Multiple adenomas of the thyroid gland in an African green monkey (Chlorocebus aethiops).

IF 0.5 Q4 MEDICINE, LEGAL
Canadian Society of Forensic Science Journal Pub Date : 2023-05-12 eCollection Date: 2023-01-01 DOI:10.5194/pb-10-1-2023
Roland Plesker, Kernt Köhler
{"title":"Multiple adenomas of the thyroid gland in an African green monkey (<i>Chlorocebus aethiops</i>).","authors":"Roland Plesker, Kernt Köhler","doi":"10.5194/pb-10-1-2023","DOIUrl":null,"url":null,"abstract":"<p><p>Two cystadenomas and one solid adenoma of the thyroid gland in a 27-year-old female African green monkey (<i>Chlorocebus aethiops</i>) are described here. Histologically, the solid adenoma was classified as a well-defined solid follicular adenoma of microfollicular type. The solid adenoma was positive for thyroglobulin in immunohistochemistry staining, whereas the cystadenomas stained positive for both thyroglobulin and calcitonin. No evidence of excess hormone production related to the tumor presence was detected.</p>","PeriodicalId":44383,"journal":{"name":"Canadian Society of Forensic Science Journal","volume":"45 1","pages":"1-6"},"PeriodicalIF":0.5000,"publicationDate":"2023-05-12","publicationTypes":"Journal Article","fieldsOfStudy":null,"isOpenAccess":false,"openAccessPdf":"https://www.ncbi.nlm.nih.gov/pmc/articles/PMC11322656/pdf/","citationCount":"0","resultStr":null,"platform":"Semanticscholar","paperid":null,"PeriodicalName":"Canadian Society of Forensic Science Journal","FirstCategoryId":"1085","ListUrlMain":"https://doi.org/10.5194/pb-10-1-2023","RegionNum":0,"RegionCategory":null,"ArticlePicture":[],"TitleCN":null,"AbstractTextCN":null,"PMCID":null,"EPubDate":"2023/1/1 0:00:00","PubModel":"eCollection","JCR":"Q4","JCRName":"MEDICINE, LEGAL","Score":null,"Total":0}
引用次数: 0

Abstract

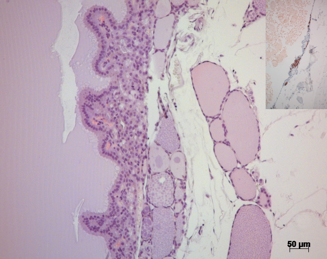
Two cystadenomas and one solid adenoma of the thyroid gland in a 27-year-old female African green monkey (Chlorocebus aethiops) are described here. Histologically, the solid adenoma was classified as a well-defined solid follicular adenoma of microfollicular type. The solid adenoma was positive for thyroglobulin in immunohistochemistry staining, whereas the cystadenomas stained positive for both thyroglobulin and calcitonin. No evidence of excess hormone production related to the tumor presence was detected.

Abstract Image

Abstract Image

Abstract Image

非洲绿猴(Chlorocebus aethiops)的甲状腺多发性腺瘤。
本文描述了一只27岁的雌性非洲绿猴(Chlorocebus aethiops)的两个甲状腺囊腺瘤和一个甲状腺实性腺瘤。在组织学上,实性腺瘤被归类为定义明确的微滤泡型实性滤泡腺瘤。实性腺瘤的甲状腺球蛋白免疫组化染色呈阳性,而囊腺瘤的甲状腺球蛋白和降钙素染色均呈阳性。没有发现与肿瘤有关的激素分泌过多的证据。
本文章由计算机程序翻译,如有差异,请以英文原文为准。
求助全文
约1分钟内获得全文 求助全文
来源期刊
CiteScore
1.00
自引率
0.00%
发文量
21
×
引用
GB/T 7714-2015
复制
MLA
复制
APA
复制
导出至
BibTeX EndNote RefMan NoteFirst NoteExpress
×
提示
您的信息不完整,为了账户安全,请先补充。
现在去补充
×
提示
您因"违规操作"
具体请查看互助需知
我知道了
×
提示
确定
请完成安全验证×
copy
已复制链接
快去分享给好友吧!
我知道了
右上角分享
点击右上角分享
0
联系我们:info@booksci.cn Book学术提供免费学术资源搜索服务,方便国内外学者检索中英文文献。致力于提供最便捷和优质的服务体验。 Copyright © 2023 布克学术 All rights reserved.
京ICP备2023020795号-1
ghs 京公网安备 11010802042870号
Book学术文献互助
Book学术文献互助群
群 号:604180095
Book学术官方微信