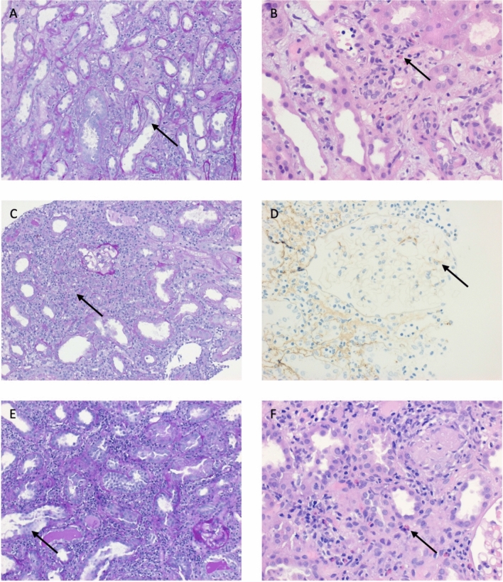
Acute interstitial nephritis after vaccination with BNT162b2.

IF 0.1 0 LITERARY THEORY & CRITICISM
Valenciana Pub Date : 2022-04-01 Epub Date: 2022-03-07 DOI:10.1007/s40620-022-01275-3
Sonja Rieckmann, Felix S Seibert, Maximilian Hogeweg, Sebastian Bertram, Adrian A N Doevelaar, Kerstin Amann, Nina Babel, Timm H Westhoff
{"title":"Acute interstitial nephritis after vaccination with BNT162b2.","authors":"Sonja Rieckmann, Felix S Seibert, Maximilian Hogeweg, Sebastian Bertram, Adrian A N Doevelaar, Kerstin Amann, Nina Babel, Timm H Westhoff","doi":"10.1007/s40620-022-01275-3","DOIUrl":null,"url":null,"abstract":"","PeriodicalId":40683,"journal":{"name":"Valenciana","volume":"1 1","pages":"779-782"},"PeriodicalIF":0.1000,"publicationDate":"2022-04-01","publicationTypes":"Journal Article","fieldsOfStudy":null,"isOpenAccess":false,"openAccessPdf":"https://www.ncbi.nlm.nih.gov/pmc/articles/PMC8899450/pdf/","citationCount":"0","resultStr":null,"platform":"Semanticscholar","paperid":null,"PeriodicalName":"Valenciana","FirstCategoryId":"3","ListUrlMain":"https://doi.org/10.1007/s40620-022-01275-3","RegionNum":0,"RegionCategory":null,"ArticlePicture":[],"TitleCN":null,"AbstractTextCN":null,"PMCID":null,"EPubDate":"2022/3/7 0:00:00","PubModel":"Epub","JCR":"0","JCRName":"LITERARY THEORY & CRITICISM","Score":null,"Total":0}
引用次数: 0

Abstract Image

接种 BNT162b2 疫苗后出现急性间质性肾炎。
本文章由计算机程序翻译,如有差异,请以英文原文为准。
求助全文
约1分钟内获得全文 求助全文
来源期刊
Valenciana
Valenciana LITERARY THEORY & CRITICISM-
自引率
0.00%
发文量
6
审稿时长
5 weeks
×
引用
GB/T 7714-2015
复制
MLA
复制
APA
复制
导出至
BibTeX EndNote RefMan NoteFirst NoteExpress
×
提示
您的信息不完整,为了账户安全,请先补充。
现在去补充
×
提示
您因"违规操作"
具体请查看互助需知
我知道了
×
提示
确定
请完成安全验证×
copy
已复制链接
快去分享给好友吧!
我知道了
右上角分享
点击右上角分享
0
联系我们:info@booksci.cn Book学术提供免费学术资源搜索服务,方便国内外学者检索中英文文献。致力于提供最便捷和优质的服务体验。 Copyright © 2023 布克学术 All rights reserved.
京ICP备2023020795号-1
ghs 京公网安备 11010802042870号
Book学术文献互助
Book学术文献互助群
群 号:604180095
Book学术官方微信