Interlaboratory comparison of an intestinal triple culture to confirm transferability and reproducibility.

IF 2.4
In vitro models Pub Date : 2022-06-13 eCollection Date: 2023-08-01 DOI:10.1007/s44164-022-00025-w
Angela A M Kämpfer, Ume-Kulsoom Shah, Shui L Chu, Mathias Busch, Veronika Büttner, Ruiwen He, Barbara Rothen-Rutishauser, Roel P F Schins, Gareth J Jenkins
{"title":"Interlaboratory comparison of an intestinal triple culture to confirm transferability and reproducibility.","authors":"Angela A M Kämpfer, Ume-Kulsoom Shah, Shui L Chu, Mathias Busch, Veronika Büttner, Ruiwen He, Barbara Rothen-Rutishauser, Roel P F Schins, Gareth J Jenkins","doi":"10.1007/s44164-022-00025-w","DOIUrl":null,"url":null,"abstract":"<p><p>The development and improvement of advanced intestinal in vitro models has received increasing attention in recent years. While the availability of relevant in vitro models is pivotal to advance the replacement and reduction of animal use in research, their robustness is a crucial determinant for intra- and interlaboratory reproducibility. We have developed a standard protocol to build a triple culture model combining two types of human intestinal epithelial cells (Caco-2, HT29-MTX-E12) and macrophages (THP-1), which was tested for transferability and reproducibility between three laboratories. The epithelial tissue barrier development and triple culture stability were investigated as well as the models' responses to the non-steroidal anti-inflammatory drug diclofenac in terms of barrier integrity, cytotoxicity, and cytokine release. The results of two partner laboratories were compared to previously established benchmark results and quality criteria. For the epithelial co-cultures, the results were overall highly comparable between the laboratories. The addition of THP-1 cells resulted in increased variability and reduced reproducibility. While good correlation was achieved in several endpoints, others showed substantial response differences between the laboratories. Some variations may be addressed with training or demonstrations, whereas others might be related to fundamental differences in the cell lines introduced during routine cell culture and maintenance. Our results underline the importance of interlaboratory transfer studies using standardised experimental procedures, including defined quality criteria and benchmarks, as well as of training when newly establishing complex in vitro models in laboratories.</p><p><strong>Supplementary information: </strong>The online version contains supplementary material available at 10.1007/s44164-022-00025-w.</p>","PeriodicalId":73357,"journal":{"name":"In vitro models","volume":"89 1","pages":"89-97"},"PeriodicalIF":2.4000,"publicationDate":"2022-06-13","publicationTypes":"Journal Article","fieldsOfStudy":null,"isOpenAccess":false,"openAccessPdf":"https://www.ncbi.nlm.nih.gov/pmc/articles/PMC11756443/pdf/","citationCount":"0","resultStr":null,"platform":"Semanticscholar","paperid":null,"PeriodicalName":"In vitro models","FirstCategoryId":"1085","ListUrlMain":"https://doi.org/10.1007/s44164-022-00025-w","RegionNum":0,"RegionCategory":null,"ArticlePicture":[],"TitleCN":null,"AbstractTextCN":null,"PMCID":null,"EPubDate":"2023/8/1 0:00:00","PubModel":"eCollection","JCR":"","JCRName":"","Score":null,"Total":0}
引用次数: 0

Abstract

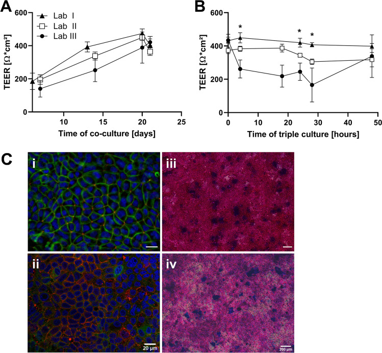
The development and improvement of advanced intestinal in vitro models has received increasing attention in recent years. While the availability of relevant in vitro models is pivotal to advance the replacement and reduction of animal use in research, their robustness is a crucial determinant for intra- and interlaboratory reproducibility. We have developed a standard protocol to build a triple culture model combining two types of human intestinal epithelial cells (Caco-2, HT29-MTX-E12) and macrophages (THP-1), which was tested for transferability and reproducibility between three laboratories. The epithelial tissue barrier development and triple culture stability were investigated as well as the models' responses to the non-steroidal anti-inflammatory drug diclofenac in terms of barrier integrity, cytotoxicity, and cytokine release. The results of two partner laboratories were compared to previously established benchmark results and quality criteria. For the epithelial co-cultures, the results were overall highly comparable between the laboratories. The addition of THP-1 cells resulted in increased variability and reduced reproducibility. While good correlation was achieved in several endpoints, others showed substantial response differences between the laboratories. Some variations may be addressed with training or demonstrations, whereas others might be related to fundamental differences in the cell lines introduced during routine cell culture and maintenance. Our results underline the importance of interlaboratory transfer studies using standardised experimental procedures, including defined quality criteria and benchmarks, as well as of training when newly establishing complex in vitro models in laboratories.

Supplementary information: The online version contains supplementary material available at 10.1007/s44164-022-00025-w.

Abstract Image

Abstract Image

Abstract Image

肠道三重培养的实验室间比较,以确认可转移性和可重复性。
近年来,先进肠道体外模型的开发和改进越来越受到人们的关注。虽然相关体外模型的可用性对于促进研究中动物使用的替代和减少至关重要,但它们的稳健性是实验室内和实验室间可重复性的关键决定因素。我们制定了一套标准方案,建立了两种类型的人肠上皮细胞(Caco-2、HT29-MTX-E12)和巨噬细胞(THP-1)的三重培养模型,并在三个实验室之间测试了该模型的可转移性和可重复性。研究了上皮组织屏障发育和三重培养稳定性,以及非甾体抗炎药双氯芬酸对模型屏障完整性、细胞毒性和细胞因子释放的反应。将两个合作实验室的结果与先前建立的基准结果和质量标准进行比较。对于上皮共培养,结果在实验室之间总体上具有高度可比性。THP-1细胞的加入导致变异性增加,可重复性降低。虽然在几个终点中取得了良好的相关性,但其他终点在实验室之间显示出实质性的反应差异。有些变异可以通过培训或演示来解决,而其他变异可能与常规细胞培养和维持过程中引入的细胞系的根本差异有关。我们的结果强调了使用标准化实验程序进行实验室间转移研究的重要性,包括定义的质量标准和基准,以及在实验室中新建立复杂的体外模型时的培训。补充信息:在线版本包含补充资料,提供地址:10.1007/s44164-022-00025-w。
本文章由计算机程序翻译,如有差异,请以英文原文为准。
求助全文
约1分钟内获得全文 求助全文
来源期刊
自引率
0.00%
发文量
0
×
引用
GB/T 7714-2015
复制
MLA
复制
APA
复制
导出至
BibTeX EndNote RefMan NoteFirst NoteExpress
×
提示
您的信息不完整,为了账户安全,请先补充。
现在去补充
×
提示
您因"违规操作"
具体请查看互助需知
我知道了
×
提示
确定
请完成安全验证×
copy
已复制链接
快去分享给好友吧!
我知道了
右上角分享
点击右上角分享
0
联系我们:info@booksci.cn Book学术提供免费学术资源搜索服务,方便国内外学者检索中英文文献。致力于提供最便捷和优质的服务体验。 Copyright © 2023 布克学术 All rights reserved.
京ICP备2023020795号-1
ghs 京公网安备 11010802042870号
Book学术文献互助
Book学术文献互助群
群 号:604180095
Book学术官方微信