Black Truffle Extract Exerts Antidiabetic Effects through Inhibition of Inflammation and Lipid Metabolism Regulation.

IF 1 Q2 Engineering
Engineering Transactions Pub Date : 2022-02-24 eCollection Date: 2022-01-01 DOI:10.1155/2022/6099872
Ziyuan Wu, Muthukumaran Jayachandran, Wai San Cheang, Baojun Xu
{"title":"Black Truffle Extract Exerts Antidiabetic Effects through Inhibition of Inflammation and Lipid Metabolism Regulation.","authors":"Ziyuan Wu, Muthukumaran Jayachandran, Wai San Cheang, Baojun Xu","doi":"10.1155/2022/6099872","DOIUrl":null,"url":null,"abstract":"<p><p>Black truffle, a culinary and medical fungus, is highly valued worldwide for its nutritional and therapeutic importance. To enhance the existing knowledge about the beneficial properties, this study investigates the antioxidant, antihyperlipidemic, and anti-inflammatory effects of black truffle extract in <i>in vitro</i> biochemical assays and animal study. Briefly, black truffle extract was administered orally to treat streptozotocin- (STZ-) induced diabetic Wistar rats for 45 days. At the end of the experimental duration, rats were sacrificed to perform biochemical and gene expression analyses related to lipid regulatory and inflammatory pathways. Our results indicated that total cholesterol, triglycerides, free fatty acids, phospholipids, and low-density lipoprotein in different tissues and circulation were significantly increased in diabetic rats. Furthermore, the <i>β</i>-hydroxy <i>β</i>-methylglutaryl-CoA enzyme was also significantly increased; lipoprotein lipase and lecithin-cholesterol acyltransferase enzymes were significantly decreased in diabetic rats. However, the above conditions were reversed upon black truffle extract feeding. Furthermore, black truffle extract was also found to downregulate the expression of proinflammatory cytokines (tumor necrosis factor-<i>α</i> and interleukin-6) and lipid regulatory genes (serum regulatory element-binding protein-1 and fatty acid synthase). The truffle extract-treated effects were comparable to glibenclamide and medication commonly used to treat diabetes mellitus. Overall, our results suggested that black truffle possesses strong antihyperlipidemic and anti-inflammatory effects on diabetic rats. These findings will enhance the current knowledge about the therapeutic importance of black truffles. They might be exploited as a possible food supplement or even as a natural source of pharmaceutical agents for diabetes prevention and treatment.</p>","PeriodicalId":38552,"journal":{"name":"Engineering Transactions","volume":"66 1","pages":"6099872"},"PeriodicalIF":1.0000,"publicationDate":"2022-02-24","publicationTypes":"Journal Article","fieldsOfStudy":null,"isOpenAccess":false,"openAccessPdf":"https://www.ncbi.nlm.nih.gov/pmc/articles/PMC8894047/pdf/","citationCount":"0","resultStr":null,"platform":"Semanticscholar","paperid":null,"PeriodicalName":"Engineering Transactions","FirstCategoryId":"99","ListUrlMain":"https://doi.org/10.1155/2022/6099872","RegionNum":0,"RegionCategory":null,"ArticlePicture":[],"TitleCN":null,"AbstractTextCN":null,"PMCID":null,"EPubDate":"2022/1/1 0:00:00","PubModel":"eCollection","JCR":"Q2","JCRName":"Engineering","Score":null,"Total":0}
引用次数: 0

Abstract

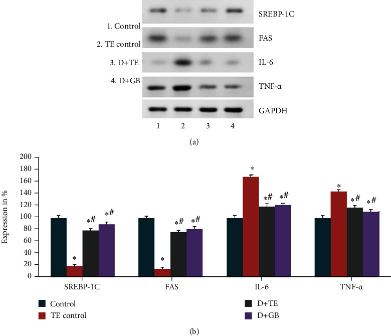
Black truffle, a culinary and medical fungus, is highly valued worldwide for its nutritional and therapeutic importance. To enhance the existing knowledge about the beneficial properties, this study investigates the antioxidant, antihyperlipidemic, and anti-inflammatory effects of black truffle extract in in vitro biochemical assays and animal study. Briefly, black truffle extract was administered orally to treat streptozotocin- (STZ-) induced diabetic Wistar rats for 45 days. At the end of the experimental duration, rats were sacrificed to perform biochemical and gene expression analyses related to lipid regulatory and inflammatory pathways. Our results indicated that total cholesterol, triglycerides, free fatty acids, phospholipids, and low-density lipoprotein in different tissues and circulation were significantly increased in diabetic rats. Furthermore, the β-hydroxy β-methylglutaryl-CoA enzyme was also significantly increased; lipoprotein lipase and lecithin-cholesterol acyltransferase enzymes were significantly decreased in diabetic rats. However, the above conditions were reversed upon black truffle extract feeding. Furthermore, black truffle extract was also found to downregulate the expression of proinflammatory cytokines (tumor necrosis factor-α and interleukin-6) and lipid regulatory genes (serum regulatory element-binding protein-1 and fatty acid synthase). The truffle extract-treated effects were comparable to glibenclamide and medication commonly used to treat diabetes mellitus. Overall, our results suggested that black truffle possesses strong antihyperlipidemic and anti-inflammatory effects on diabetic rats. These findings will enhance the current knowledge about the therapeutic importance of black truffles. They might be exploited as a possible food supplement or even as a natural source of pharmaceutical agents for diabetes prevention and treatment.

Abstract Image

Abstract Image

黑松露提取物通过抑制炎症和调节脂质代谢发挥抗糖尿病作用
黑松露是一种烹饪和医用真菌,因其营养和治疗价值而受到全世界的高度重视。为了进一步了解黑松露的有益特性,本研究通过体外生化实验和动物实验研究了黑松露提取物的抗氧化、抗高血脂和抗炎作用。简而言之,黑松露提取物用于治疗链脲佐菌素(STZ)诱导的糖尿病 Wistar 大鼠,为期 45 天。实验结束后,大鼠被处死,以进行与血脂调节和炎症通路相关的生化和基因表达分析。结果表明,糖尿病大鼠不同组织和血液循环中的总胆固醇、甘油三酯、游离脂肪酸、磷脂和低密度脂蛋白均显著增加。此外,糖尿病大鼠体内的β-羟基β-甲基戊二酰-CoA酶也明显升高;脂蛋白脂肪酶和卵磷脂胆固醇酰基转移酶明显降低。然而,喂食黑松露提取物后,上述情况得到逆转。此外,研究还发现黑松露提取物还能降低促炎细胞因子(肿瘤坏死因子-α和白细胞介素-6)和脂质调节基因(血清调节元件结合蛋白-1和脂肪酸合成酶)的表达。松露提取物的治疗效果与格列本脲和常用于治疗糖尿病的药物相当。总之,我们的研究结果表明,黑松露对糖尿病大鼠具有很强的降血脂和抗炎作用。这些发现将增进人们对黑松露治疗重要性的认识。黑松露可以作为一种可能的食品补充剂,甚至是预防和治疗糖尿病的天然药物来源。
本文章由计算机程序翻译,如有差异,请以英文原文为准。
求助全文
约1分钟内获得全文 求助全文
来源期刊
Engineering Transactions
Engineering Transactions Engineering-Engineering (all)
CiteScore
1.40
自引率
0.00%
发文量
0
期刊介绍: Engineering Transactions (formerly Rozprawy Inżynierskie) is a refereed international journal founded in 1952. The journal promotes research and practice in engineering science and provides a forum for interdisciplinary publications combining mechanics with: Material science, Mechatronics, Biomechanics and Biotechnologies, Environmental science, Photonics, Information technologies, Other engineering applications. The journal publishes original papers covering a broad area of research activities including: experimental and hybrid techniques, analytical and numerical approaches. Review articles and special issues are also welcome. Following long tradition, all articles are peer reviewed and our expert referees ensure that the papers accepted for publication comply with high scientific standards. Engineering Transactions is a quarterly journal intended to be interesting and useful for the researchers and practitioners in academic and industrial communities.
×
引用
GB/T 7714-2015
复制
MLA
复制
APA
复制
导出至
BibTeX EndNote RefMan NoteFirst NoteExpress
×
提示
您的信息不完整,为了账户安全,请先补充。
现在去补充
×
提示
您因"违规操作"
具体请查看互助需知
我知道了
×
提示
确定
请完成安全验证×
copy
已复制链接
快去分享给好友吧!
我知道了
右上角分享
点击右上角分享
0
联系我们:info@booksci.cn Book学术提供免费学术资源搜索服务,方便国内外学者检索中英文文献。致力于提供最便捷和优质的服务体验。 Copyright © 2023 布克学术 All rights reserved.
京ICP备2023020795号-1
ghs 京公网安备 11010802042870号
Book学术文献互助
Book学术文献互助群
群 号:604180095
Book学术官方微信