Congenital Hepatic Fibrosis in a 2-Year-Old Child Presenting with Fever of Unknown Origin.

IF 0.5 Q4 PEDIATRICS
Case Reports in Pediatrics Pub Date : 2023-11-01 eCollection Date: 2023-01-01 DOI:10.1155/2023/4497784
Michael P Penfold, Wentiirim B Annankra, Nathan C Hull, Margarita Corredor
{"title":"Congenital Hepatic Fibrosis in a 2-Year-Old Child Presenting with Fever of Unknown Origin.","authors":"Michael P Penfold, Wentiirim B Annankra, Nathan C Hull, Margarita Corredor","doi":"10.1155/2023/4497784","DOIUrl":null,"url":null,"abstract":"<p><p>Congenital hepatic fibrosis is a rare, autosomal recessive, fibro-polycystic disease resulting from ductal plate malformation, leading to proliferation and fibrosis of bile ducts. Progressive hepatic fibrosis leads to portal hypertension and varices which can present with life threatening gastrointestinal hemorrhage. We report a case of congenital hepatic fibrosis in a 2-year-old child who presented with 8 days of fever without any significant medical history or physical examination findings.</p>","PeriodicalId":9623,"journal":{"name":"Case Reports in Pediatrics","volume":"2023 ","pages":"4497784"},"PeriodicalIF":0.5000,"publicationDate":"2023-11-01","publicationTypes":"Journal Article","fieldsOfStudy":null,"isOpenAccess":false,"openAccessPdf":"https://www.ncbi.nlm.nih.gov/pmc/articles/PMC10632057/pdf/","citationCount":"0","resultStr":null,"platform":"Semanticscholar","paperid":null,"PeriodicalName":"Case Reports in Pediatrics","FirstCategoryId":"1085","ListUrlMain":"https://doi.org/10.1155/2023/4497784","RegionNum":0,"RegionCategory":null,"ArticlePicture":[],"TitleCN":null,"AbstractTextCN":null,"PMCID":null,"EPubDate":"2023/1/1 0:00:00","PubModel":"eCollection","JCR":"Q4","JCRName":"PEDIATRICS","Score":null,"Total":0}
引用次数: 0

Abstract

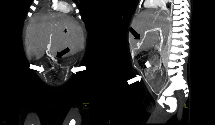
Congenital hepatic fibrosis is a rare, autosomal recessive, fibro-polycystic disease resulting from ductal plate malformation, leading to proliferation and fibrosis of bile ducts. Progressive hepatic fibrosis leads to portal hypertension and varices which can present with life threatening gastrointestinal hemorrhage. We report a case of congenital hepatic fibrosis in a 2-year-old child who presented with 8 days of fever without any significant medical history or physical examination findings.

Abstract Image

Abstract Image

Abstract Image

2岁儿童先天性肝纤维化伴不明原因发热。
先天性肝纤维化是一种罕见的常染色体隐性遗传性纤维多囊病,由导管板畸形引起,可导致胆管增生和纤维化。进行性肝纤维化可导致门静脉高压和静脉曲张,并伴有危及生命的胃肠道出血。我们报告了一例先天性肝纤维化的2岁儿童,他表现为8 发烧天数,无任何重大病史或体检结果。
本文章由计算机程序翻译,如有差异,请以英文原文为准。
求助全文
约1分钟内获得全文 求助全文
来源期刊
自引率
11.10%
发文量
48
审稿时长
13 weeks
×
引用
GB/T 7714-2015
复制
MLA
复制
APA
复制
导出至
BibTeX EndNote RefMan NoteFirst NoteExpress
×
提示
您的信息不完整,为了账户安全,请先补充。
现在去补充
×
提示
您因"违规操作"
具体请查看互助需知
我知道了
×
提示
确定
请完成安全验证×
copy
已复制链接
快去分享给好友吧!
我知道了
右上角分享
点击右上角分享
0
联系我们:info@booksci.cn Book学术提供免费学术资源搜索服务,方便国内外学者检索中英文文献。致力于提供最便捷和优质的服务体验。 Copyright © 2023 布克学术 All rights reserved.
京ICP备2023020795号-1
ghs 京公网安备 11010802042870号
Book学术文献互助
Book学术文献互助群
群 号:604180095
Book学术官方微信