Congenital glioblastoma - prenatal diagnosis becoming a diagnostic challenge after birth: a case report.

IF 0.2 Q4 OBSTETRICS & GYNECOLOGY
Case Reports in Perinatal Medicine Pub Date : 2023-09-04 eCollection Date: 2023-01-01 DOI:10.1515/crpm-2023-0008
Orzeł M Maria, Pruszek K Weronika, Borek-Dzięcioł Beata, Głuszczak-Idziakowska Ewa, Kociszewska-Najman Bożena
{"title":"Congenital glioblastoma - prenatal diagnosis becoming a diagnostic challenge after birth: a case report.","authors":"Orzeł M Maria, Pruszek K Weronika, Borek-Dzięcioł Beata, Głuszczak-Idziakowska Ewa, Kociszewska-Najman Bożena","doi":"10.1515/crpm-2023-0008","DOIUrl":null,"url":null,"abstract":"<p><strong>Objectives: </strong>The incidence of congenital brain tumors is estimated at 1.1-3.6 per 100.000 live births, accounting for 0.5-2 % of all cancers in the pediatric population. Congenital gliomas account for 3.1-8.9 % of all congenital brain tumors and are cancers with a poor prognosis. The rate of stillbirth and death on the first day of life reaches 29 %; 38 % die within the first week, and 56 % die within the first two months. The average length of survival is two years.</p><p><strong>Case presentation: </strong>In the 29th week of pregnancy, a female fetus was diagnosed with intracranial hemorrhage complicated by hydrocephalus. Postnatal brain MRI imaging showed a solid proliferative lesion of the left hemisphere with dilatation of the ventricular system. Brown cerebrospinal fluid was collected during the puncture of the left lateral ventricle to reduce hydrocephalus. No tumor cells were detected by cytology. Due to increasing hydrocephalus, the patient was qualified for Rickham reservoir implantation. On day 27th, a craniotomy was performed to determine the etiology of recurrent prenatal intraventricular bleeding. During surgery, the bleeding mass raised the suspicion of neoplasm-histopathological examination of the retrieved tissue diagnosed WHO stage IV malignant glioma. The patient died at 8 months of age.</p><p><strong>Conclusions: </strong>Prenatal diagnosis of an abnormal structure in the fetal brain remains a diagnostic challenge in neonates. Glioblastoma is a rare neoplasm with a poor prognosis.</p>","PeriodicalId":9617,"journal":{"name":"Case Reports in Perinatal Medicine","volume":"66 1","pages":"20230008"},"PeriodicalIF":0.2000,"publicationDate":"2023-09-04","publicationTypes":"Journal Article","fieldsOfStudy":null,"isOpenAccess":false,"openAccessPdf":"https://www.ncbi.nlm.nih.gov/pmc/articles/PMC11616977/pdf/","citationCount":"0","resultStr":null,"platform":"Semanticscholar","paperid":null,"PeriodicalName":"Case Reports in Perinatal Medicine","FirstCategoryId":"1085","ListUrlMain":"https://doi.org/10.1515/crpm-2023-0008","RegionNum":0,"RegionCategory":null,"ArticlePicture":[],"TitleCN":null,"AbstractTextCN":null,"PMCID":null,"EPubDate":"2023/1/1 0:00:00","PubModel":"eCollection","JCR":"Q4","JCRName":"OBSTETRICS & GYNECOLOGY","Score":null,"Total":0}
引用次数: 0

Abstract

Objectives: The incidence of congenital brain tumors is estimated at 1.1-3.6 per 100.000 live births, accounting for 0.5-2 % of all cancers in the pediatric population. Congenital gliomas account for 3.1-8.9 % of all congenital brain tumors and are cancers with a poor prognosis. The rate of stillbirth and death on the first day of life reaches 29 %; 38 % die within the first week, and 56 % die within the first two months. The average length of survival is two years.

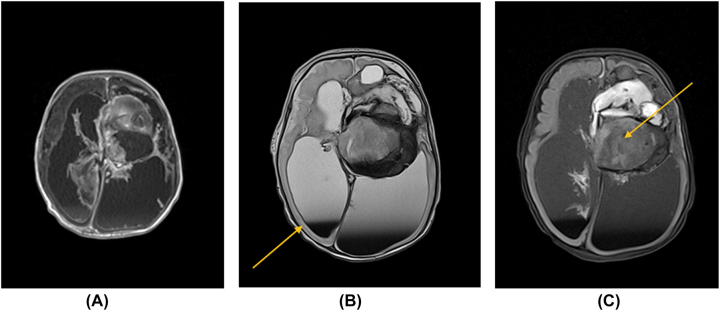
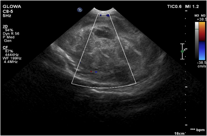
Case presentation: In the 29th week of pregnancy, a female fetus was diagnosed with intracranial hemorrhage complicated by hydrocephalus. Postnatal brain MRI imaging showed a solid proliferative lesion of the left hemisphere with dilatation of the ventricular system. Brown cerebrospinal fluid was collected during the puncture of the left lateral ventricle to reduce hydrocephalus. No tumor cells were detected by cytology. Due to increasing hydrocephalus, the patient was qualified for Rickham reservoir implantation. On day 27th, a craniotomy was performed to determine the etiology of recurrent prenatal intraventricular bleeding. During surgery, the bleeding mass raised the suspicion of neoplasm-histopathological examination of the retrieved tissue diagnosed WHO stage IV malignant glioma. The patient died at 8 months of age.

Conclusions: Prenatal diagnosis of an abnormal structure in the fetal brain remains a diagnostic challenge in neonates. Glioblastoma is a rare neoplasm with a poor prognosis.

Abstract Image

Abstract Image

先天性胶质母细胞瘤-产前诊断成为出生后诊断的挑战:1例报告。
目的:先天性脑肿瘤的发病率估计为每10万活产1.1-3.6例,占儿科人口所有癌症的0.5- 2%。先天性胶质瘤占所有先天性脑肿瘤的3.1- 8.9%,是一种预后较差的肿瘤。死产和出生第一天死亡的比率达到29%;38%的患者在第一周内死亡,56%的患者在头两个月内死亡。平均存活时间为两年。病例介绍:在怀孕第29周,一个女胎儿被诊断为颅内出血并脑积水。产后脑MRI显示左半球实性增生性病变伴心室系统扩张。在左侧脑室穿刺以减少脑积水时收集棕色脑脊液。细胞学检查未检出肿瘤细胞。由于脑积水增加,患者符合Rickham蓄水池植入的条件。第27天,行开颅术以确定复发性产前脑室出血的病因。手术中,出血肿块引起肿瘤的怀疑,组织病理学检查诊断为WHO IV期恶性胶质瘤。患者在8个月大时死亡。结论:胎儿大脑异常结构的产前诊断在新生儿中仍然是一个诊断挑战。胶质母细胞瘤是一种罕见的肿瘤,预后较差。
本文章由计算机程序翻译,如有差异,请以英文原文为准。
求助全文
约1分钟内获得全文 求助全文
来源期刊
Case Reports in Perinatal Medicine
Case Reports in Perinatal Medicine OBSTETRICS & GYNECOLOGY-
自引率
0.00%
发文量
37
期刊介绍: Case Reports in Perinatal Medicine is a double-blind peer-reviewed journal. The objective of the new journal is very similar to that of JPM. In addition to evidence-based studies, practitioners in clinical practice esteem especially exemplary reports of cases that reveal specific manifestations of diseases, its progress or its treatment. We consider case reports and series to be brief reports describing an isolated clinical case or a small number of cases. They may describe new or uncommon diagnoses, unusual outcomes or prognosis, new or infrequently used therapies and side effects of therapy not usually discovered in clinical trials. They represent the basic concept of experiences for studies on representative groups for further evidence-based research. The potential roles of case reports and case series are: Recognition and description of new diseases Detection of drug side effects (adverse or beneficial) Study of mechanisms of disease Medical education and audit Recognition of rare manifestations of disease.
×
引用
GB/T 7714-2015
复制
MLA
复制
APA
复制
导出至
BibTeX EndNote RefMan NoteFirst NoteExpress
×
提示
您的信息不完整,为了账户安全,请先补充。
现在去补充
×
提示
您因"违规操作"
具体请查看互助需知
我知道了
×
提示
确定
请完成安全验证×
copy
已复制链接
快去分享给好友吧!
我知道了
右上角分享
点击右上角分享
0
联系我们:info@booksci.cn Book学术提供免费学术资源搜索服务,方便国内外学者检索中英文文献。致力于提供最便捷和优质的服务体验。 Copyright © 2023 布克学术 All rights reserved.
京ICP备2023020795号-1
ghs 京公网安备 11010802042870号
Book学术文献互助
Book学术文献互助群
群 号:604180095
Book学术官方微信