Computed tomography measurement of pulmonary artery for diagnosis of COPD and its comorbidity pulmonary hypertension.

Q3 Medicine
Ejc Supplements Pub Date : 2015-11-18 eCollection Date: 2015-01-01 DOI:10.2147/COPD.S94211
Xuesong Chen, Kouying Liu, Zhiyue Wang, Yinsu Zhu, Yang Zhao, Hui Kong, Weiping Xie, Hong Wang
{"title":"Computed tomography measurement of pulmonary artery for diagnosis of COPD and its comorbidity pulmonary hypertension.","authors":"Xuesong Chen, Kouying Liu, Zhiyue Wang, Yinsu Zhu, Yang Zhao, Hui Kong, Weiping Xie, Hong Wang","doi":"10.2147/COPD.S94211","DOIUrl":null,"url":null,"abstract":"<p><p>Computed tomography (CT) is widely used for evaluation of lung diseases. To evaluate the value of CT measurement of pulmonary artery for diagnosis of chronic obstructive pulmonary disease (COPD) and its comorbidity pulmonary hypertension (PH), we retrospectively reviewed the CT of 221 patients with COPD and 115 control patients without cardiovascular or lung disease. Patients with COPD were divided into PH (COPD-PH) and non-PH according to systolic pulmonary artery pressure. Main pulmonary artery (MPA), right pulmonary artery (RPA) and left pulmonary artery branches, and ascending aorta (AAo) and descending aorta (DAo) diameters were measured. Meanwhile, the ratios of MPA/AAo and MPA/DAo were calculated. MPA, RPA, and left pulmonary artery diameters were significantly larger in COPD than those in the controls, and this augment was more obvious in COPD-PH. AAo and DAo diameters did not vary obviously between groups, while MPA/AAo and MAP/DAo increased significantly in COPD and PH. MPA could be helpful for COPD diagnosis (MPA diameter ≥27.5 mm, sensitivity 54%, and specificity 80%), and RPA could be applied for COPD-PH diagnosis (RPA diameter ≥23.4 mm, sensitivity 67%, and specificity 76%). There was a marked correlation between MPA/DAo and systolic pulmonary artery pressure (r=0.594, P<0.001). Therefore, chest CT could be a simple and effective modality for diagnostic evaluation of COPD and its comorbidity, PH. </p>","PeriodicalId":11675,"journal":{"name":"Ejc Supplements","volume":"4 1","pages":"2525-33"},"PeriodicalIF":0.0000,"publicationDate":"2015-11-18","publicationTypes":"Journal Article","fieldsOfStudy":null,"isOpenAccess":false,"openAccessPdf":"https://www.ncbi.nlm.nih.gov/pmc/articles/PMC4655902/pdf/","citationCount":"0","resultStr":null,"platform":"Semanticscholar","paperid":null,"PeriodicalName":"Ejc Supplements","FirstCategoryId":"3","ListUrlMain":"https://doi.org/10.2147/COPD.S94211","RegionNum":0,"RegionCategory":null,"ArticlePicture":[],"TitleCN":null,"AbstractTextCN":null,"PMCID":null,"EPubDate":"2015/1/1 0:00:00","PubModel":"eCollection","JCR":"Q3","JCRName":"Medicine","Score":null,"Total":0}
引用次数: 0

Abstract

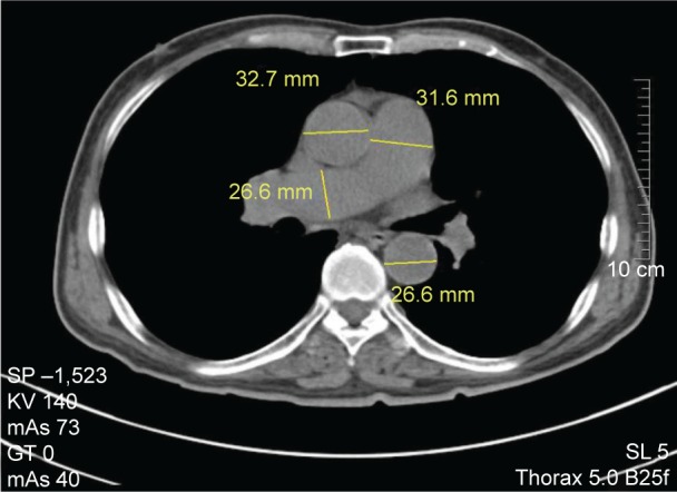
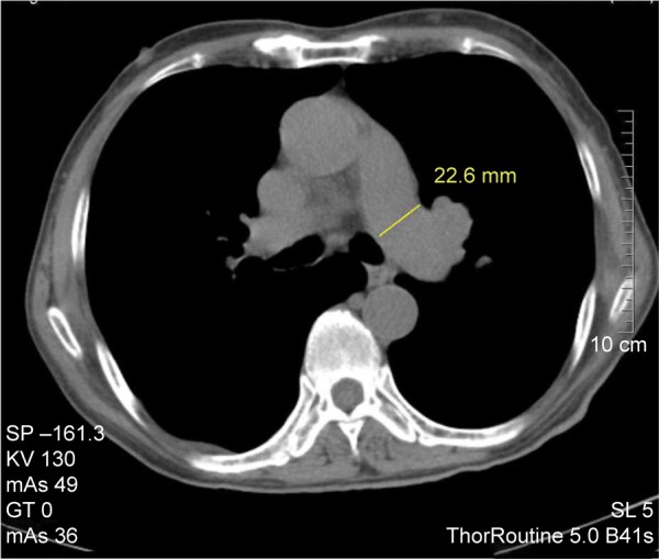
Computed tomography (CT) is widely used for evaluation of lung diseases. To evaluate the value of CT measurement of pulmonary artery for diagnosis of chronic obstructive pulmonary disease (COPD) and its comorbidity pulmonary hypertension (PH), we retrospectively reviewed the CT of 221 patients with COPD and 115 control patients without cardiovascular or lung disease. Patients with COPD were divided into PH (COPD-PH) and non-PH according to systolic pulmonary artery pressure. Main pulmonary artery (MPA), right pulmonary artery (RPA) and left pulmonary artery branches, and ascending aorta (AAo) and descending aorta (DAo) diameters were measured. Meanwhile, the ratios of MPA/AAo and MPA/DAo were calculated. MPA, RPA, and left pulmonary artery diameters were significantly larger in COPD than those in the controls, and this augment was more obvious in COPD-PH. AAo and DAo diameters did not vary obviously between groups, while MPA/AAo and MAP/DAo increased significantly in COPD and PH. MPA could be helpful for COPD diagnosis (MPA diameter ≥27.5 mm, sensitivity 54%, and specificity 80%), and RPA could be applied for COPD-PH diagnosis (RPA diameter ≥23.4 mm, sensitivity 67%, and specificity 76%). There was a marked correlation between MPA/DAo and systolic pulmonary artery pressure (r=0.594, P<0.001). Therefore, chest CT could be a simple and effective modality for diagnostic evaluation of COPD and its comorbidity, PH.

Abstract Image

Abstract Image

Abstract Image

用于诊断慢性阻塞性肺病及其合并症肺动脉高压的肺动脉计算机断层扫描测量。
计算机断层扫描(CT)被广泛用于肺部疾病的评估。为了评估肺动脉 CT 测量对诊断慢性阻塞性肺疾病(COPD)及其合并症肺动脉高压(PH)的价值,我们回顾性地检查了 221 例 COPD 患者和 115 例无心血管或肺部疾病的对照组患者的 CT。根据肺动脉收缩压,COPD 患者被分为 PH(COPD-PH)和非 PH 患者。测量主肺动脉(MPA)、右肺动脉(RPA)和左肺动脉分支以及升主动脉(AAo)和降主动脉(DAo)的直径。同时,计算 MPA/AAo 和 MPA/DAo 的比率。MPA、RPA和左肺动脉直径在慢性阻塞性肺病患者中明显大于对照组,这种增大在慢性阻塞性肺病-帕金森患者中更为明显。AAo和DAo直径在不同组间无明显差异,而MPA/AAo和MAP/DAo在COPD和PH组中明显增加。MPA有助于COPD的诊断(MPA直径≥27.5 mm,敏感性54%,特异性80%),RPA可用于COPD-PH的诊断(RPA直径≥23.4 mm,敏感性67%,特异性76%)。MPA/DAo 与肺动脉收缩压之间存在明显的相关性(r=0.594,P<0.05)。
本文章由计算机程序翻译,如有差异,请以英文原文为准。
求助全文
约1分钟内获得全文 求助全文
来源期刊
Ejc Supplements
Ejc Supplements 医学-肿瘤学
自引率
0.00%
发文量
0
审稿时长
3.7 months
期刊介绍: EJC Supplements is an open access companion journal to the European Journal of Cancer. As an open access journal, all published articles are subject to an Article Publication Fee. Immediately upon publication, all articles in EJC Supplements are made openly available through the journal''s websites. EJC Supplements will consider for publication the proceedings of scientific symposia, commissioned thematic issues, and collections of invited articles on preclinical and basic cancer research, translational oncology, clinical oncology and cancer epidemiology and prevention. Authors considering the publication of a supplement in EJC Supplements are requested to contact the Editorial Office of the EJC to discuss their proposal with the Editor-in-Chief. EJC Supplements is an official journal of the European Organisation for Research and Treatment of Cancer (EORTC), the European CanCer Organisation (ECCO) and the European Society of Mastology (EUSOMA).
×
引用
GB/T 7714-2015
复制
MLA
复制
APA
复制
导出至
BibTeX EndNote RefMan NoteFirst NoteExpress
×
提示
您的信息不完整,为了账户安全,请先补充。
现在去补充
×
提示
您因"违规操作"
具体请查看互助需知
我知道了
×
提示
确定
请完成安全验证×
copy
已复制链接
快去分享给好友吧!
我知道了
右上角分享
点击右上角分享
0
联系我们:info@booksci.cn Book学术提供免费学术资源搜索服务,方便国内外学者检索中英文文献。致力于提供最便捷和优质的服务体验。 Copyright © 2023 布克学术 All rights reserved.
京ICP备2023020795号-1
ghs 京公网安备 11010802042870号
Book学术文献互助
Book学术文献互助群
群 号:604180095
Book学术官方微信