Interventional Imaging Roadmap to Successful Balloon Pulmonary Angioplasty for Chronic Thromboembolic Pulmonary Hypertension.

IF 0.7 4区 数学 Q3 MATHEMATICS, APPLIED
Stochastic Analysis and Applications Pub Date : 2022-08-12 eCollection Date: 2022-11-01 DOI:10.1016/j.jscai.2022.100429
Nimai Patel, Syed N Hyder, Erinleigh Michaud, Victor Moles, Prachi P Agarwal, Kenneth Rosenfield, Kohtaro Abe, Jonathan Haft, Scott H Visovatti, Thomas M Cascino, William R Auger, Vallerie V Mclaughlin, Vikas Aggarwal
{"title":"Interventional Imaging Roadmap to Successful Balloon Pulmonary Angioplasty for Chronic Thromboembolic Pulmonary Hypertension.","authors":"Nimai Patel, Syed N Hyder, Erinleigh Michaud, Victor Moles, Prachi P Agarwal, Kenneth Rosenfield, Kohtaro Abe, Jonathan Haft, Scott H Visovatti, Thomas M Cascino, William R Auger, Vallerie V Mclaughlin, Vikas Aggarwal","doi":"10.1016/j.jscai.2022.100429","DOIUrl":null,"url":null,"abstract":"<p><p>Balloon pulmonary angioplasty (BPA) is an evolving treatment modality for patients with chronic thromboembolic pulmonary hypertension (CTEPH) who are not candidates for pulmonary endarterectomy. Although several imaging modalities currently exist for evaluating CTEPH, their individual use, specifically in the clinical practice of BPA, has not been well described. In this article, we provide a preprocedural, intraprocedural, and postprocedural interventional imaging roadmap for safe and effective BPA performance in routine clinical practice. Preprocedural assessment includes transthoracic echocardiography for right ventricular assessment, ventilation/perfusion scan to identify pulmonary segments with the highest degree of hypoperfusion, cross-sectional chest imaging excluding alternative causes of mismatched defects and providing anatomic and perfusion imaging concurrently, and nonselective invasive pulmonary angiography for risk stratification of individual lesion subtypes. Intraprocedural assessment includes subselective segmental angiography (SSA) for delineating segmental and subsegmental branch anatomy, lesion identification, and vessel sizing. Intravascular ultrasound and optical coherence tomography serve as adjunctive intraprocedural tools for more accurate vessel sizing and lesion characterization when SSA alone is insufficient. Postprocedural considerations include chest radiography to monitor for immediate postprocedure complications and echocardiography for the interval assessment of the right ventricle on longer-term follow-up.</p>","PeriodicalId":49474,"journal":{"name":"Stochastic Analysis and Applications","volume":"12 1","pages":"100429"},"PeriodicalIF":0.7000,"publicationDate":"2022-08-12","publicationTypes":"Journal Article","fieldsOfStudy":null,"isOpenAccess":false,"openAccessPdf":"https://www.ncbi.nlm.nih.gov/pmc/articles/PMC11307535/pdf/","citationCount":"0","resultStr":null,"platform":"Semanticscholar","paperid":null,"PeriodicalName":"Stochastic Analysis and Applications","FirstCategoryId":"3","ListUrlMain":"https://doi.org/10.1016/j.jscai.2022.100429","RegionNum":4,"RegionCategory":"数学","ArticlePicture":[],"TitleCN":null,"AbstractTextCN":null,"PMCID":null,"EPubDate":"2022/11/1 0:00:00","PubModel":"eCollection","JCR":"Q3","JCRName":"MATHEMATICS, APPLIED","Score":null,"Total":0}
引用次数: 0

Abstract

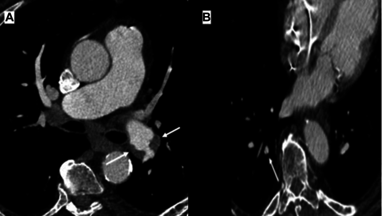
Balloon pulmonary angioplasty (BPA) is an evolving treatment modality for patients with chronic thromboembolic pulmonary hypertension (CTEPH) who are not candidates for pulmonary endarterectomy. Although several imaging modalities currently exist for evaluating CTEPH, their individual use, specifically in the clinical practice of BPA, has not been well described. In this article, we provide a preprocedural, intraprocedural, and postprocedural interventional imaging roadmap for safe and effective BPA performance in routine clinical practice. Preprocedural assessment includes transthoracic echocardiography for right ventricular assessment, ventilation/perfusion scan to identify pulmonary segments with the highest degree of hypoperfusion, cross-sectional chest imaging excluding alternative causes of mismatched defects and providing anatomic and perfusion imaging concurrently, and nonselective invasive pulmonary angiography for risk stratification of individual lesion subtypes. Intraprocedural assessment includes subselective segmental angiography (SSA) for delineating segmental and subsegmental branch anatomy, lesion identification, and vessel sizing. Intravascular ultrasound and optical coherence tomography serve as adjunctive intraprocedural tools for more accurate vessel sizing and lesion characterization when SSA alone is insufficient. Postprocedural considerations include chest radiography to monitor for immediate postprocedure complications and echocardiography for the interval assessment of the right ventricle on longer-term follow-up.

Abstract Image

Abstract Image

Abstract Image

成功进行慢性血栓栓塞性肺动脉高压球囊肺血管成形术的介入成像路线图。
对于不适合进行肺动脉内膜切除术的慢性血栓栓塞性肺动脉高压(CTEPH)患者来说,球囊肺血管成形术(BPA)是一种不断发展的治疗方式。虽然目前有多种成像模式可用于评估 CTEPH,但它们各自的用途,特别是在 BPA 临床实践中的用途,还没有得到很好的描述。在本文中,我们为常规临床实践中安全有效地实施 BPA 提供了一个术前、术中和术后介入成像路线图。术前评估包括用于评估右心室的经胸超声心动图、通气/灌注扫描以确定灌注不足程度最高的肺段、横断面胸部成像以排除造成不匹配缺损的其他原因并同时提供解剖和灌注成像,以及用于对个别病变亚型进行风险分层的非选择性有创肺动脉造影。术中评估包括亚选择性节段血管造影术(SSA),用于划分节段和亚节段分支解剖结构、病变识别和血管大小。血管内超声和光学相干断层扫描可作为术中的辅助工具,在单靠亚选择节段血管造影不足以确定血管大小和病变特征时,可用于更准确地确定血管大小和病变特征。术后注意事项包括胸片检查,以监测术后即刻出现的并发症,以及超声心动图检查,以便在长期随访中对右心室进行间隔评估。
本文章由计算机程序翻译,如有差异,请以英文原文为准。
求助全文
约1分钟内获得全文 求助全文
来源期刊
Stochastic Analysis and Applications
Stochastic Analysis and Applications 数学-统计学与概率论
CiteScore
2.70
自引率
7.70%
发文量
32
审稿时长
6-12 weeks
期刊介绍: Stochastic Analysis and Applications presents the latest innovations in the field of stochastic theory and its practical applications, as well as the full range of related approaches to analyzing systems under random excitation. In addition, it is the only publication that offers the broad, detailed coverage necessary for the interfield and intrafield fertilization of new concepts and ideas, providing the scientific community with a unique and highly useful service.
×
引用
GB/T 7714-2015
复制
MLA
复制
APA
复制
导出至
BibTeX EndNote RefMan NoteFirst NoteExpress
×
提示
您的信息不完整,为了账户安全,请先补充。
现在去补充
×
提示
您因"违规操作"
具体请查看互助需知
我知道了
×
提示
确定
请完成安全验证×
copy
已复制链接
快去分享给好友吧!
我知道了
右上角分享
点击右上角分享
0
联系我们:info@booksci.cn Book学术提供免费学术资源搜索服务,方便国内外学者检索中英文文献。致力于提供最便捷和优质的服务体验。 Copyright © 2023 布克学术 All rights reserved.
京ICP备2023020795号-1
ghs 京公网安备 11010802042870号
Book学术文献互助
Book学术文献互助群
群 号:604180095
Book学术官方微信