Leukocytoclastic Vasculitis in an Adolescent with New-Onset Crohn's Disease.

IF 5.1 2区 管理学 Q1 POLITICAL SCIENCE
Public Administration Pub Date : 2023-08-28 eCollection Date: 2023-11-01 DOI:10.1097/PG9.0000000000000359
Aldo Majluta Yeb, Evelina Dedic, Braden Olsen, Carole Brathwaite, Roberto Gomara, Erick Hernandez
{"title":"Leukocytoclastic Vasculitis in an Adolescent with New-Onset Crohn's Disease.","authors":"Aldo Majluta Yeb, Evelina Dedic, Braden Olsen, Carole Brathwaite, Roberto Gomara, Erick Hernandez","doi":"10.1097/PG9.0000000000000359","DOIUrl":null,"url":null,"abstract":"<p><p>Extraintestinal manifestations frequently affect patients with inflammatory bowel disease. They can involve virtually any organ, with the musculoskeletal and integumentary systems being the most common. Leukocytoclastic vasculitis is a rare extraintestinal manifestation of inflammatory bowel disease, especially at disease onset. It has been reported to occur in association with Crohn's disease and trimethoprim/sulfamethoxazole (TMP-SMX) exposure independently. We report a case of a 14-year-old female who developed leukocytoclastic vasculitis after exposure to TMP-SMX and was ultimately diagnosed with Crohn's disease. The patient presented with purpura, oral ulcers, abdominal pain, and intermittent bloody stools. Colonoscopy showed colonic inflammation, and biopsies revealed severe chronic active colitis with crypt abscesses. A skin biopsy confirmed the diagnosis of leukocytoclastic vasculitis. Management consisted of high-dose steroids and infliximab, with resolutions of her symptoms. This case emphasizes that extraintestinal manifestations are multifactorial in nature, with the example of an existing genetic predisposition through Crohn's disease and a triggering factor such as TMP-SMX.</p>","PeriodicalId":48284,"journal":{"name":"Public Administration","volume":"45 1","pages":"e359"},"PeriodicalIF":5.1000,"publicationDate":"2023-08-28","publicationTypes":"Journal Article","fieldsOfStudy":null,"isOpenAccess":false,"openAccessPdf":"https://www.ncbi.nlm.nih.gov/pmc/articles/PMC10684162/pdf/","citationCount":"0","resultStr":null,"platform":"Semanticscholar","paperid":null,"PeriodicalName":"Public Administration","FirstCategoryId":"1085","ListUrlMain":"https://doi.org/10.1097/PG9.0000000000000359","RegionNum":2,"RegionCategory":"管理学","ArticlePicture":[],"TitleCN":null,"AbstractTextCN":null,"PMCID":null,"EPubDate":"2023/11/1 0:00:00","PubModel":"eCollection","JCR":"Q1","JCRName":"POLITICAL SCIENCE","Score":null,"Total":0}
引用次数: 0

Abstract

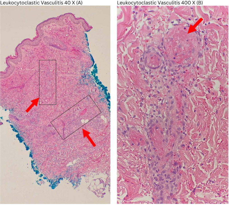
Extraintestinal manifestations frequently affect patients with inflammatory bowel disease. They can involve virtually any organ, with the musculoskeletal and integumentary systems being the most common. Leukocytoclastic vasculitis is a rare extraintestinal manifestation of inflammatory bowel disease, especially at disease onset. It has been reported to occur in association with Crohn's disease and trimethoprim/sulfamethoxazole (TMP-SMX) exposure independently. We report a case of a 14-year-old female who developed leukocytoclastic vasculitis after exposure to TMP-SMX and was ultimately diagnosed with Crohn's disease. The patient presented with purpura, oral ulcers, abdominal pain, and intermittent bloody stools. Colonoscopy showed colonic inflammation, and biopsies revealed severe chronic active colitis with crypt abscesses. A skin biopsy confirmed the diagnosis of leukocytoclastic vasculitis. Management consisted of high-dose steroids and infliximab, with resolutions of her symptoms. This case emphasizes that extraintestinal manifestations are multifactorial in nature, with the example of an existing genetic predisposition through Crohn's disease and a triggering factor such as TMP-SMX.

Abstract Image

Abstract Image

Abstract Image

青少年新发克罗恩病伴白细胞破溃性血管炎1例
肠外表现常影响炎症性肠病患者。它们几乎可以涉及任何器官,肌肉骨骼和皮肤系统是最常见的。白细胞分裂性血管炎是一种罕见的肠外表现的炎症性肠病,特别是在疾病的发病。据报道,它与克罗恩病和甲氧苄啶/磺胺甲恶唑(TMP-SMX)暴露独立相关。我们报告一例14岁的女性谁发展白细胞破碎性血管炎后暴露于TMP-SMX和最终被诊断为克罗恩病。患者表现为紫癜、口腔溃疡、腹痛和间歇性便血。结肠镜检查显示结肠炎症,活检显示严重的慢性活动性结肠炎伴隐窝脓肿。皮肤活检证实诊断为白细胞破裂性血管炎。治疗包括大剂量类固醇和英夫利昔单抗,症状得到缓解。本病例强调肠外表现本质上是多因素的,例如通过克罗恩病存在遗传易感性和触发因素如TMP-SMX。
本文章由计算机程序翻译,如有差异,请以英文原文为准。
求助全文
约1分钟内获得全文 求助全文
来源期刊
CiteScore
7.80
自引率
17.10%
发文量
75
期刊介绍: Public Administration is a major refereed journal with global circulation and global coverage. The journal publishes articles on public administration, public policy and public management. The journal"s reach is both inclusive and international and much of the work published is comparative in nature. A high percentage of articles are sourced from the enlarging Europe and cover all aspects of West and East European public administration.
×
引用
GB/T 7714-2015
复制
MLA
复制
APA
复制
导出至
BibTeX EndNote RefMan NoteFirst NoteExpress
×
提示
您的信息不完整,为了账户安全,请先补充。
现在去补充
×
提示
您因"违规操作"
具体请查看互助需知
我知道了
×
提示
确定
请完成安全验证×
copy
已复制链接
快去分享给好友吧!
我知道了
右上角分享
点击右上角分享
0
联系我们:info@booksci.cn Book学术提供免费学术资源搜索服务,方便国内外学者检索中英文文献。致力于提供最便捷和优质的服务体验。 Copyright © 2023 布克学术 All rights reserved.
京ICP备2023020795号-1
ghs 京公网安备 11010802042870号
Book学术文献互助
Book学术文献互助群
群 号:604180095
Book学术官方微信