Transpedicular Onyx embolization of a thoracic hemangioma with robotic assistance: illustrative case.

IF 0.3 4区 工程技术 Q4 CHEMISTRY, MULTIDISCIPLINARY
Fibre Chemistry Pub Date : 2023-06-26 DOI:10.3171/CASE2348
Andrew M Hersh, Yike Jin, Risheng Xu, A Daniel Davidar, Carly Weber-Levine, L Fernando Gonzalez, Nicholas Theodore
{"title":"Transpedicular Onyx embolization of a thoracic hemangioma with robotic assistance: illustrative case.","authors":"Andrew M Hersh, Yike Jin, Risheng Xu, A Daniel Davidar, Carly Weber-Levine, L Fernando Gonzalez, Nicholas Theodore","doi":"10.3171/CASE2348","DOIUrl":null,"url":null,"abstract":"<p><strong>Background: </strong>Hemangiomas are common benign vascular lesions that rarely present with pain and neurological deficits. Symptomatic lesions are often treated with endovascular embolization. However, transarterial embolization can be technically challenging depending on the size and caliber of the vessels. Moreover, embolization can result in osteonecrosis and vertebral collapse.</p><p><strong>Observations: </strong>Here the authors report the first case of a T10 vertebral hemangioma treated with transpedicular Onyx embolization aided by a robotic platform that guided pedicle cannulation and Craig needle placement. An intravenous catheter was attached to the needle and dimethylsulfoxide was infused, followed by Onyx under real-time fluoroscopy. Repeat angiography demonstrated significantly reduced contrast opacification of the vertebral body without compromise of the segmental artery. A T9-11 pedicle screw fixation was performed to optimize long-term stability. The patient's symptoms improved and was stable at the 6-month follow-up.</p><p><strong>Lessons: </strong>Transpedicular embolization of vertebral hemangiomas can be performed successfully under robotic navigation guidance, avoiding complications seen with the intra-arterial approach and allowing for simultaneous pedicle screw fixation to prevent collapse and delayed kyphotic deformity. During the same procedure, a biopsy specimen can be collected for pathology. This technique can help to alleviate patient symptoms while avoiding complications associated with transarterial embolization or open resection.</p>","PeriodicalId":12230,"journal":{"name":"Fibre Chemistry","volume":"1 1","pages":""},"PeriodicalIF":0.3000,"publicationDate":"2023-06-26","publicationTypes":"Journal Article","fieldsOfStudy":null,"isOpenAccess":false,"openAccessPdf":"https://www.ncbi.nlm.nih.gov/pmc/articles/PMC10550547/pdf/","citationCount":"1","resultStr":null,"platform":"Semanticscholar","paperid":null,"PeriodicalName":"Fibre Chemistry","FirstCategoryId":"1085","ListUrlMain":"https://doi.org/10.3171/CASE2348","RegionNum":4,"RegionCategory":"工程技术","ArticlePicture":[],"TitleCN":null,"AbstractTextCN":null,"PMCID":null,"EPubDate":"","PubModel":"","JCR":"Q4","JCRName":"CHEMISTRY, MULTIDISCIPLINARY","Score":null,"Total":0}
引用次数: 1

Abstract

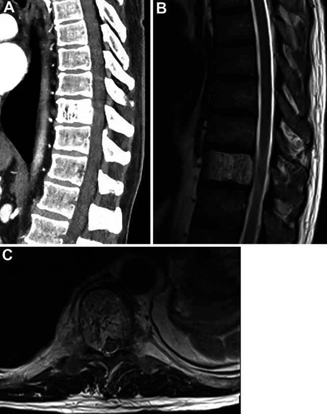
Background: Hemangiomas are common benign vascular lesions that rarely present with pain and neurological deficits. Symptomatic lesions are often treated with endovascular embolization. However, transarterial embolization can be technically challenging depending on the size and caliber of the vessels. Moreover, embolization can result in osteonecrosis and vertebral collapse.

Observations: Here the authors report the first case of a T10 vertebral hemangioma treated with transpedicular Onyx embolization aided by a robotic platform that guided pedicle cannulation and Craig needle placement. An intravenous catheter was attached to the needle and dimethylsulfoxide was infused, followed by Onyx under real-time fluoroscopy. Repeat angiography demonstrated significantly reduced contrast opacification of the vertebral body without compromise of the segmental artery. A T9-11 pedicle screw fixation was performed to optimize long-term stability. The patient's symptoms improved and was stable at the 6-month follow-up.

Lessons: Transpedicular embolization of vertebral hemangiomas can be performed successfully under robotic navigation guidance, avoiding complications seen with the intra-arterial approach and allowing for simultaneous pedicle screw fixation to prevent collapse and delayed kyphotic deformity. During the same procedure, a biopsy specimen can be collected for pathology. This technique can help to alleviate patient symptoms while avoiding complications associated with transarterial embolization or open resection.

Abstract Image

Abstract Image

Abstract Image

机器人辅助下经椎弓根玛瑙栓塞胸腔血管瘤:说明性病例
背景:血管瘤是常见的良性血管病变,很少表现为疼痛和神经功能障碍。有症状的病变通常采用血管内栓塞治疗。然而,根据血管的大小和口径,经动脉栓塞在技术上具有挑战性。此外,栓塞可导致骨坏死和椎体塌陷。在这里,作者报告了第一例T10椎体血管瘤,经椎弓根插管和克雷格针放置的机器人平台辅助下,经椎弓根玛窦栓塞治疗。在实时透视下,置静脉导管于针上,输注二甲亚砜,随后注射玛瑙。重复血管造影显示椎体造影混浊明显减少,没有损害节段动脉。采用T9-11椎弓根螺钉固定以优化长期稳定性。患者症状改善,随访6个月后病情稳定。结论:在机器人导航引导下,经椎弓根栓塞椎体血管瘤可以成功地进行,避免了动脉内入路的并发症,并允许同时进行椎弓根螺钉固定,以防止塌陷和延迟性后凸畸形。在同一过程中,可以收集活检标本进行病理检查。这项技术可以帮助缓解患者的症状,同时避免与经动脉栓塞或切开切除相关的并发症。
本文章由计算机程序翻译,如有差异,请以英文原文为准。
求助全文
约1分钟内获得全文 求助全文
来源期刊
Fibre Chemistry
Fibre Chemistry 工程技术-材料科学:纺织
CiteScore
0.70
自引率
60.00%
发文量
70
审稿时长
6-12 weeks
期刊介绍: Fibre Chemistry publishes original research and review articles in the field of man-made fibre production and application. The journal offers scientific and technical articles on the following aspects: chemistry, technology, machinery and economics of man-made production; the initial monomers and polymers; the properties of man-made fibres and their processing in various industry branches (textiles, rubber, composites, etc).
×
引用
GB/T 7714-2015
复制
MLA
复制
APA
复制
导出至
BibTeX EndNote RefMan NoteFirst NoteExpress
×
提示
您的信息不完整,为了账户安全,请先补充。
现在去补充
×
提示
您因"违规操作"
具体请查看互助需知
我知道了
×
提示
确定
请完成安全验证×
copy
已复制链接
快去分享给好友吧!
我知道了
右上角分享
点击右上角分享
0
联系我们:info@booksci.cn Book学术提供免费学术资源搜索服务,方便国内外学者检索中英文文献。致力于提供最便捷和优质的服务体验。 Copyright © 2023 布克学术 All rights reserved.
京ICP备2023020795号-1
ghs 京公网安备 11010802042870号
Book学术文献互助
Book学术文献互助群
群 号:604180095
Book学术官方微信