A rare pathology in the neck: Hydatid cyst.

IF 2.9 3区 地球科学 Q2 GEOGRAPHY, PHYSICAL
Boreas Pub Date : 2024-06-10 eCollection Date: 2024-01-01 DOI:10.14744/nci.2022.47124
Gulistan Huriye Bozdag Baskaya
{"title":"A rare pathology in the neck: Hydatid cyst.","authors":"Gulistan Huriye Bozdag Baskaya","doi":"10.14744/nci.2022.47124","DOIUrl":null,"url":null,"abstract":"<p><p>Neck cysts can be classified as congenital, infectious-inflammatory, and neoplastic. Hydatid disease is a parasitic infection caused by Echinococcus, is usually seen in the liver and lung and, is rare in the head and neck region even in endemic areas. If not treated, a life-threatening condition may be encountered. In this study, a case of hydatid cyst operated due to a cystic lesion with a diameter of approximately 8 cm in the neck was presented by reviewing the literature.</p>","PeriodicalId":9184,"journal":{"name":"Boreas","volume":"50 1","pages":"258-260"},"PeriodicalIF":2.9000,"publicationDate":"2024-06-10","publicationTypes":"Journal Article","fieldsOfStudy":null,"isOpenAccess":false,"openAccessPdf":"https://www.ncbi.nlm.nih.gov/pmc/articles/PMC11237831/pdf/","citationCount":"0","resultStr":null,"platform":"Semanticscholar","paperid":null,"PeriodicalName":"Boreas","FirstCategoryId":"1085","ListUrlMain":"https://doi.org/10.14744/nci.2022.47124","RegionNum":3,"RegionCategory":"地球科学","ArticlePicture":[],"TitleCN":null,"AbstractTextCN":null,"PMCID":null,"EPubDate":"2024/1/1 0:00:00","PubModel":"eCollection","JCR":"Q2","JCRName":"GEOGRAPHY, PHYSICAL","Score":null,"Total":0}
引用次数: 0

Abstract

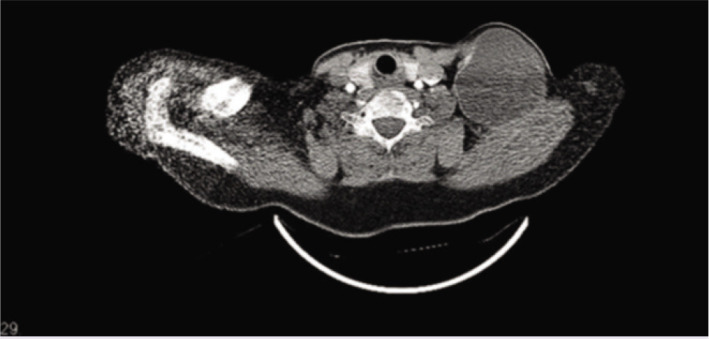
Neck cysts can be classified as congenital, infectious-inflammatory, and neoplastic. Hydatid disease is a parasitic infection caused by Echinococcus, is usually seen in the liver and lung and, is rare in the head and neck region even in endemic areas. If not treated, a life-threatening condition may be encountered. In this study, a case of hydatid cyst operated due to a cystic lesion with a diameter of approximately 8 cm in the neck was presented by reviewing the literature.

Abstract Image

Abstract Image

Abstract Image

一种罕见的颈部病变:水瘤囊肿。
颈部囊肿可分为先天性、感染-炎症性和肿瘤性。包虫病是由棘球蚴引起的寄生虫感染,通常发生在肝脏和肺部,即使在流行地区也很少发生在头颈部。如果不及时治疗,可能会危及生命。本研究通过查阅文献,介绍了一例因颈部直径约 8 厘米的囊性病变而进行手术的包虫囊肿病例。
本文章由计算机程序翻译,如有差异,请以英文原文为准。
求助全文
约1分钟内获得全文 求助全文
来源期刊
Boreas
Boreas 地学-地球科学综合
CiteScore
5.90
自引率
4.50%
发文量
36
审稿时长
>12 weeks
期刊介绍: Boreas has been published since 1972. Articles of wide international interest from all branches of Quaternary research are published. Biological as well as non-biological aspects of the Quaternary environment, in both glaciated and non-glaciated areas, are dealt with: Climate, shore displacement, glacial features, landforms, sediments, organisms and their habitat, and stratigraphical and chronological relationships. Anticipated international interest, at least within a continent or a considerable part of it, is a main criterion for the acceptance of papers. Besides articles, short items like discussion contributions and book reviews are published.
×
引用
GB/T 7714-2015
复制
MLA
复制
APA
复制
导出至
BibTeX EndNote RefMan NoteFirst NoteExpress
×
提示
您的信息不完整,为了账户安全,请先补充。
现在去补充
×
提示
您因"违规操作"
具体请查看互助需知
我知道了
×
提示
确定
请完成安全验证×
copy
已复制链接
快去分享给好友吧!
我知道了
右上角分享
点击右上角分享
0
联系我们:info@booksci.cn Book学术提供免费学术资源搜索服务,方便国内外学者检索中英文文献。致力于提供最便捷和优质的服务体验。 Copyright © 2023 布克学术 All rights reserved.
京ICP备2023020795号-1
ghs 京公网安备 11010802042870号
Book学术文献互助
Book学术文献互助群
群 号:604180095
Book学术官方微信