book学术文献互助群
群 号:604180095
Book学术官方微信