Stem Cells in Keloid Lesions: A Review.

American Journal of Physiology Pub Date : 2019-05-16 eCollection Date: 2019-05-01 DOI:10.1097/GOX.0000000000002228
Kim H Lim, Tinte Itinteang, Paul F Davis, Swee T Tan
{"title":"Stem Cells in Keloid Lesions: A Review.","authors":"Kim H Lim, Tinte Itinteang, Paul F Davis, Swee T Tan","doi":"10.1097/GOX.0000000000002228","DOIUrl":null,"url":null,"abstract":"<p><p>Keloid disorder (KD) is a fibroproliferative condition caused by dysregulated wound healing following wounding of the skin. The pathogenesis of KD has not been fully elucidated and current treatment is unsatisfactory. There is increasing evidence of the role of stem cells in KD. This review discusses the role of embryonic stem (ESC)-like cells and mesenchymal stem cells in the pathogenesis of KD. It is proposed that dysfunction of the ESC-like population localized to the endothelium of the microvessels and perivascular cells within the keloid-associated lymphoid tissues may give rise to the aberrant fibroblasts and myofibroblasts via a mesenchymal stem cell intermediate in keloid lesions, by undergoing an endothelial-to-mesenchymal transition. We also discuss the role of the renin-angiotensin system (RAS), the immune system, and the inflammatory response, on stem cell proliferation and differentiation. The understanding of the precise roles of these stem cells and interplay of the associated regulatory pathways could lead to the development of targeted therapy for this enigmatic and challenging condition. The demonstration of the expression of components of the RAS and cathepsins B, D, and G that constitute bypass loops of the RAS, by the ESC-like population, suggests that the primitive population may be a therapeutic target by modulation of the RAS, using existing medications.</p>","PeriodicalId":7590,"journal":{"name":"American Journal of Physiology","volume":"97 1","pages":"e2228"},"PeriodicalIF":0.0000,"publicationDate":"2019-05-16","publicationTypes":"Journal Article","fieldsOfStudy":null,"isOpenAccess":false,"openAccessPdf":"https://www.ncbi.nlm.nih.gov/pmc/articles/PMC6571348/pdf/","citationCount":"0","resultStr":null,"platform":"Semanticscholar","paperid":null,"PeriodicalName":"American Journal of Physiology","FirstCategoryId":"1085","ListUrlMain":"https://doi.org/10.1097/GOX.0000000000002228","RegionNum":0,"RegionCategory":null,"ArticlePicture":[],"TitleCN":null,"AbstractTextCN":null,"PMCID":null,"EPubDate":"2019/5/1 0:00:00","PubModel":"eCollection","JCR":"","JCRName":"","Score":null,"Total":0}
引用次数: 0

Abstract

Keloid disorder (KD) is a fibroproliferative condition caused by dysregulated wound healing following wounding of the skin. The pathogenesis of KD has not been fully elucidated and current treatment is unsatisfactory. There is increasing evidence of the role of stem cells in KD. This review discusses the role of embryonic stem (ESC)-like cells and mesenchymal stem cells in the pathogenesis of KD. It is proposed that dysfunction of the ESC-like population localized to the endothelium of the microvessels and perivascular cells within the keloid-associated lymphoid tissues may give rise to the aberrant fibroblasts and myofibroblasts via a mesenchymal stem cell intermediate in keloid lesions, by undergoing an endothelial-to-mesenchymal transition. We also discuss the role of the renin-angiotensin system (RAS), the immune system, and the inflammatory response, on stem cell proliferation and differentiation. The understanding of the precise roles of these stem cells and interplay of the associated regulatory pathways could lead to the development of targeted therapy for this enigmatic and challenging condition. The demonstration of the expression of components of the RAS and cathepsins B, D, and G that constitute bypass loops of the RAS, by the ESC-like population, suggests that the primitive population may be a therapeutic target by modulation of the RAS, using existing medications.

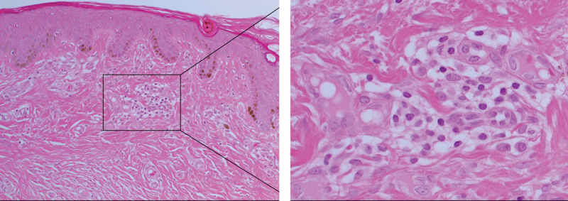
Abstract Image

Abstract Image

干细胞在瘢痕疙瘩病变中的应用:综述。
瘢痕疙瘩症(KD)是一种纤维增生性疾病,由皮肤受伤后伤口愈合失调引起。KD的发病机制尚未完全阐明,目前的治疗效果也不理想。越来越多的证据表明干细胞在 KD 中的作用。本综述讨论了胚胎干(ESC)样细胞和间充质干细胞在KD发病机制中的作用。我们提出,瘢痕疙瘩相关淋巴组织内微血管内皮和血管周围细胞中的胚胎干细胞样群体的功能障碍,可能通过瘢痕疙瘩病变中的间充质干细胞中间体,经历内皮-间充质转化,产生异常成纤维细胞和成肌纤维细胞。我们还讨论了肾素-血管紧张素系统(RAS)、免疫系统和炎症反应对干细胞增殖和分化的作用。了解这些干细胞的确切作用和相关调控途径的相互作用,可为这一神秘而具有挑战性的疾病开发出靶向疗法。证明类 ESC 群体表达了 RAS 和构成 RAS 旁路环路的螯合蛋白 B、D 和 G 的成分,这表明利用现有药物调节 RAS,可将原始群体作为治疗目标。
本文章由计算机程序翻译,如有差异,请以英文原文为准。
求助全文
约1分钟内获得全文 求助全文
来源期刊
自引率
0.00%
发文量
1
×
引用
GB/T 7714-2015
复制
MLA
复制
APA
复制
导出至
BibTeX EndNote RefMan NoteFirst NoteExpress
×
提示
您的信息不完整,为了账户安全,请先补充。
现在去补充
×
提示
您因"违规操作"
具体请查看互助需知
我知道了
×
提示
确定
请完成安全验证×
copy
已复制链接
快去分享给好友吧!
我知道了
右上角分享
点击右上角分享
0
联系我们:info@booksci.cn Book学术提供免费学术资源搜索服务,方便国内外学者检索中英文文献。致力于提供最便捷和优质的服务体验。 Copyright © 2023 布克学术 All rights reserved.
京ICP备2023020795号-1
ghs 京公网安备 11010802042870号
Book学术文献互助
Book学术文献互助群
群 号:604180095
Book学术官方微信