Paracentral Acute Middle Maculopathy and Central Retinal Venous Occlusion following Electrical Injury.

IF 0.9 4区 历史学 0 ARCHAEOLOGY
Public Archaeology Pub Date : 2022-04-16 eCollection Date: 2022-01-01 DOI:10.1155/2022/3699667
Sahel Khazaei, Mehrdad Motamed Shariati, Naser Shoeibi, Mohammad Arjmand, Seyedeh Maryam Hosseini
{"title":"Paracentral Acute Middle Maculopathy and Central Retinal Venous Occlusion following Electrical Injury.","authors":"Sahel Khazaei, Mehrdad Motamed Shariati, Naser Shoeibi, Mohammad Arjmand, Seyedeh Maryam Hosseini","doi":"10.1155/2022/3699667","DOIUrl":null,"url":null,"abstract":"<p><strong>Purpose: </strong>To report a case of central retinal vein occlusion (CRVO) and paracentral acute middle maculopathy (PAMM) following electric shock injury. <i>Case Description</i>. A 45-year-old male presented with a significant painless decreased vision in the right eye following an electrical injury of the right hand in his workplace. The best-corrected visual acuity (BCVA) of the right eye was 20/40. Funduscopic examination of the right eye revealed diffuse superficial and deep intraretinal hemorrhages, mild venous tortuosity, and an area of the pale retina. Optical coherence tomography (OCT) demonstrated hyperreflective band-like lesions in the middle retinal layers. Patchy areas of vascular flow void in deep capillary plexus seen in OCT angiography of the right eye were compatible with PAMM. Fluorescein angiography of the right eye was indicative of delayed venous filling suggestive of CRVO. The left eye was completely normal on exam and imaging.</p><p><strong>Conclusion: </strong>This report illustrates the occurrence of CRVO associated with PAMM following electric shock injury. Electrical injury leads to a wide range of retinal manifestations. Clinicians need to pay attention to any hyperreflectivity and thinning of middle retinal layers in OCT in cases with the presentation of sudden visual loss following electrical injuries.</p>","PeriodicalId":45023,"journal":{"name":"Public Archaeology","volume":"16 1","pages":"3699667"},"PeriodicalIF":0.9000,"publicationDate":"2022-04-16","publicationTypes":"Journal Article","fieldsOfStudy":null,"isOpenAccess":false,"openAccessPdf":"https://www.ncbi.nlm.nih.gov/pmc/articles/PMC9034943/pdf/","citationCount":"0","resultStr":null,"platform":"Semanticscholar","paperid":null,"PeriodicalName":"Public Archaeology","FirstCategoryId":"1085","ListUrlMain":"https://doi.org/10.1155/2022/3699667","RegionNum":4,"RegionCategory":"历史学","ArticlePicture":[],"TitleCN":null,"AbstractTextCN":null,"PMCID":null,"EPubDate":"2022/1/1 0:00:00","PubModel":"eCollection","JCR":"0","JCRName":"ARCHAEOLOGY","Score":null,"Total":0}
引用次数: 0

Abstract

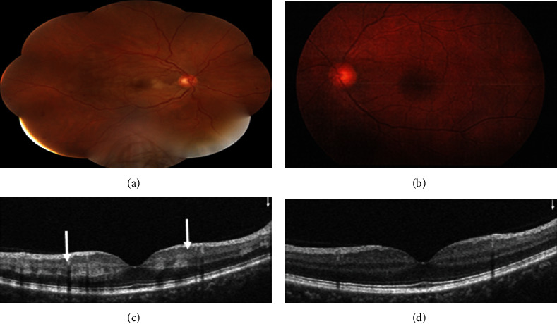
Purpose: To report a case of central retinal vein occlusion (CRVO) and paracentral acute middle maculopathy (PAMM) following electric shock injury. Case Description. A 45-year-old male presented with a significant painless decreased vision in the right eye following an electrical injury of the right hand in his workplace. The best-corrected visual acuity (BCVA) of the right eye was 20/40. Funduscopic examination of the right eye revealed diffuse superficial and deep intraretinal hemorrhages, mild venous tortuosity, and an area of the pale retina. Optical coherence tomography (OCT) demonstrated hyperreflective band-like lesions in the middle retinal layers. Patchy areas of vascular flow void in deep capillary plexus seen in OCT angiography of the right eye were compatible with PAMM. Fluorescein angiography of the right eye was indicative of delayed venous filling suggestive of CRVO. The left eye was completely normal on exam and imaging.

Conclusion: This report illustrates the occurrence of CRVO associated with PAMM following electric shock injury. Electrical injury leads to a wide range of retinal manifestations. Clinicians need to pay attention to any hyperreflectivity and thinning of middle retinal layers in OCT in cases with the presentation of sudden visual loss following electrical injuries.

Abstract Image

Abstract Image

Abstract Image

电损伤后的旁中心急性中间黄斑病变和视网膜中央静脉闭塞。
目的: 报告一例电击伤后视网膜中央静脉闭塞(CRVO)和旁中心急性中间黄斑病变(PAMM)病例。病例描述。一名 45 岁的男性在工作场所右手被电击伤后,右眼出现明显的无痛性视力下降。右眼最佳矫正视力(BCVA)为 20/40。右眼眼底检查发现弥漫性浅层和深层视网膜内出血、轻度静脉迂曲和视网膜苍白区域。光学相干断层扫描(OCT)显示视网膜中层有高反射带状病变。右眼的光学相干断层扫描血管造影显示深层毛细血管丛中有斑块状的血管流动空洞区域,这与 PAMM 相吻合。右眼荧光素血管造影显示延迟性静脉充盈,提示 CRVO。左眼的检查和成像完全正常:本报告说明了电击伤后与 PAMM 相关的 CRVO 的发生。电击伤会导致多种视网膜表现。临床医生需要注意电击伤后突然视力丧失的病例在 OCT 中视网膜中层是否出现高反射和变薄。
本文章由计算机程序翻译,如有差异,请以英文原文为准。
求助全文
约1分钟内获得全文 求助全文
来源期刊
Public Archaeology
Public Archaeology ARCHAEOLOGY-
CiteScore
2.70
自引率
0.00%
发文量
0
×
引用
GB/T 7714-2015
复制
MLA
复制
APA
复制
导出至
BibTeX EndNote RefMan NoteFirst NoteExpress
×
提示
您的信息不完整,为了账户安全,请先补充。
现在去补充
×
提示
您因"违规操作"
具体请查看互助需知
我知道了
×
提示
确定
请完成安全验证×
copy
已复制链接
快去分享给好友吧!
我知道了
右上角分享
点击右上角分享
0
联系我们:info@booksci.cn Book学术提供免费学术资源搜索服务,方便国内外学者检索中英文文献。致力于提供最便捷和优质的服务体验。 Copyright © 2023 布克学术 All rights reserved.
京ICP备2023020795号-1
ghs 京公网安备 11010802042870号
Book学术文献互助
Book学术文献互助群
群 号:604180095
Book学术官方微信