Relationship between chronic kidney disease and cerebral white matter hyperintensities: a systematic review.

IF 5.3 2区 物理与天体物理 Q1 ASTRONOMY & ASTROPHYSICS
Physical Review D Pub Date : 2023-11-01 Epub Date: 2023-01-02 DOI:10.21037/qims-22-707
Federico Greco, Luigi Giuseppe Quarta, Paul M Parizel, Bruno Beomonte Zobel, Carlo Cosimo Quattrocchi, Carlo Augusto Mallio
{"title":"Relationship between chronic kidney disease and cerebral white matter hyperintensities: a systematic review.","authors":"Federico Greco, Luigi Giuseppe Quarta, Paul M Parizel, Bruno Beomonte Zobel, Carlo Cosimo Quattrocchi, Carlo Augusto Mallio","doi":"10.21037/qims-22-707","DOIUrl":null,"url":null,"abstract":"<p><strong>Background: </strong>This systematic review summarizes available evidence on the relationship between white matter hyperintensities (WMH) volumetric quantification on brain MRI scans and chronic kidney disease (CKD).</p><p><strong>Methods: </strong>The literature search was performed in March 2022 using MEDLINE PubMed Central, Scopus and Web of Science - Publons as search engines. Relevant articles investigating, with a quantitative volumetric approach, the link between WMH and CKD patients were selected.</p><p><strong>Results: </strong>The database search strategy found 987 articles, after excluding duplicates, the titles and abstracts of the remaining 320 articles were examined. Subsequently 276 articles were excluded as they were not relevant to the topic. Of the 44 articles evaluated for eligibility, 36 were excluded because the quantitative analysis of WMH was not volumetric. Finally, 8 articles were included in this systematic review.</p><p><strong>Conclusions: </strong>Literature on this topic is extremely heterogeneous in terms of methodology and samples. However, evidence shows that there is a relationship between CKD and WMH volume of the brain. We recommend that quantifiable biomarkers such as estimated glomerular filtration rate (eGFR) and urine albumin to creatinine ratio (UACR) should be included in studies dealing with cerebrovascular disease. The biological and molecular mechanisms underlying cerebrovascular damage in patients with chronic renal failure deserve to be further explored.</p>","PeriodicalId":48711,"journal":{"name":"Physical Review D","volume":"75 1","pages":"7596-7606"},"PeriodicalIF":5.3000,"publicationDate":"2023-11-01","publicationTypes":"Journal Article","fieldsOfStudy":null,"isOpenAccess":false,"openAccessPdf":"https://www.ncbi.nlm.nih.gov/pmc/articles/PMC10644141/pdf/","citationCount":"0","resultStr":null,"platform":"Semanticscholar","paperid":null,"PeriodicalName":"Physical Review D","FirstCategoryId":"3","ListUrlMain":"https://doi.org/10.21037/qims-22-707","RegionNum":2,"RegionCategory":"物理与天体物理","ArticlePicture":[],"TitleCN":null,"AbstractTextCN":null,"PMCID":null,"EPubDate":"2023/1/2 0:00:00","PubModel":"Epub","JCR":"Q1","JCRName":"ASTRONOMY & ASTROPHYSICS","Score":null,"Total":0}
引用次数: 0

Abstract

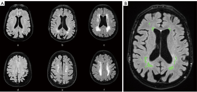
Background: This systematic review summarizes available evidence on the relationship between white matter hyperintensities (WMH) volumetric quantification on brain MRI scans and chronic kidney disease (CKD).

Methods: The literature search was performed in March 2022 using MEDLINE PubMed Central, Scopus and Web of Science - Publons as search engines. Relevant articles investigating, with a quantitative volumetric approach, the link between WMH and CKD patients were selected.

Results: The database search strategy found 987 articles, after excluding duplicates, the titles and abstracts of the remaining 320 articles were examined. Subsequently 276 articles were excluded as they were not relevant to the topic. Of the 44 articles evaluated for eligibility, 36 were excluded because the quantitative analysis of WMH was not volumetric. Finally, 8 articles were included in this systematic review.

Conclusions: Literature on this topic is extremely heterogeneous in terms of methodology and samples. However, evidence shows that there is a relationship between CKD and WMH volume of the brain. We recommend that quantifiable biomarkers such as estimated glomerular filtration rate (eGFR) and urine albumin to creatinine ratio (UACR) should be included in studies dealing with cerebrovascular disease. The biological and molecular mechanisms underlying cerebrovascular damage in patients with chronic renal failure deserve to be further explored.

Abstract Image

Abstract Image

Abstract Image

慢性肾病与脑白质高信号的关系:一项系统综述
背景:本系统综述了脑MRI扫描白质高强度(WMH)体积量化与慢性肾脏疾病(CKD)之间关系的现有证据。方法:于2022年3月以MEDLINE PubMed Central、Scopus和Web of Science - Publons为检索引擎进行文献检索。我们选择了相关的研究文章,采用定量容积法,研究WMH和CKD患者之间的联系。结果:数据库检索策略共检索到987篇文献,排除重复后,对剩余320篇文献的标题和摘要进行了检查。随后,276篇文章被排除,因为它们与该主题无关。在44篇合格评价的文章中,36篇被排除,因为WMH的定量分析不是体积分析法。最后,8篇文章被纳入本系统综述。结论:关于这一主题的文献在方法和样本方面是极其异质的。然而,有证据表明CKD与脑WMH体积之间存在关系。我们建议在脑血管疾病的研究中纳入可量化的生物标志物,如肾小球滤过率(eGFR)和尿白蛋白与肌酐比值(UACR)。慢性肾功能衰竭患者脑血管损伤的生物学和分子机制值得进一步探讨。
本文章由计算机程序翻译,如有差异,请以英文原文为准。
求助全文
约1分钟内获得全文 求助全文
来源期刊
Physical Review D
Physical Review D ASTRONOMY & ASTROPHYSICSPHYSICS, PARTICLES-PHYSICS, PARTICLES & FIELDS
CiteScore
9.30
自引率
36.00%
发文量
3456
期刊介绍: Physical Review D (PRD) is a leading journal in elementary particle physics, field theory, gravitation, and cosmology and is one of the top-cited journals in high-energy physics. PRD covers experimental and theoretical results in all aspects of particle physics, field theory, gravitation and cosmology, including: Particle physics experiments, Electroweak interactions, Strong interactions, Lattice field theories, lattice QCD, Beyond the standard model physics, Phenomenological aspects of field theory, general methods, Gravity, cosmology, cosmic rays, Astrophysics and astroparticle physics, General relativity, Formal aspects of field theory, field theory in curved space, String theory, quantum gravity, gauge/gravity duality.
×
引用
GB/T 7714-2015
复制
MLA
复制
APA
复制
导出至
BibTeX EndNote RefMan NoteFirst NoteExpress
×
提示
您的信息不完整,为了账户安全,请先补充。
现在去补充
×
提示
您因"违规操作"
具体请查看互助需知
我知道了
×
提示
确定
请完成安全验证×
copy
已复制链接
快去分享给好友吧!
我知道了
右上角分享
点击右上角分享
0
联系我们:info@booksci.cn Book学术提供免费学术资源搜索服务,方便国内外学者检索中英文文献。致力于提供最便捷和优质的服务体验。 Copyright © 2023 布克学术 All rights reserved.
京ICP备2023020795号-1
ghs 京公网安备 11010802042870号
Book学术文献互助
Book学术文献互助群
群 号:604180095
Book学术官方微信