Atrophic Dermatofibroma: A Comprehensive Literature Review.

IF 0.1 3区 艺术学 0 MUSIC
MUSICAL TIMES Pub Date : 2019-09-01 Epub Date: 2019-07-23 DOI:10.1007/s13555-019-0309-y
Philip R Cohen, Christof P Erickson, Antoanella Calame
{"title":"Atrophic Dermatofibroma: A Comprehensive Literature Review.","authors":"Philip R Cohen, Christof P Erickson, Antoanella Calame","doi":"10.1007/s13555-019-0309-y","DOIUrl":null,"url":null,"abstract":"<p><strong>Introduction: </strong>An atrophic dermatofibroma is a benign fibrohistiocytic neoplasm. It typically presents as an asymptomatic patch with a depressed central area.</p><p><strong>Methods: </strong>The PubMed database was used to search the following words: atrophic, dermatofibroma, elastic and fibers. The relevant papers and their references generated by the search were reviewed. Images of the clinical and pathological features of two patients with an atrophic dermatofibroma are presented. In addition, a comprehensive review of the characteristics of this unique dermatofibroma is provided.</p><p><strong>Results: </strong>An atrophic dermatofibroma has been reported in 102 patients: 53 women, 11 men and 38 individuals whose gender was not provided. It typically appeared as an asymptomatic solitary patch with a central umbilication-most commonly on the shoulder or lower extremity or back-of women aged 48 years or older. Dermoscopy typically showed white scar-like patches; a patchy pigment network was also noted in some lesions. The pathology of an atrophic dermatofibroma has the same features that can be observed in a common fibrous dermatofibroma; there is acanthosis, basal layer hyperpigmentation, and induction of basal cell carcinoma-like features, hair follicle formation or sebaceous hyperplasia in the epidermis and a proliferation of spindle-shaped fibroblasts in the dermis. However, atrophic dermatofibromas also demonstrate depression of the central surface and thinning of the dermis; in many cases, the dermal atrophy is at least 50%. Elastic fibers are either decreased or absent. Similar to non-atrophic dermatofibromas, the immunoperoxidase profile of atrophic dermatofibromas is factor XIIIa-positive and cluster of differentiation 34 (CD34)-negative. The pathogenesis of atrophic dermatofibromas remains to be established.</p><p><strong>Conclusion: </strong>An atrophic dermatofibroma is an uncommon benign variant of a dermatofibroma. The diagnosis can be suspected based on clinical features and dermatoscopic findings. A biopsy of the lesion will confirm the diagnosis. Periodic evaluation of the lesion site is a reasonable approach to the management of the residual tumor.</p>","PeriodicalId":51900,"journal":{"name":"MUSICAL TIMES","volume":"28 1","pages":"449-468"},"PeriodicalIF":0.1000,"publicationDate":"2019-09-01","publicationTypes":"Journal Article","fieldsOfStudy":null,"isOpenAccess":false,"openAccessPdf":"https://www.ncbi.nlm.nih.gov/pmc/articles/PMC6704206/pdf/","citationCount":"0","resultStr":null,"platform":"Semanticscholar","paperid":null,"PeriodicalName":"MUSICAL TIMES","FirstCategoryId":"3","ListUrlMain":"https://doi.org/10.1007/s13555-019-0309-y","RegionNum":3,"RegionCategory":"艺术学","ArticlePicture":[],"TitleCN":null,"AbstractTextCN":null,"PMCID":null,"EPubDate":"2019/7/23 0:00:00","PubModel":"Epub","JCR":"0","JCRName":"MUSIC","Score":null,"Total":0}
引用次数: 0

Abstract

Introduction: An atrophic dermatofibroma is a benign fibrohistiocytic neoplasm. It typically presents as an asymptomatic patch with a depressed central area.

Methods: The PubMed database was used to search the following words: atrophic, dermatofibroma, elastic and fibers. The relevant papers and their references generated by the search were reviewed. Images of the clinical and pathological features of two patients with an atrophic dermatofibroma are presented. In addition, a comprehensive review of the characteristics of this unique dermatofibroma is provided.

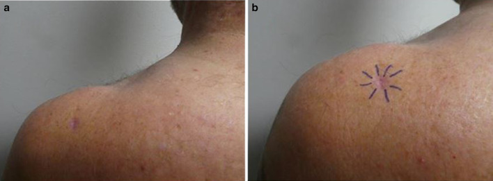
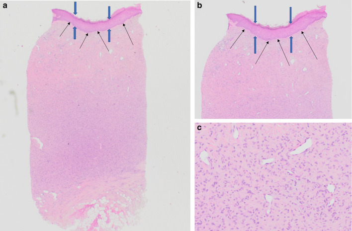
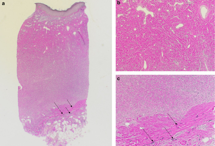
Results: An atrophic dermatofibroma has been reported in 102 patients: 53 women, 11 men and 38 individuals whose gender was not provided. It typically appeared as an asymptomatic solitary patch with a central umbilication-most commonly on the shoulder or lower extremity or back-of women aged 48 years or older. Dermoscopy typically showed white scar-like patches; a patchy pigment network was also noted in some lesions. The pathology of an atrophic dermatofibroma has the same features that can be observed in a common fibrous dermatofibroma; there is acanthosis, basal layer hyperpigmentation, and induction of basal cell carcinoma-like features, hair follicle formation or sebaceous hyperplasia in the epidermis and a proliferation of spindle-shaped fibroblasts in the dermis. However, atrophic dermatofibromas also demonstrate depression of the central surface and thinning of the dermis; in many cases, the dermal atrophy is at least 50%. Elastic fibers are either decreased or absent. Similar to non-atrophic dermatofibromas, the immunoperoxidase profile of atrophic dermatofibromas is factor XIIIa-positive and cluster of differentiation 34 (CD34)-negative. The pathogenesis of atrophic dermatofibromas remains to be established.

Conclusion: An atrophic dermatofibroma is an uncommon benign variant of a dermatofibroma. The diagnosis can be suspected based on clinical features and dermatoscopic findings. A biopsy of the lesion will confirm the diagnosis. Periodic evaluation of the lesion site is a reasonable approach to the management of the residual tumor.

Abstract Image

Abstract Image

Abstract Image

萎缩性皮纤维瘤:全面文献综述。
简介:萎缩性皮纤维瘤是一种良性纤维组织细胞肿瘤:萎缩性皮纤维瘤是一种良性纤维组织细胞肿瘤。它通常表现为无症状的斑块,中央区域凹陷:方法:使用 PubMed 数据库搜索以下词条:萎缩、皮纤维瘤、弹性和纤维。对检索到的相关论文及其参考文献进行了审查。本文展示了两名萎缩性皮纤维瘤患者的临床和病理特征图像。此外,还对这种独特皮纤维瘤的特征进行了全面综述:结果:据报道,102 名患者患有萎缩性皮纤维瘤:结果:据报道,102 名患者患有萎缩性皮纤维瘤:53 名女性、11 名男性和 38 名未提供性别的患者。它通常表现为无症状的单发斑块,中央有脐带,最常见于 48 岁或以上女性的肩部、下肢或背部。皮肤镜检查通常会发现白色疤痕状斑块;在某些病变中还会发现斑状色素网。萎缩性皮纤维瘤的病理特征与常见的纤维性皮纤维瘤相同;表皮有棘层增生、基底层色素沉着、诱发基底细胞癌样特征、毛囊形成或皮脂腺增生,真皮有纺锤形成纤维细胞增生。不过,萎缩性皮纤维瘤也会表现为中央表面凹陷和真皮变薄;在许多病例中,真皮萎缩至少达 50%。弹性纤维减少或消失。与非萎缩性皮纤维瘤相似,萎缩性皮纤维瘤的免疫过氧化物酶谱为因子 XIIIa 阳性和分化簇 34(CD34)阴性。萎缩性皮纤维瘤的发病机制仍有待确定:萎缩性皮纤维瘤是一种不常见的皮纤维瘤良性变异。可根据临床特征和皮肤镜检查结果进行怀疑诊断。对病变部位进行活检可以确诊。定期评估病变部位是处理残余肿瘤的合理方法。
本文章由计算机程序翻译,如有差异,请以英文原文为准。
求助全文
约1分钟内获得全文 求助全文
来源期刊
MUSICAL TIMES
MUSICAL TIMES MUSIC-
自引率
0.00%
发文量
0
×
引用
GB/T 7714-2015
复制
MLA
复制
APA
复制
导出至
BibTeX EndNote RefMan NoteFirst NoteExpress
×
提示
您的信息不完整,为了账户安全,请先补充。
现在去补充
×
提示
您因"违规操作"
具体请查看互助需知
我知道了
×
提示
确定
请完成安全验证×
copy
已复制链接
快去分享给好友吧!
我知道了
右上角分享
点击右上角分享
0
联系我们:info@booksci.cn Book学术提供免费学术资源搜索服务,方便国内外学者检索中英文文献。致力于提供最便捷和优质的服务体验。 Copyright © 2023 布克学术 All rights reserved.
京ICP备2023020795号-1
ghs 京公网安备 11010802042870号
Book学术文献互助
Book学术文献互助群
群 号:604180095
Book学术官方微信