A case of ovarian Teratoma with nephroblastoma presenting abdomen metastasis.

IF 2.5 1区 数学 Q1 STATISTICS & PROBABILITY
Annals of Probability Pub Date : 2022-05-01 Epub Date: 2022-03-29 DOI:10.1002/jcla.24364
Yinan Wu, Chu Chu, Jingyuan Zhang, Beharee Nitish, Jing Ni, Xinyu Xu
{"title":"A case of ovarian Teratoma with nephroblastoma presenting abdomen metastasis.","authors":"Yinan Wu, Chu Chu, Jingyuan Zhang, Beharee Nitish, Jing Ni, Xinyu Xu","doi":"10.1002/jcla.24364","DOIUrl":null,"url":null,"abstract":"<p><strong>Background: </strong>Teratoma with nephroblastoma (TWN) is an extremely rare condition. Since 1984, only 45 reported cases have been identified. To our knowledge, there have been only two cases of TWN of ovarian origin.</p><p><strong>Case presentation: </strong>We described a case of ovarian TWN who presented to us with painless abdominal masses 6 months after undergoing right ovarian cystectomy. The tumor had spread to the abdomen due to spontaneous rupture of the ovarian cyst and failure to undergo chemotherapy. Microscopically, the ovarian mass exhibited the typical components of a mature cystic teratoma. The tumors found in both the ovary and abdomen contained the nephroblastoma components and were strongly positive for WT-1. The patient was advised to undergo chemotherapy and she was lost to follow-up.</p><p><strong>Conclusion: </strong>A careful histological examination is necessary for an accurate diagnosis, which is based on morphology and extensive immunohistochemical studies. According to the literature, surgical excision alone seems reasonable as the prognosis of TWN is considered to be good. However, due to the spontaneous rupture of the ovarian cyst, chemotherapy of the patient after the first surgery was necessary in our case. Therefore, additional case studies are needed to clarify the standardized treatment of TWN.</p>","PeriodicalId":50763,"journal":{"name":"Annals of Probability","volume":"20 1","pages":"e24364"},"PeriodicalIF":2.5000,"publicationDate":"2022-05-01","publicationTypes":"Journal Article","fieldsOfStudy":null,"isOpenAccess":false,"openAccessPdf":"https://www.ncbi.nlm.nih.gov/pmc/articles/PMC9102504/pdf/","citationCount":"0","resultStr":null,"platform":"Semanticscholar","paperid":null,"PeriodicalName":"Annals of Probability","FirstCategoryId":"3","ListUrlMain":"https://doi.org/10.1002/jcla.24364","RegionNum":1,"RegionCategory":"数学","ArticlePicture":[],"TitleCN":null,"AbstractTextCN":null,"PMCID":null,"EPubDate":"2022/3/29 0:00:00","PubModel":"Epub","JCR":"Q1","JCRName":"STATISTICS & PROBABILITY","Score":null,"Total":0}
引用次数: 0

Abstract

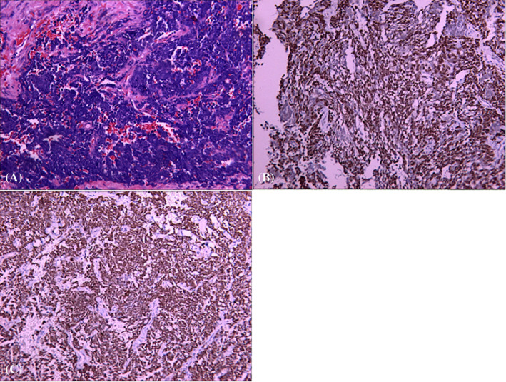
Background: Teratoma with nephroblastoma (TWN) is an extremely rare condition. Since 1984, only 45 reported cases have been identified. To our knowledge, there have been only two cases of TWN of ovarian origin.

Case presentation: We described a case of ovarian TWN who presented to us with painless abdominal masses 6 months after undergoing right ovarian cystectomy. The tumor had spread to the abdomen due to spontaneous rupture of the ovarian cyst and failure to undergo chemotherapy. Microscopically, the ovarian mass exhibited the typical components of a mature cystic teratoma. The tumors found in both the ovary and abdomen contained the nephroblastoma components and were strongly positive for WT-1. The patient was advised to undergo chemotherapy and she was lost to follow-up.

Conclusion: A careful histological examination is necessary for an accurate diagnosis, which is based on morphology and extensive immunohistochemical studies. According to the literature, surgical excision alone seems reasonable as the prognosis of TWN is considered to be good. However, due to the spontaneous rupture of the ovarian cyst, chemotherapy of the patient after the first surgery was necessary in our case. Therefore, additional case studies are needed to clarify the standardized treatment of TWN.

Abstract Image

Abstract Image

Abstract Image

一例卵巢畸胎瘤伴肾母细胞瘤腹腔转移病例。
背景:畸胎瘤合并肾母细胞瘤(TWN)是一种极为罕见的疾病。自 1984 年以来,仅发现了 45 例报告病例。据我们所知,仅有两例卵巢TWN病例:我们描述了一例卵巢 TWN 病例,患者在接受右卵巢囊肿切除术 6 个月后,因腹部无痛性肿块而就诊。由于卵巢囊肿自发性破裂和化疗失败,肿瘤已扩散到腹部。显微镜下,卵巢肿块显示出成熟囊性畸胎瘤的典型特征。卵巢和腹部发现的肿瘤均含有肾母细胞瘤成分,且 WT-1 强阳性。该患者被建议接受化疗,并失去了随访机会:结论:仔细的组织学检查是准确诊断的必要条件,而组织学检查的基础是形态学和广泛的免疫组化研究。根据文献报道,由于 TWN 的预后良好,单纯手术切除似乎是合理的。然而,在我们的病例中,由于卵巢囊肿自发破裂,第一次手术后必须对患者进行化疗。因此,需要进行更多的病例研究,以明确 TWN 的标准化治疗方法。
本文章由计算机程序翻译,如有差异,请以英文原文为准。
求助全文
约1分钟内获得全文 求助全文
来源期刊
Annals of Probability
Annals of Probability 数学-统计学与概率论
CiteScore
4.60
自引率
8.70%
发文量
61
审稿时长
6-12 weeks
期刊介绍: The Annals of Probability publishes research papers in modern probability theory, its relations to other areas of mathematics, and its applications in the physical and biological sciences. Emphasis is on importance, interest, and originality – formal novelty and correctness are not sufficient for publication. The Annals will also publish authoritative review papers and surveys of areas in vigorous development.
×
引用
GB/T 7714-2015
复制
MLA
复制
APA
复制
导出至
BibTeX EndNote RefMan NoteFirst NoteExpress
×
提示
您的信息不完整,为了账户安全,请先补充。
现在去补充
×
提示
您因"违规操作"
具体请查看互助需知
我知道了
×
提示
确定
请完成安全验证×
copy
已复制链接
快去分享给好友吧!
我知道了
右上角分享
点击右上角分享
0
联系我们:info@booksci.cn Book学术提供免费学术资源搜索服务,方便国内外学者检索中英文文献。致力于提供最便捷和优质的服务体验。 Copyright © 2023 布克学术 All rights reserved.
京ICP备2023020795号-1
ghs 京公网安备 11010802042870号
Book学术文献互助
Book学术文献互助群
群 号:604180095
Book学术官方微信