Implantation in the lower half of the uterine cavity and decreased trophoblastic thickness can predict subsequent miscarriage: a prospective cohort study.

IF 3.4 Q2 REPRODUCTIVE BIOLOGY
Reproduction & fertility Pub Date : 2023-12-13 Print Date: 2023-10-01 DOI:10.1530/RAF-23-0044
Lewis Nancarrow, Nicola Tempest, Suganthi Vinayagam, Steven Lane, Andrew J Drakeley, Roy Homburg, Richard Russell, Dharani K Hapangama
{"title":"Implantation in the lower half of the uterine cavity and decreased trophoblastic thickness can predict subsequent miscarriage: a prospective cohort study.","authors":"Lewis Nancarrow, Nicola Tempest, Suganthi Vinayagam, Steven Lane, Andrew J Drakeley, Roy Homburg, Richard Russell, Dharani K Hapangama","doi":"10.1530/RAF-23-0044","DOIUrl":null,"url":null,"abstract":"<p><strong>Abstract: </strong>Embryo implantation is vital for successful conception but remains to be fully understood. Trophoblast invasion is key for implantation, with anchorage and depth of placentation determined by its extent. There is a dearth of synchronous information regarding IVF, implantation site, and trophoblastic thickness (TT). Our aim was to determine whether pregnancy implantation site and TT, had an impact on outcomes of IVF pregnancies. This prospective observational study was undertaken at a tertiary referral UK fertility unit over 14 months, collecting data on implantation site and TT from three-dimensional (3D) images of the uterus following early pregnancy scan. Of the 300 women recruited, 277 (92%) had live births, 20 (7%) miscarried, 2 (0.7%) had stillbirths, and 1 (0.3%) had a termination. Significantly more pregnancies that resulted in miscarriage (7/20, 35%) were located in the lower uterine cavity when compared to ongoing pregnancies (15/277, 5%) (P < 0.01). TT was significantly higher in ongoing pregnancies when compared with those who miscarried (7.2 mm vs 5.5 mm; P < 0.01). Implantation in the lower half of the uterine cavity and decreased TT are significantly associated with an increased rate of miscarriage. Identification of those at risk should prompt increased monitoring with the aim of supporting these pregnancies.</p><p><strong>Lay summary: </strong>Implantation of an embryo in the womb is vital for a successful pregnancy. We wanted to find out whether findings on an ultrasound scan in early pregnancy had an impact on outcomes of IVF pregnancies. Three hundred women were recruited to the study, 277 (92%) had live births and unfortunately 20 (7%) had a miscarriage, 2 (0.7%) had stillbirths, and 1 (0.3%) had a termination. Many more of the pregnancies that miscarried implanted in the lower part of the womb. The thickness of the infiltration of the pregnancy into the womb was significantly higher in the ongoing pregnancies. We concluded that implantation in the lower half of the womb and reduced infiltration of the pregnancy seen on scan are associated with an increased rate of miscarriage. We propose that when we identify those at risk, we should increase monitoring, with the aim of supporting these pregnancies.</p>","PeriodicalId":101312,"journal":{"name":"Reproduction & fertility","volume":" ","pages":""},"PeriodicalIF":3.4000,"publicationDate":"2023-12-13","publicationTypes":"Journal Article","fieldsOfStudy":null,"isOpenAccess":false,"openAccessPdf":"https://www.ncbi.nlm.nih.gov/pmc/articles/PMC10762594/pdf/","citationCount":"0","resultStr":null,"platform":"Semanticscholar","paperid":null,"PeriodicalName":"Reproduction & fertility","FirstCategoryId":"1085","ListUrlMain":"https://doi.org/10.1530/RAF-23-0044","RegionNum":0,"RegionCategory":null,"ArticlePicture":[],"TitleCN":null,"AbstractTextCN":null,"PMCID":null,"EPubDate":"2023/10/1 0:00:00","PubModel":"Print","JCR":"Q2","JCRName":"REPRODUCTIVE BIOLOGY","Score":null,"Total":0}
引用次数: 0

Abstract

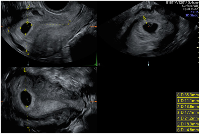
Abstract: Embryo implantation is vital for successful conception but remains to be fully understood. Trophoblast invasion is key for implantation, with anchorage and depth of placentation determined by its extent. There is a dearth of synchronous information regarding IVF, implantation site, and trophoblastic thickness (TT). Our aim was to determine whether pregnancy implantation site and TT, had an impact on outcomes of IVF pregnancies. This prospective observational study was undertaken at a tertiary referral UK fertility unit over 14 months, collecting data on implantation site and TT from three-dimensional (3D) images of the uterus following early pregnancy scan. Of the 300 women recruited, 277 (92%) had live births, 20 (7%) miscarried, 2 (0.7%) had stillbirths, and 1 (0.3%) had a termination. Significantly more pregnancies that resulted in miscarriage (7/20, 35%) were located in the lower uterine cavity when compared to ongoing pregnancies (15/277, 5%) (P < 0.01). TT was significantly higher in ongoing pregnancies when compared with those who miscarried (7.2 mm vs 5.5 mm; P < 0.01). Implantation in the lower half of the uterine cavity and decreased TT are significantly associated with an increased rate of miscarriage. Identification of those at risk should prompt increased monitoring with the aim of supporting these pregnancies.

Lay summary: Implantation of an embryo in the womb is vital for a successful pregnancy. We wanted to find out whether findings on an ultrasound scan in early pregnancy had an impact on outcomes of IVF pregnancies. Three hundred women were recruited to the study, 277 (92%) had live births and unfortunately 20 (7%) had a miscarriage, 2 (0.7%) had stillbirths, and 1 (0.3%) had a termination. Many more of the pregnancies that miscarried implanted in the lower part of the womb. The thickness of the infiltration of the pregnancy into the womb was significantly higher in the ongoing pregnancies. We concluded that implantation in the lower half of the womb and reduced infiltration of the pregnancy seen on scan are associated with an increased rate of miscarriage. We propose that when we identify those at risk, we should increase monitoring, with the aim of supporting these pregnancies.

Abstract Image

Abstract Image

Abstract Image

子宫腔下半部植入和滋养层厚度减少可以预测流产:一项前瞻性队列研究。
胚胎植入对成功受孕至关重要,但仍有待充分了解。滋养层侵入是植入的关键,胎盘的固定和深度取决于其范围。缺乏关于体外受精(IVF)、植入部位和滋养层厚度(TT)的同步信息。我们的目的是确定妊娠植入部位和TT是否对试管婴儿妊娠的结果有影响。这项前瞻性观察性研究是在英国三级转诊生育机构进行的,为期14个月,从早孕扫描后的子宫三维(3D)图像中收集植入部位和TT的数据。在招募的300名妇女中,277名(92%)活产,20名(7%)流产,2名(0.7%)死产,1名(0.3%)终止妊娠。与正在进行的妊娠15/277(5%)相比,导致流产的妊娠7/20(35%)明显更多地位于下宫腔(p
本文章由计算机程序翻译,如有差异,请以英文原文为准。
求助全文
约1分钟内获得全文 求助全文
来源期刊
CiteScore
2.80
自引率
0.00%
发文量
0
×
引用
GB/T 7714-2015
复制
MLA
复制
APA
复制
导出至
BibTeX EndNote RefMan NoteFirst NoteExpress
×
提示
您的信息不完整,为了账户安全,请先补充。
现在去补充
×
提示
您因"违规操作"
具体请查看互助需知
我知道了
×
提示
确定
请完成安全验证×
copy
已复制链接
快去分享给好友吧!
我知道了
右上角分享
点击右上角分享
0
联系我们:info@booksci.cn Book学术提供免费学术资源搜索服务,方便国内外学者检索中英文文献。致力于提供最便捷和优质的服务体验。 Copyright © 2023 布克学术 All rights reserved.
京ICP备2023020795号-1
ghs 京公网安备 11010802042870号
Book学术文献互助
Book学术文献互助群
群 号:604180095
Book学术官方微信