And the Oscar Goes to Peripheral Blood Film for the Detection of Lead Poisoning in a Complicated Toxic Patient: A Case Report with a Review of Laboratory Clues.

Q1 Earth and Planetary Sciences
Journal of Geophysical Research Pub Date : 2022-02-23 eCollection Date: 2022-01-01 DOI:10.1155/2022/9238544
Amir Zamani, Ehsan Sarraf Kazerooni, S Saeed Kasaee, Mohammad Hossein Anbardar, Sahand Mohammadzadeh, Golsa Shekarkhar, Neda Soleimani
{"title":"And the Oscar Goes to Peripheral Blood Film for the Detection of Lead Poisoning in a Complicated Toxic Patient: A Case Report with a Review of Laboratory Clues.","authors":"Amir Zamani, Ehsan Sarraf Kazerooni, S Saeed Kasaee, Mohammad Hossein Anbardar, Sahand Mohammadzadeh, Golsa Shekarkhar, Neda Soleimani","doi":"10.1155/2022/9238544","DOIUrl":null,"url":null,"abstract":"<p><strong>Background: </strong>Peripheral blood smear examination is an invaluable laboratory test, which provides the complete hematologic and/or nonhematologic picture of a case. In addition to verifying the results of automated cell counters, it has the potential to identify some pathologic and morphologic changes that remain hidden using the cell counters alone. <i>Case Presentation</i>. A 40-year-old man with a three-year history of alcohol intake and marijuana abuse presented with severe lower extremities of the bone and abdominal pain. Physical examination showed high blood pressure, high pulse rate, and abdominal tenderness. He underwent extensive laboratory and imaging tests, and cholecystectomy and bone marrow studies were associated with no definite diagnosis. Right after all these invasive, expensive, and time-consuming investigations during a month, finding coarse basophilic stippling in the red blood cells in the peripheral blood smear by an expert led to the final diagnosis. Elevated blood lead level and the presence of ring sideroblasts in the bone marrow study confirmed the diagnosis of lead poisoning, and the patient responded well to chelator therapy in a short period.</p><p><strong>Conclusion: </strong>This case clearly showed the value of peripheral blood smear review and its impact on patient care. In order not to lose the cases, laboratories are recommended to design their own policy for peripheral blood smear review. The peripheral blood smear is the fastest, simplest, and most available screening test, which can prevent many misdiagnoses and malpractices. It provides rich morphological information, among which basophilic stippling is highly suggestive of lead poisoning.</p>","PeriodicalId":15836,"journal":{"name":"Journal of Geophysical Research","volume":"100 1","pages":"9238544"},"PeriodicalIF":0.0000,"publicationDate":"2022-02-23","publicationTypes":"Journal Article","fieldsOfStudy":null,"isOpenAccess":false,"openAccessPdf":"https://www.ncbi.nlm.nih.gov/pmc/articles/PMC8890882/pdf/","citationCount":"0","resultStr":null,"platform":"Semanticscholar","paperid":null,"PeriodicalName":"Journal of Geophysical Research","FirstCategoryId":"1085","ListUrlMain":"https://doi.org/10.1155/2022/9238544","RegionNum":0,"RegionCategory":null,"ArticlePicture":[],"TitleCN":null,"AbstractTextCN":null,"PMCID":null,"EPubDate":"2022/1/1 0:00:00","PubModel":"eCollection","JCR":"Q1","JCRName":"Earth and Planetary Sciences","Score":null,"Total":0}
引用次数: 0

Abstract

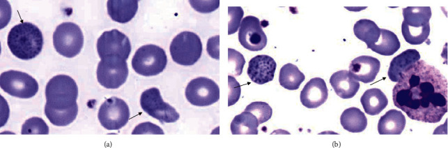
Background: Peripheral blood smear examination is an invaluable laboratory test, which provides the complete hematologic and/or nonhematologic picture of a case. In addition to verifying the results of automated cell counters, it has the potential to identify some pathologic and morphologic changes that remain hidden using the cell counters alone. Case Presentation. A 40-year-old man with a three-year history of alcohol intake and marijuana abuse presented with severe lower extremities of the bone and abdominal pain. Physical examination showed high blood pressure, high pulse rate, and abdominal tenderness. He underwent extensive laboratory and imaging tests, and cholecystectomy and bone marrow studies were associated with no definite diagnosis. Right after all these invasive, expensive, and time-consuming investigations during a month, finding coarse basophilic stippling in the red blood cells in the peripheral blood smear by an expert led to the final diagnosis. Elevated blood lead level and the presence of ring sideroblasts in the bone marrow study confirmed the diagnosis of lead poisoning, and the patient responded well to chelator therapy in a short period.

Conclusion: This case clearly showed the value of peripheral blood smear review and its impact on patient care. In order not to lose the cases, laboratories are recommended to design their own policy for peripheral blood smear review. The peripheral blood smear is the fastest, simplest, and most available screening test, which can prevent many misdiagnoses and malpractices. It provides rich morphological information, among which basophilic stippling is highly suggestive of lead poisoning.

Abstract Image

Abstract Image

奥斯卡奖授予外周血片用于检测一名复杂中毒患者的铅中毒:病例报告与实验室线索回顾。
背景:外周血涂片检查是一项非常有价值的实验室检查,可提供病例的完整血液学和/或非血液学图像。除了验证自动细胞计数器的结果外,它还有可能发现一些仅靠细胞计数器无法发现的病理和形态变化。病例展示。一名 40 岁的男性,有三年的酒精摄入和大麻滥用史,因严重的下肢骨痛和腹痛就诊。体格检查显示他有高血压、高脉搏和腹部压痛。他接受了大量的实验室和影像学检查,胆囊切除术和骨髓检查均未确诊。就在一个月内进行了所有这些侵入性、昂贵和耗时的检查之后,专家在外周血涂片中发现红细胞中有粗大的嗜碱性条纹,最终确诊。血铅水平升高和骨髓检查中出现的环形红细胞证实了铅中毒的诊断,患者在短期内对螯合剂治疗反应良好:本病例清楚地表明了外周血涂片检查的价值及其对患者护理的影响。为了不丢失病例,建议实验室制定自己的外周血涂片审查政策。外周血涂片是最快速、最简单、最方便的筛查检验,可避免许多误诊和渎职行为。外周血涂片可提供丰富的形态学信息,其中嗜碱性条纹高度提示铅中毒。
本文章由计算机程序翻译,如有差异,请以英文原文为准。
求助全文
约1分钟内获得全文 求助全文
来源期刊
Journal of Geophysical Research
Journal of Geophysical Research 地学-地球科学综合
CiteScore
5.80
自引率
0.00%
发文量
0
审稿时长
1 months
期刊介绍: Journal of Geophysical Research (JGR) publishes original scientific research on the physical, chemical, and biological processes that contribute to the understanding of the Earth, Sun, and solar system and all of their environments and components. JGR is currently organized into seven disciplinary sections (Atmospheres, Biogeosciences, Earth Surface, Oceans, Planets, Solid Earth, Space Physics). Sections may be added or combined in response to changes in the science.
×
引用
GB/T 7714-2015
复制
MLA
复制
APA
复制
导出至
BibTeX EndNote RefMan NoteFirst NoteExpress
×
提示
您的信息不完整,为了账户安全,请先补充。
现在去补充
×
提示
您因"违规操作"
具体请查看互助需知
我知道了
×
提示
确定
请完成安全验证×
copy
已复制链接
快去分享给好友吧!
我知道了
右上角分享
点击右上角分享
0
联系我们:info@booksci.cn Book学术提供免费学术资源搜索服务,方便国内外学者检索中英文文献。致力于提供最便捷和优质的服务体验。 Copyright © 2023 布克学术 All rights reserved.
京ICP备2023020795号-1
ghs 京公网安备 11010802042870号
Book学术文献互助
Book学术文献互助群
群 号:604180095
Book学术官方微信