Incomplete vascular ring of the aortic arch presenting with dysphagia in an adult: case report.

IF 3 3区 地球科学 Q2 GEOSCIENCES, MULTIDISCIPLINARY
Journal of the Geological Society Pub Date : 2023-08-25 eCollection Date: 2023-01-01 DOI:10.11604/pamj.2023.45.183.38569
Ndubueze Ezemba, Augustine Chukwudi Onuh, Uchenna Simon Onoh
{"title":"Incomplete vascular ring of the aortic arch presenting with dysphagia in an adult: case report.","authors":"Ndubueze Ezemba, Augustine Chukwudi Onuh, Uchenna Simon Onoh","doi":"10.11604/pamj.2023.45.183.38569","DOIUrl":null,"url":null,"abstract":"<p><p>Anomalies of the arterial branches of the arch of the aorta are rare, with the aberrant right subclavian artery being the most common of this anomaly. Majority of the anomalies are asymptomatic and often discovered as incidental findings. In the great majority of the symptomatic cases, the presentation may be either with breathlessness or dysphagia or both. This is in addition to the nature of the intrinsic arterial disease of the aberrant vessel, especially in adult patients; and unless borne in mind, the diagnosis is often missed leading to delays and wrong treatment. In this report we present a case of dysphagia in an adult male Nigerian initially diagnosed as œsophageal stricture from herbal potion ingestion but review of his imaging investigations gave a final diagnosis of dysphagia lusoria from an aberrant right subclavian artery. The difficulty in making a diagnosis and the need for a multidisciplinary review of the imaging investigations are highlighted. The patient was successfully treated by a combined trans-thoracic and cervical approach with division and re-implantation of the aberrant vessel unto the right common carotid artery. He has remained symptom-free for 2 years after surgery. Although the great majority of these anomalies are often asymptomatic, it is important they are borne in mind both in imaging investigations as well as in procedures involving structures in the upper visceral mediastinum. Various surgical approaches have been documented in the management of symptomatic ones; it is however recommended that options that ensure revascularization of the affected limb be selected.</p>","PeriodicalId":17320,"journal":{"name":"Journal of the Geological Society","volume":"164 1","pages":"183"},"PeriodicalIF":3.0000,"publicationDate":"2023-08-25","publicationTypes":"Journal Article","fieldsOfStudy":null,"isOpenAccess":false,"openAccessPdf":"https://www.ncbi.nlm.nih.gov/pmc/articles/PMC10656587/pdf/","citationCount":"0","resultStr":null,"platform":"Semanticscholar","paperid":null,"PeriodicalName":"Journal of the Geological Society","FirstCategoryId":"1085","ListUrlMain":"https://doi.org/10.11604/pamj.2023.45.183.38569","RegionNum":3,"RegionCategory":"地球科学","ArticlePicture":[],"TitleCN":null,"AbstractTextCN":null,"PMCID":null,"EPubDate":"2023/1/1 0:00:00","PubModel":"eCollection","JCR":"Q2","JCRName":"GEOSCIENCES, MULTIDISCIPLINARY","Score":null,"Total":0}
引用次数: 0

Abstract

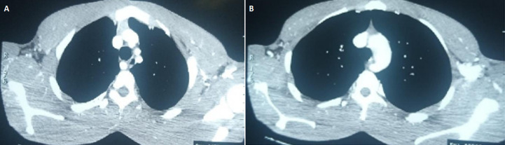
Anomalies of the arterial branches of the arch of the aorta are rare, with the aberrant right subclavian artery being the most common of this anomaly. Majority of the anomalies are asymptomatic and often discovered as incidental findings. In the great majority of the symptomatic cases, the presentation may be either with breathlessness or dysphagia or both. This is in addition to the nature of the intrinsic arterial disease of the aberrant vessel, especially in adult patients; and unless borne in mind, the diagnosis is often missed leading to delays and wrong treatment. In this report we present a case of dysphagia in an adult male Nigerian initially diagnosed as œsophageal stricture from herbal potion ingestion but review of his imaging investigations gave a final diagnosis of dysphagia lusoria from an aberrant right subclavian artery. The difficulty in making a diagnosis and the need for a multidisciplinary review of the imaging investigations are highlighted. The patient was successfully treated by a combined trans-thoracic and cervical approach with division and re-implantation of the aberrant vessel unto the right common carotid artery. He has remained symptom-free for 2 years after surgery. Although the great majority of these anomalies are often asymptomatic, it is important they are borne in mind both in imaging investigations as well as in procedures involving structures in the upper visceral mediastinum. Various surgical approaches have been documented in the management of symptomatic ones; it is however recommended that options that ensure revascularization of the affected limb be selected.

Abstract Image

Abstract Image

Abstract Image

成人主动脉弓血管环不完整伴吞咽困难一例报告。
主动脉弓动脉分支的异常是罕见的,异常的右锁骨下动脉是最常见的这种异常。大多数异常是无症状的,通常是偶然发现的。在绝大多数有症状的病例中,表现可能是呼吸困难或吞咽困难,或两者兼而有之。这是除了异常血管的固有动脉疾病的性质之外,特别是在成人患者中;除非牢记在心,否则往往会错过诊断,导致延误和错误的治疗。在这个报告中,我们提出一个尼日利亚成年男性吞咽困难的病例,最初诊断为œsophageal狭窄,从草药饮料摄入,但回顾他的影像学调查给出了最终诊断为吞咽困难,从一个异常的右锁骨下动脉。在作出诊断的困难和需要多学科审查的影像学调查突出。经胸颈联合入路将畸形血管分离并重新植入右颈总动脉,成功治疗患者。术后2年无症状。尽管绝大多数这些异常通常是无症状的,但重要的是在影像学检查以及涉及上内脏纵隔结构的手术中都要记住它们。各种手术方法已被记录在案的管理症状;然而,建议选择能够确保患肢血运重建的方案。
本文章由计算机程序翻译,如有差异,请以英文原文为准。
求助全文
约1分钟内获得全文 求助全文
来源期刊
Journal of the Geological Society
Journal of the Geological Society 地学-地球科学综合
CiteScore
6.00
自引率
3.70%
发文量
68
审稿时长
6-12 weeks
期刊介绍: Journal of the Geological Society (JGS) is owned and published by the Geological Society of London. JGS publishes topical, high-quality recent research across the full range of Earth Sciences. Papers are interdisciplinary in nature and emphasize the development of an understanding of fundamental geological processes. Broad interest articles that refer to regional studies, but which extend beyond their geographical context are also welcomed. Each year JGS presents the ‘JGS Early Career Award'' for papers published in the journal, which rewards the writing of well-written, exciting papers from early career geologists. The journal publishes research and invited review articles, discussion papers and thematic sets.
×
引用
GB/T 7714-2015
复制
MLA
复制
APA
复制
导出至
BibTeX EndNote RefMan NoteFirst NoteExpress
×
提示
您的信息不完整,为了账户安全,请先补充。
现在去补充
×
提示
您因"违规操作"
具体请查看互助需知
我知道了
×
提示
确定
请完成安全验证×
copy
已复制链接
快去分享给好友吧!
我知道了
右上角分享
点击右上角分享
0
联系我们:info@booksci.cn Book学术提供免费学术资源搜索服务,方便国内外学者检索中英文文献。致力于提供最便捷和优质的服务体验。 Copyright © 2023 布克学术 All rights reserved.
京ICP备2023020795号-1
ghs 京公网安备 11010802042870号
Book学术文献互助
Book学术文献互助群
群 号:604180095
Book学术官方微信