Intraperitoneal "golden yellow" in a pediatric patient with Burkitt lymphoma: Xanthogranulomatous appendicitis.

IF 0.9 Q3 MEDICINE, GENERAL & INTERNAL
Northern Clinics of Istanbul Pub Date : 2024-11-19 eCollection Date: 2024-01-01 DOI:10.14744/nci.2022.78477
Elbrus Zarbaliyev, Mustafa Okumus, Payam Hacisalihoglu
{"title":"Intraperitoneal \"golden yellow\" in a pediatric patient with Burkitt lymphoma: Xanthogranulomatous appendicitis.","authors":"Elbrus Zarbaliyev, Mustafa Okumus, Payam Hacisalihoglu","doi":"10.14744/nci.2022.78477","DOIUrl":null,"url":null,"abstract":"<p><p>Xanthogranulomatous inflammation is a rare chronic inflammatory reaction. Appendiceal involvement in the pediatric age group is extremely rare. We present a case of xanthogranulomatous appendicitis (XGA) that was detected incidentally during the excision of a residual intraabdominal mass in an 8-year-old male patient who was treated for Burkitt lymphoma. An 8-year-old male patient who had been diagnosed with Burkitt lymphoma underwent abdominal computerized tomography for evaluation after chemotherapy. An approximately 2.5 cm mass in the right lower quadrant of the abdomen was detected, and laparoscopic excision of the mass was planned. During the operation, it was noticed that the appendix (adjacent to the mass) was golden yellow in color and abnormal in appearance, so a synchronous appendectomy was performed. The pathology result of the mass was compatible with Burkitt lymphoma. Microscopic examination of the appendix revealed that the columnar surface epithelium had eroded and been replaced by fibrin and cell debris. Inflammatory cell infiltration rich in foamy histiocytes as well as lymphocytes and sparse neutrophils that form destructive aggregates was observed in all appendiceal layers. The final diagnosis of the appendectomy specimen was compatible with XGA. In very few XGA cases, the appendix is described as bright yellow or golden yellow. The diagnosis is usually made by the pathological examination after surgery. Though the diagnosis was made postoperatively in our case, there is now, for the first time in the literature, a view of the golden yellow color of XGA taken from an intraoperative video clip.</p>","PeriodicalId":19164,"journal":{"name":"Northern Clinics of Istanbul","volume":"5 1","pages":"579-582"},"PeriodicalIF":0.9000,"publicationDate":"2024-11-19","publicationTypes":"Journal Article","fieldsOfStudy":null,"isOpenAccess":false,"openAccessPdf":"https://www.ncbi.nlm.nih.gov/pmc/articles/PMC11622746/pdf/","citationCount":"0","resultStr":null,"platform":"Semanticscholar","paperid":null,"PeriodicalName":"Northern Clinics of Istanbul","FirstCategoryId":"1085","ListUrlMain":"https://doi.org/10.14744/nci.2022.78477","RegionNum":0,"RegionCategory":null,"ArticlePicture":[],"TitleCN":null,"AbstractTextCN":null,"PMCID":null,"EPubDate":"2024/1/1 0:00:00","PubModel":"eCollection","JCR":"Q3","JCRName":"MEDICINE, GENERAL & INTERNAL","Score":null,"Total":0}
引用次数: 0

Abstract

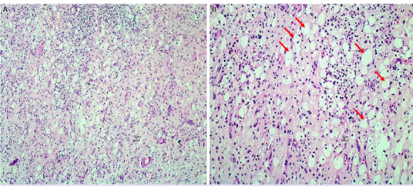
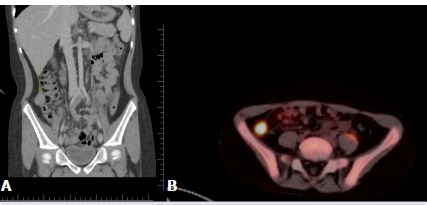
Xanthogranulomatous inflammation is a rare chronic inflammatory reaction. Appendiceal involvement in the pediatric age group is extremely rare. We present a case of xanthogranulomatous appendicitis (XGA) that was detected incidentally during the excision of a residual intraabdominal mass in an 8-year-old male patient who was treated for Burkitt lymphoma. An 8-year-old male patient who had been diagnosed with Burkitt lymphoma underwent abdominal computerized tomography for evaluation after chemotherapy. An approximately 2.5 cm mass in the right lower quadrant of the abdomen was detected, and laparoscopic excision of the mass was planned. During the operation, it was noticed that the appendix (adjacent to the mass) was golden yellow in color and abnormal in appearance, so a synchronous appendectomy was performed. The pathology result of the mass was compatible with Burkitt lymphoma. Microscopic examination of the appendix revealed that the columnar surface epithelium had eroded and been replaced by fibrin and cell debris. Inflammatory cell infiltration rich in foamy histiocytes as well as lymphocytes and sparse neutrophils that form destructive aggregates was observed in all appendiceal layers. The final diagnosis of the appendectomy specimen was compatible with XGA. In very few XGA cases, the appendix is described as bright yellow or golden yellow. The diagnosis is usually made by the pathological examination after surgery. Though the diagnosis was made postoperatively in our case, there is now, for the first time in the literature, a view of the golden yellow color of XGA taken from an intraoperative video clip.

Abstract Image

Abstract Image

Abstract Image

小儿伯基特淋巴瘤腹腔“金黄色”:黄色肉芽肿性阑尾炎。
黄色肉芽肿性炎症是一种罕见的慢性炎症反应。阑尾受累在儿童年龄组是极其罕见的。我们提出一个病例黄色肉芽肿性阑尾炎(XGA)是偶然发现在切除残余腹内肿块在一个8岁的男性患者谁是治疗伯基特淋巴瘤。一位被诊断为伯基特淋巴瘤的8岁男性患者在化疗后接受腹部计算机断层扫描进行评估。在腹部右下象限发现约2.5 cm肿块,计划腹腔镜切除肿块。术中发现阑尾(肿块旁)呈金黄色,外观异常,行同步阑尾切除术。肿块病理结果与伯基特淋巴瘤相符。阑尾显微镜检查显示,柱状表面上皮已被侵蚀,并被纤维蛋白和细胞碎片所取代。阑尾各层均可见富含泡沫组织细胞、淋巴细胞和稀疏中性粒细胞的炎症细胞浸润,形成破坏性聚集体。阑尾切除标本的最终诊断与XGA相符。在极少数XGA病例中,阑尾被描述为亮黄色或金黄色。诊断通常由术后病理检查作出。虽然我们的病例是在术后诊断的,但现在,在文献中,我们第一次从术中视频剪辑中看到了XGA的金黄色。
本文章由计算机程序翻译,如有差异,请以英文原文为准。
求助全文
约1分钟内获得全文 求助全文
来源期刊
Northern Clinics of Istanbul
Northern Clinics of Istanbul MEDICINE, GENERAL & INTERNAL-
CiteScore
0.40
自引率
0.00%
发文量
48
审稿时长
10 weeks
×
引用
GB/T 7714-2015
复制
MLA
复制
APA
复制
导出至
BibTeX EndNote RefMan NoteFirst NoteExpress
×
提示
您的信息不完整,为了账户安全,请先补充。
现在去补充
×
提示
您因"违规操作"
具体请查看互助需知
我知道了
×
提示
确定
请完成安全验证×
copy
已复制链接
快去分享给好友吧!
我知道了
右上角分享
点击右上角分享
0
联系我们:info@booksci.cn Book学术提供免费学术资源搜索服务,方便国内外学者检索中英文文献。致力于提供最便捷和优质的服务体验。 Copyright © 2023 布克学术 All rights reserved.
京ICP备2023020795号-1
ghs 京公网安备 11010802042870号
Book学术文献互助
Book学术文献互助群
群 号:604180095
Book学术官方微信