Cross-national analysis about the difference of histopathological management in Tis and T1 colorectal cancer between Japan and Korea.

IF 3.1 2区 社会学 Q1 Social Sciences
University of Pennsylvania Law Review Pub Date : 2019-01-29 eCollection Date: 2019-01-01 DOI:10.23922/jarc.2017-031
Naohisa Yoshida, Yuji Naito, Yutaka Inada, Yoshito Itoh, Sang Pyo Lee, Jeong Hwan Kim, In-Kyung Sung, Hyung Seok Park, Hye Seung Han, Masayoshi Nakanishi, Mitsuo Kishimoto, Sun-Young Lee
{"title":"Cross-national analysis about the difference of histopathological management in Tis and T1 colorectal cancer between Japan and Korea.","authors":"Naohisa Yoshida, Yuji Naito, Yutaka Inada, Yoshito Itoh, Sang Pyo Lee, Jeong Hwan Kim, In-Kyung Sung, Hyung Seok Park, Hye Seung Han, Masayoshi Nakanishi, Mitsuo Kishimoto, Sun-Young Lee","doi":"10.23922/jarc.2017-031","DOIUrl":null,"url":null,"abstract":"<p><strong>Objectives: </strong>There are differences in each country with regards to histopathological managements of colorectal cancer (CRC), such as definition of Tis and lymphatic and venous invasion. In this study, we compared Tis and T1 CRC in Japan and Korea.</p><p><strong>Methods: </strong>We retrospectively compared various clinical characteristics of consecutive patients who had Tis and T1 CRCs and who were newly diagnosed between 2010 and 2014 at the Kyoto Prefectural University of Medicine (Japan) and the Konkuk University (Korea).</p><p><strong>Results: </strong>Three hundred and sixty-five cases of T1 cancer and 510 cases of Tis cancer from 726 Japanese and 149 Korean patients were included. The rate of Tis in Japan was higher than in Korea (59.8% vs. 51.0%, <i>P</i> = 0.047), according to the difference of definition of Tis. In the analyses of 365 T1 CRCs, median age was higher in Japan than Korea (67.8 ± 10.6 vs. 62.2 ± 10.1, <i>P</i> < 0.001). Right-sided lesions were more frequent in Japan than they were in Korea (38.7% vs. 22.2%, <i>P</i> < 0.001). The rates of venous and lymphatic invasion were higher in Japan than they were in Korea (venous: 18.6% vs. 1.4%, <i>P</i> < 0.001, lymphatic: 25.3% vs. 13.7%, <i>P</i> = 0.042), according to the different methods of immunohistochemical examinations used (Japan: E-HE and D2-40, Korea: ERG).</p><p><strong>Conclusions: </strong>Our study of T1 CRC showed that there were differences between Japan and Korea in tumor location, elderly incidence, and histopathological lymphatic and venous invasion. Additionally, rates of Tis were different between the two countries. In this international study for CRC, it is considered that we have to pay attention regarding the difference of histopathological definition and method in each country.</p>","PeriodicalId":48012,"journal":{"name":"University of Pennsylvania Law Review","volume":"88 1","pages":"18-26"},"PeriodicalIF":3.1000,"publicationDate":"2019-01-29","publicationTypes":"Journal Article","fieldsOfStudy":null,"isOpenAccess":false,"openAccessPdf":"https://www.ncbi.nlm.nih.gov/pmc/articles/PMC6752126/pdf/","citationCount":"0","resultStr":null,"platform":"Semanticscholar","paperid":null,"PeriodicalName":"University of Pennsylvania Law Review","FirstCategoryId":"1085","ListUrlMain":"https://doi.org/10.23922/jarc.2017-031","RegionNum":2,"RegionCategory":"社会学","ArticlePicture":[],"TitleCN":null,"AbstractTextCN":null,"PMCID":null,"EPubDate":"2019/1/1 0:00:00","PubModel":"eCollection","JCR":"Q1","JCRName":"Social Sciences","Score":null,"Total":0}
引用次数: 0

Abstract

Objectives: There are differences in each country with regards to histopathological managements of colorectal cancer (CRC), such as definition of Tis and lymphatic and venous invasion. In this study, we compared Tis and T1 CRC in Japan and Korea.

Methods: We retrospectively compared various clinical characteristics of consecutive patients who had Tis and T1 CRCs and who were newly diagnosed between 2010 and 2014 at the Kyoto Prefectural University of Medicine (Japan) and the Konkuk University (Korea).

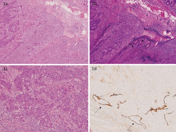
Results: Three hundred and sixty-five cases of T1 cancer and 510 cases of Tis cancer from 726 Japanese and 149 Korean patients were included. The rate of Tis in Japan was higher than in Korea (59.8% vs. 51.0%, P = 0.047), according to the difference of definition of Tis. In the analyses of 365 T1 CRCs, median age was higher in Japan than Korea (67.8 ± 10.6 vs. 62.2 ± 10.1, P < 0.001). Right-sided lesions were more frequent in Japan than they were in Korea (38.7% vs. 22.2%, P < 0.001). The rates of venous and lymphatic invasion were higher in Japan than they were in Korea (venous: 18.6% vs. 1.4%, P < 0.001, lymphatic: 25.3% vs. 13.7%, P = 0.042), according to the different methods of immunohistochemical examinations used (Japan: E-HE and D2-40, Korea: ERG).

Conclusions: Our study of T1 CRC showed that there were differences between Japan and Korea in tumor location, elderly incidence, and histopathological lymphatic and venous invasion. Additionally, rates of Tis were different between the two countries. In this international study for CRC, it is considered that we have to pay attention regarding the difference of histopathological definition and method in each country.

Abstract Image

Abstract Image

Abstract Image

关于日本和韩国对 Tis 和 T1 结直肠癌组织病理学处理的差异的跨国分析。
目的:各国对结直肠癌(CRC)的组织病理学处理方法存在差异,如Tis的定义、淋巴和静脉侵犯等。在这项研究中,我们对日本和韩国的 Tis 和 T1 CRC 进行了比较:我们回顾性比较了日本京都府立医科大学(Kyoto Prefectural University of Medicine)和韩国建国大学(Konkuk University)在 2010 年至 2014 年间新确诊的 Tis 和 T1 CRC 连续患者的各种临床特征:结果:共纳入了 726 名日本患者和 149 名韩国患者中的 365 例 T1 癌和 510 例 Tis 癌。根据Tis定义的不同,日本的Tis率高于韩国(59.8%对51.0%,P=0.047)。在对 365 例 T1 CRC 的分析中,日本的中位年龄高于韩国(67.8 ± 10.6 vs. 62.2 ± 10.1,P < 0.001)。右侧病变的发生率日本高于韩国(38.7% vs. 22.2%,P < 0.001)。根据使用的不同免疫组化检查方法(日本:E-HE和D2-40,韩国:ERG),日本的静脉和淋巴侵袭率高于韩国(静脉:18.6% vs. 1.4%,P < 0.001;淋巴:25.3% vs. 13.7%,P = 0.042):我们对 T1 CRC 的研究表明,日本和韩国在肿瘤位置、老年发病率、组织病理学淋巴和静脉侵犯方面存在差异。此外,两国的 Tis 发生率也有所不同。在这项针对 CRC 的国际研究中,我们认为必须注意各国在组织病理学定义和方法上的差异。
本文章由计算机程序翻译,如有差异,请以英文原文为准。
求助全文
约1分钟内获得全文 求助全文
来源期刊
CiteScore
2.90
自引率
0.00%
发文量
1
×
引用
GB/T 7714-2015
复制
MLA
复制
APA
复制
导出至
BibTeX EndNote RefMan NoteFirst NoteExpress
×
提示
您的信息不完整,为了账户安全,请先补充。
现在去补充
×
提示
您因"违规操作"
具体请查看互助需知
我知道了
×
提示
确定
请完成安全验证×
copy
已复制链接
快去分享给好友吧!
我知道了
右上角分享
点击右上角分享
0
联系我们:info@booksci.cn Book学术提供免费学术资源搜索服务,方便国内外学者检索中英文文献。致力于提供最便捷和优质的服务体验。 Copyright © 2023 布克学术 All rights reserved.
京ICP备2023020795号-1
ghs 京公网安备 11010802042870号
Book学术文献互助
Book学术文献互助群
群 号:604180095
Book学术官方微信
小红书