Prenatal hydrometrocolpos as an unusual finding in Fraser syndrome. Case report.

IF 0.2 Q4 OBSTETRICS & GYNECOLOGY
Case Reports in Perinatal Medicine Pub Date : 2023-03-10 eCollection Date: 2023-01-01 DOI:10.1515/crpm-2022-0038
Isabella Dávila Neri, Adriana Patricia Farias Vela, Rafael Leonardo Aragón Mendoza, Roberto Gallo Roa, Giovanni Carlo Russo Vizcaino
{"title":"Prenatal hydrometrocolpos as an unusual finding in Fraser syndrome. Case report.","authors":"Isabella Dávila Neri, Adriana Patricia Farias Vela, Rafael Leonardo Aragón Mendoza, Roberto Gallo Roa, Giovanni Carlo Russo Vizcaino","doi":"10.1515/crpm-2022-0038","DOIUrl":null,"url":null,"abstract":"<p><strong>Objectives: </strong>Fraser syndrome is a rare congenital malformation characterized by cryptophthalmos, syndactyly and urogenital tract malformations. The association with hydrometrocolpos is infrequent, with only a few cases reported in the literature.</p><p><strong>Case presentation: </strong>A 19-year-old primigravida presenting at 35 weeks of gestation, with prenatal finding of hydrometrocolpos associated with hypotelorism and microphthalmia. Pre-term cesarean delivery was performed due to breech labor and perinatal death. The autopsy confirmed hydrometrocolpos secondary to vaginal atresia and imperforate hymen, associated with cryptophthalmos, syndactyly, nasal and pinna malformations, confirming the diagnosis of Fraser syndrome.</p><p><strong>Conclusions: </strong>Fraser syndrome is usually a postnatal diagnosis. The association with genital abnormalities explains the finding of hydrometrocolpos, which could be considered a diagnostic criterion for this syndrome.</p>","PeriodicalId":9617,"journal":{"name":"Case Reports in Perinatal Medicine","volume":"71 1","pages":"20220038"},"PeriodicalIF":0.2000,"publicationDate":"2023-03-10","publicationTypes":"Journal Article","fieldsOfStudy":null,"isOpenAccess":false,"openAccessPdf":"https://www.ncbi.nlm.nih.gov/pmc/articles/PMC11616538/pdf/","citationCount":"0","resultStr":null,"platform":"Semanticscholar","paperid":null,"PeriodicalName":"Case Reports in Perinatal Medicine","FirstCategoryId":"1085","ListUrlMain":"https://doi.org/10.1515/crpm-2022-0038","RegionNum":0,"RegionCategory":null,"ArticlePicture":[],"TitleCN":null,"AbstractTextCN":null,"PMCID":null,"EPubDate":"2023/1/1 0:00:00","PubModel":"eCollection","JCR":"Q4","JCRName":"OBSTETRICS & GYNECOLOGY","Score":null,"Total":0}
引用次数: 0

Abstract

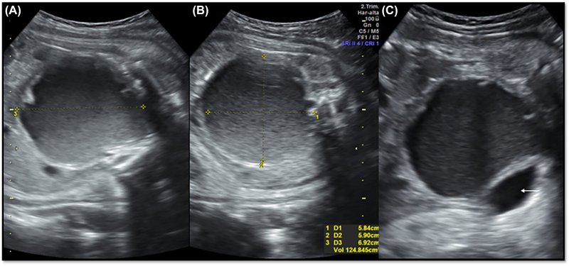
Objectives: Fraser syndrome is a rare congenital malformation characterized by cryptophthalmos, syndactyly and urogenital tract malformations. The association with hydrometrocolpos is infrequent, with only a few cases reported in the literature.

Case presentation: A 19-year-old primigravida presenting at 35 weeks of gestation, with prenatal finding of hydrometrocolpos associated with hypotelorism and microphthalmia. Pre-term cesarean delivery was performed due to breech labor and perinatal death. The autopsy confirmed hydrometrocolpos secondary to vaginal atresia and imperforate hymen, associated with cryptophthalmos, syndactyly, nasal and pinna malformations, confirming the diagnosis of Fraser syndrome.

Conclusions: Fraser syndrome is usually a postnatal diagnosis. The association with genital abnormalities explains the finding of hydrometrocolpos, which could be considered a diagnostic criterion for this syndrome.

Abstract Image

Abstract Image

Abstract Image

产前水性结肠是弗雷泽综合征中一种不寻常的发现。病例报告。
目的:弗雷泽综合征是一种罕见的先天性畸形,以隐眼、并指和泌尿生殖道畸形为特征。与水性结肠的关联并不常见,文献中只有少数病例报道。病例介绍:一名19岁的初产妇在妊娠35周时出现,产前发现有瞳孔过浅和小眼。由于臀位分娩和围产期死亡,进行了早产剖宫产。尸检证实继发于阴道闭锁和处女膜闭锁的阴道积水,并伴有隐眼、并指、鼻和耳廓畸形,证实了弗雷泽综合征的诊断。结论:弗雷泽综合征通常是产后诊断。与生殖器异常的关联解释了水性阴囊的发现,这可以被认为是该综合征的诊断标准。
本文章由计算机程序翻译,如有差异,请以英文原文为准。
求助全文
约1分钟内获得全文 求助全文
来源期刊
Case Reports in Perinatal Medicine
Case Reports in Perinatal Medicine OBSTETRICS & GYNECOLOGY-
自引率
0.00%
发文量
37
期刊介绍: Case Reports in Perinatal Medicine is a double-blind peer-reviewed journal. The objective of the new journal is very similar to that of JPM. In addition to evidence-based studies, practitioners in clinical practice esteem especially exemplary reports of cases that reveal specific manifestations of diseases, its progress or its treatment. We consider case reports and series to be brief reports describing an isolated clinical case or a small number of cases. They may describe new or uncommon diagnoses, unusual outcomes or prognosis, new or infrequently used therapies and side effects of therapy not usually discovered in clinical trials. They represent the basic concept of experiences for studies on representative groups for further evidence-based research. The potential roles of case reports and case series are: Recognition and description of new diseases Detection of drug side effects (adverse or beneficial) Study of mechanisms of disease Medical education and audit Recognition of rare manifestations of disease.
×
引用
GB/T 7714-2015
复制
MLA
复制
APA
复制
导出至
BibTeX EndNote RefMan NoteFirst NoteExpress
×
提示
您的信息不完整,为了账户安全,请先补充。
现在去补充
×
提示
您因"违规操作"
具体请查看互助需知
我知道了
×
提示
确定
请完成安全验证×
copy
已复制链接
快去分享给好友吧!
我知道了
右上角分享
点击右上角分享
0
联系我们:info@booksci.cn Book学术提供免费学术资源搜索服务,方便国内外学者检索中英文文献。致力于提供最便捷和优质的服务体验。 Copyright © 2023 布克学术 All rights reserved.
京ICP备2023020795号-1
ghs 京公网安备 11010802042870号
Book学术文献互助
Book学术文献互助群
群 号:604180095
Book学术官方微信