Decreased liver-to-spleen ratio in low-dose computed tomography as a biomarker of fatty liver disease reflects risk for myocardial ischaemia.

Pub Date : 2023-08-10 eCollection Date: 2023-05-01 DOI:10.1093/ehjimp/qyad016
A Hokkanen, H Hämäläinen, T M Laitinen, T P Laitinen
{"title":"Decreased liver-to-spleen ratio in low-dose computed tomography as a biomarker of fatty liver disease reflects risk for myocardial ischaemia.","authors":"A Hokkanen, H Hämäläinen, T M Laitinen, T P Laitinen","doi":"10.1093/ehjimp/qyad016","DOIUrl":null,"url":null,"abstract":"<p><strong>Aims: </strong>A strong association between fatty liver disease (FLD) and coronary artery disease is consistently reported. Our aim was to evaluate whether FLD diagnosed using low-dose non-contrast computed tomography (LDCT), as a by-product of myocardial perfusion imaging (MPI), is associated with myocardial ischaemia or left ventricular function parameters.</p><p><strong>Methods and results: </strong>We analysed 742 patients who had undergone MPI using single photon emission computed tomography (SPECT) and LDCT. A liver-to-spleen ratio (in Hounsfield units) of <1 was defined as FLD. Myocardial ischaemia was defined as a summed difference score (SDS) ≥3. Left ventricular size and systolic function were assessed from the electrocardiogram-gated SPECT. FLD patients were younger (63 vs. 68 years) and had a higher body mass index (34.6 vs. 29.0 kg/m<sup>2</sup>) and a higher SDS (2.65 vs. 1.63), <i>P</i> < 0.001 for all. Independently of several possible confounding factors including traditional risk factors, patients with FLD had a 1.70-fold risk of ischaemia (95% confidence interval 1.11-2.58, <i>P</i> = 0.014). Left ventricular end-diastolic volume (109 vs. 109 mL) and ejection fraction (61 vs. 61%) were comparable in those with and without FLD (non-significant for both).</p><p><strong>Conclusions: </strong>With the help of LDCT, it is possible to identify FLD, which is associated with an increased risk of myocardial ischaemia. Therefore, evaluation of FLD from LDCT is recommended along with MPI.</p>","PeriodicalId":75085,"journal":{"name":"","volume":"1 1","pages":"qyad016"},"PeriodicalIF":0.0,"publicationDate":"2023-08-10","publicationTypes":"Journal Article","fieldsOfStudy":null,"isOpenAccess":false,"openAccessPdf":"https://www.ncbi.nlm.nih.gov/pmc/articles/PMC11240163/pdf/","citationCount":"0","resultStr":null,"platform":"Semanticscholar","paperid":null,"PeriodicalName":"","FirstCategoryId":"1085","ListUrlMain":"https://doi.org/10.1093/ehjimp/qyad016","RegionNum":0,"RegionCategory":null,"ArticlePicture":[],"TitleCN":null,"AbstractTextCN":null,"PMCID":null,"EPubDate":"2023/5/1 0:00:00","PubModel":"eCollection","JCR":"","JCRName":"","Score":null,"Total":0}
引用次数: 0

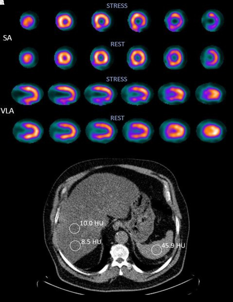
Abstract

Aims: A strong association between fatty liver disease (FLD) and coronary artery disease is consistently reported. Our aim was to evaluate whether FLD diagnosed using low-dose non-contrast computed tomography (LDCT), as a by-product of myocardial perfusion imaging (MPI), is associated with myocardial ischaemia or left ventricular function parameters.

Methods and results: We analysed 742 patients who had undergone MPI using single photon emission computed tomography (SPECT) and LDCT. A liver-to-spleen ratio (in Hounsfield units) of <1 was defined as FLD. Myocardial ischaemia was defined as a summed difference score (SDS) ≥3. Left ventricular size and systolic function were assessed from the electrocardiogram-gated SPECT. FLD patients were younger (63 vs. 68 years) and had a higher body mass index (34.6 vs. 29.0 kg/m2) and a higher SDS (2.65 vs. 1.63), P < 0.001 for all. Independently of several possible confounding factors including traditional risk factors, patients with FLD had a 1.70-fold risk of ischaemia (95% confidence interval 1.11-2.58, P = 0.014). Left ventricular end-diastolic volume (109 vs. 109 mL) and ejection fraction (61 vs. 61%) were comparable in those with and without FLD (non-significant for both).

Conclusions: With the help of LDCT, it is possible to identify FLD, which is associated with an increased risk of myocardial ischaemia. Therefore, evaluation of FLD from LDCT is recommended along with MPI.

Abstract Image

Abstract Image

Abstract Image

低剂量计算机断层扫描中作为脂肪肝生物标志物的肝脾比值降低反映了心肌缺血的风险。
目的:脂肪肝(FLD)与冠状动脉疾病之间存在密切联系的报道屡见不鲜。我们的目的是评估使用低剂量非对比计算机断层扫描(LDCT)诊断出的脂肪肝(作为心肌灌注成像(MPI)的副产品)是否与心肌缺血或左心室功能参数有关:我们对 742 名使用单光子发射计算机断层扫描(SPECT)和 LDCT 进行心肌灌注成像的患者进行了分析。肝脾比值(Hounsfield 单位)为 2)和较高的 SDS(2.65 对 1.63),P < 0.001。与包括传统风险因素在内的几个可能的混杂因素无关,FLD 患者发生缺血的风险是其他患者的 1.70 倍(95% 置信区间为 1.11-2.58,P = 0.014)。左心室舒张末期容积(109 对 109 mL)和射血分数(61 对 61%)在有 FLD 和没有 FLD 的患者中具有可比性(两者均无显著性):结论:在 LDCT 的帮助下,有可能识别出与心肌缺血风险增加相关的 FLD。因此,建议在进行 MPI 检查的同时,通过 LDCT 对 FLD 进行评估。
本文章由计算机程序翻译,如有差异,请以英文原文为准。
求助全文
约1分钟内获得全文 求助全文
×
引用
GB/T 7714-2015
复制
MLA
复制
APA
复制
导出至
BibTeX EndNote RefMan NoteFirst NoteExpress
×
提示
您的信息不完整,为了账户安全,请先补充。
现在去补充
×
提示
您因"违规操作"
具体请查看互助需知
我知道了
×
提示
确定
请完成安全验证×
copy
已复制链接
快去分享给好友吧!
我知道了
右上角分享
点击右上角分享
0
联系我们:info@booksci.cn Book学术提供免费学术资源搜索服务,方便国内外学者检索中英文文献。致力于提供最便捷和优质的服务体验。 Copyright © 2023 布克学术 All rights reserved.
京ICP备2023020795号-1
ghs 京公网安备 11010802042870号
Book学术文献互助
Book学术文献互助群
群 号:604180095
Book学术官方微信