Small Bowel Villous Atrophy in a Young Patient: A Challenging Diagnosis.

IF 2.2 Q2 BUSINESS, FINANCE
Managerial Finance Pub Date : 2023-08-10 eCollection Date: 2024-06-01 DOI:10.1159/000531396
João Correia, Andreia Freitas, António Marinho, Ana Ponte, Edgar Afecto, Manuela Estevinho
{"title":"Small Bowel Villous Atrophy in a Young Patient: A Challenging Diagnosis.","authors":"João Correia, Andreia Freitas, António Marinho, Ana Ponte, Edgar Afecto, Manuela Estevinho","doi":"10.1159/000531396","DOIUrl":null,"url":null,"abstract":"<p><p>Common variable immunodeficiency enteropathy is a sprue-like disease, which may manifest as a severe malabsorption syndrome with nutritional deficits and cachexia. The authors report a case of a 33-year-old Afghan man, who presented to the emergency department due to chronic watery diarrhea and severe malnourishment. He had been previously misdiagnosed with celiac disease in his early adulthood; however, this was based on inconclusive findings. After a thorough diagnostic workup, the final diagnosis of common variable immunodeficiency enteropathy with symptomatic <i>norovirus</i> infection of the gut was obtained during his prolonged hospitalization. A slow but progressive improvement was observed with immunoglobulin replacement therapy, corticotherapy, and ribavirin treatment. This is a noteworthy case of a rare malabsorption disorder, and it reviews important aspects concerning the differential diagnosis of small bowel villous atrophy of unknown etiology, as well as gastrointestinal manifestations of common variable immunodeficiency disorder.</p>","PeriodicalId":18140,"journal":{"name":"Managerial Finance","volume":"21 1","pages":"196-202"},"PeriodicalIF":2.2000,"publicationDate":"2023-08-10","publicationTypes":"Journal Article","fieldsOfStudy":null,"isOpenAccess":false,"openAccessPdf":"https://www.ncbi.nlm.nih.gov/pmc/articles/PMC11149996/pdf/","citationCount":"0","resultStr":null,"platform":"Semanticscholar","paperid":null,"PeriodicalName":"Managerial Finance","FirstCategoryId":"1085","ListUrlMain":"https://doi.org/10.1159/000531396","RegionNum":0,"RegionCategory":null,"ArticlePicture":[],"TitleCN":null,"AbstractTextCN":null,"PMCID":null,"EPubDate":"2024/6/1 0:00:00","PubModel":"eCollection","JCR":"Q2","JCRName":"BUSINESS, FINANCE","Score":null,"Total":0}
引用次数: 0

Abstract

Common variable immunodeficiency enteropathy is a sprue-like disease, which may manifest as a severe malabsorption syndrome with nutritional deficits and cachexia. The authors report a case of a 33-year-old Afghan man, who presented to the emergency department due to chronic watery diarrhea and severe malnourishment. He had been previously misdiagnosed with celiac disease in his early adulthood; however, this was based on inconclusive findings. After a thorough diagnostic workup, the final diagnosis of common variable immunodeficiency enteropathy with symptomatic norovirus infection of the gut was obtained during his prolonged hospitalization. A slow but progressive improvement was observed with immunoglobulin replacement therapy, corticotherapy, and ribavirin treatment. This is a noteworthy case of a rare malabsorption disorder, and it reviews important aspects concerning the differential diagnosis of small bowel villous atrophy of unknown etiology, as well as gastrointestinal manifestations of common variable immunodeficiency disorder.

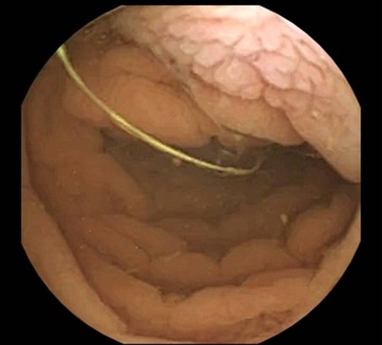
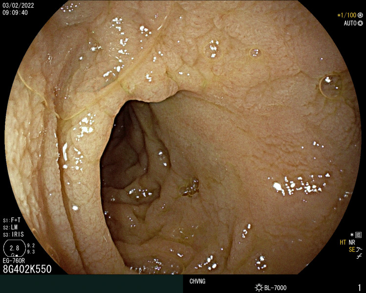
Abstract Image

Abstract Image

Abstract Image

年轻患者的小肠绒毛萎缩:具有挑战性的诊断
常见变异性免疫缺陷肠病是一种芽胞样疾病,可表现为严重的吸收不良综合征,伴有营养缺乏和恶病质。作者报告了一例 33 岁的阿富汗男子因长期水样腹泻和严重营养不良而到急诊科就诊的病例。他在成年早期曾被误诊为乳糜泻,但当时的诊断结果并不确定。经过全面诊断,在他长期住院期间,最终确诊为常见变异性免疫缺陷肠病,并伴有无症状的诺如病毒感染肠道。经过免疫球蛋白替代疗法、皮质激素疗法和利巴韦林治疗后,病情得到了缓慢但渐进的改善。这是一个值得注意的罕见吸收障碍病例,它回顾了病因不明的小肠绒毛萎缩以及常见变异性免疫缺陷病的胃肠道表现的鉴别诊断的重要方面。
本文章由计算机程序翻译,如有差异,请以英文原文为准。
求助全文
约1分钟内获得全文 求助全文
来源期刊
Managerial Finance
Managerial Finance BUSINESS, FINANCE-
CiteScore
3.30
自引率
12.50%
发文量
103
期刊介绍: Managerial Finance provides an international forum for the publication of high quality and topical research in the area of finance, such as corporate finance, financial management, financial markets and institutions, international finance, banking, insurance and risk management, real estate and financial education. Theoretical and empirical research is welcome as well as cross-disciplinary work, such as papers investigating the relationship of finance with other sectors.
×
引用
GB/T 7714-2015
复制
MLA
复制
APA
复制
导出至
BibTeX EndNote RefMan NoteFirst NoteExpress
×
提示
您的信息不完整,为了账户安全,请先补充。
现在去补充
×
提示
您因"违规操作"
具体请查看互助需知
我知道了
×
提示
确定
请完成安全验证×
copy
已复制链接
快去分享给好友吧!
我知道了
右上角分享
点击右上角分享
0
联系我们:info@booksci.cn Book学术提供免费学术资源搜索服务,方便国内外学者检索中英文文献。致力于提供最便捷和优质的服务体验。 Copyright © 2023 布克学术 All rights reserved.
京ICP备2023020795号-1
ghs 京公网安备 11010802042870号
Book学术文献互助
Book学术文献互助群
群 号:604180095
Book学术官方微信