Common Soft Tissue Tumors Involving the Hand with Histopathological Correlation.

Q4 Engineering
Pankaj Nepal, Swachchhanda Songmen, Saeed Intakhab Alam, Darshan Gandhi, Neeta Ghimire, Vijayanadh Ojili
{"title":"Common Soft Tissue Tumors Involving the Hand with Histopathological Correlation.","authors":"Pankaj Nepal, Swachchhanda Songmen, Saeed Intakhab Alam, Darshan Gandhi, Neeta Ghimire, Vijayanadh Ojili","doi":"10.25259/JCIS-6-2019","DOIUrl":null,"url":null,"abstract":"<p><p>Soft tissue tumors involving the hand are common and most often benign. It is important to know the spectrum of soft tissue tumors of the hand and understand the typical as well as atypical imaging features are seen on different imaging modalities. The imaging features are largely determined by the tumor histopathology; thus, the basic idea about the tumor histopathology will always be useful. This article intends to focus on a comprehensive approach including demographics, clinical presentation, and imaging findings required to diagnose the tumor definitely or narrow the differentials. This article discusses common soft tissue tumor mimics of the hand as well, however, excludes the bone tumors for the sake of brevity.</p>","PeriodicalId":35437,"journal":{"name":"Journal of the Illuminating Engineering Institute of Japan (Shomei Gakkai Shi)","volume":"10 1","pages":"15"},"PeriodicalIF":0.0000,"publicationDate":"2019-05-24","publicationTypes":"Journal Article","fieldsOfStudy":null,"isOpenAccess":false,"openAccessPdf":"https://www.ncbi.nlm.nih.gov/pmc/articles/PMC6702939/pdf/","citationCount":"0","resultStr":null,"platform":"Semanticscholar","paperid":null,"PeriodicalName":"Journal of the Illuminating Engineering Institute of Japan (Shomei Gakkai Shi)","FirstCategoryId":"1085","ListUrlMain":"https://doi.org/10.25259/JCIS-6-2019","RegionNum":0,"RegionCategory":null,"ArticlePicture":[],"TitleCN":null,"AbstractTextCN":null,"PMCID":null,"EPubDate":"2019/1/1 0:00:00","PubModel":"eCollection","JCR":"Q4","JCRName":"Engineering","Score":null,"Total":0}
引用次数: 0

Abstract

Soft tissue tumors involving the hand are common and most often benign. It is important to know the spectrum of soft tissue tumors of the hand and understand the typical as well as atypical imaging features are seen on different imaging modalities. The imaging features are largely determined by the tumor histopathology; thus, the basic idea about the tumor histopathology will always be useful. This article intends to focus on a comprehensive approach including demographics, clinical presentation, and imaging findings required to diagnose the tumor definitely or narrow the differentials. This article discusses common soft tissue tumor mimics of the hand as well, however, excludes the bone tumors for the sake of brevity.

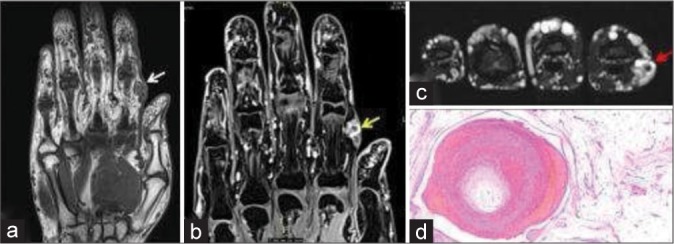
Abstract Image

Abstract Image

Abstract Image

手部常见软组织肿瘤与组织病理学的相关性
手部软组织肿瘤是常见的良性肿瘤。了解手部软组织肿瘤的范围,了解不同成像模式下的典型和非典型成像特征非常重要。影像学特征在很大程度上取决于肿瘤组织病理学;因此,了解肿瘤组织病理学的基本概念总是有用的。本文将重点介绍一种综合方法,包括人口统计学、临床表现和影像学检查结果,以明确诊断肿瘤或缩小鉴别范围。本文还讨论了手部常见的软组织肿瘤,但为了简洁起见,不包括骨肿瘤。
本文章由计算机程序翻译,如有差异,请以英文原文为准。
求助全文
约1分钟内获得全文 求助全文
来源期刊
Journal of the Illuminating Engineering Institute of Japan (Shomei Gakkai Shi)
Journal of the Illuminating Engineering Institute of Japan (Shomei Gakkai Shi) Engineering-Electrical and Electronic Engineering
CiteScore
0.10
自引率
0.00%
发文量
6
×
引用
GB/T 7714-2015
复制
MLA
复制
APA
复制
导出至
BibTeX EndNote RefMan NoteFirst NoteExpress
×
提示
您的信息不完整,为了账户安全,请先补充。
现在去补充
×
提示
您因"违规操作"
具体请查看互助需知
我知道了
×
提示
确定
请完成安全验证×
copy
已复制链接
快去分享给好友吧!
我知道了
右上角分享
点击右上角分享
0
联系我们:info@booksci.cn Book学术提供免费学术资源搜索服务,方便国内外学者检索中英文文献。致力于提供最便捷和优质的服务体验。 Copyright © 2023 布克学术 All rights reserved.
京ICP备2023020795号-1
ghs 京公网安备 11010802042870号
Book学术文献互助
Book学术文献互助群
群 号:604180095
Book学术官方微信