Prognostic Value of Histopathological Thrombus Age in Large Vessel Occlusion-Related Stroke.

IF 2.1 Q3 PERIPHERAL VASCULAR DISEASE
Cerebrovascular Diseases Extra Pub Date : 2023-01-01 Epub Date: 2023-11-06 DOI:10.1159/000534937
Bart Van Gorsel, Michel J M Remmers, Louwerens D Vos, Bas E Scholzel, Dirk A W Haans, Ruud A H M Aarts, Rob J Versteylen, Anouk G W Van Norden, Casper A M M Van Oers, Jeroen Vos, Sander J J IJsselmuiden, Ben J L Van Den Branden, Onno J De Boer, Farshad Imani, Marco Alings, Kartika R Pertiwi, Robbert J De Winter, Ishita Miah, Allard C Van Der Wal, Tim P Van De Hoef, Martijn Meuwissen
{"title":"Prognostic Value of Histopathological Thrombus Age in Large Vessel Occlusion-Related Stroke.","authors":"Bart Van Gorsel, Michel J M Remmers, Louwerens D Vos, Bas E Scholzel, Dirk A W Haans, Ruud A H M Aarts, Rob J Versteylen, Anouk G W Van Norden, Casper A M M Van Oers, Jeroen Vos, Sander J J IJsselmuiden, Ben J L Van Den Branden, Onno J De Boer, Farshad Imani, Marco Alings, Kartika R Pertiwi, Robbert J De Winter, Ishita Miah, Allard C Van Der Wal, Tim P Van De Hoef, Martijn Meuwissen","doi":"10.1159/000534937","DOIUrl":null,"url":null,"abstract":"<p><strong>Introduction: </strong>Acute mechanical thrombectomy (MT) is the preferred treatment for large vessel occlusion-related stroke. Histopathological research on the obtained occlusive embolic thrombus may provide information regarding the aetiology and pathology of the lesion to predict prognosis and propose possible future acute ischaemic stroke therapy.</p><p><strong>Methods: </strong>A total of 75 consecutive patients who presented to the Amphia Hospital with acute large vessel occlusion-related stroke and underwent MT were included in the study. The obtained thrombus materials were subjected to standard histopathological examination. Based on histological criteria, they were considered fresh (&lt;1 day old) or old (&gt;1 day old). Patients were followed for 2 years for documentation of all-cause mortality.</p><p><strong>Results: </strong>Thrombi were classified as fresh in 40 patients (53%) and as older in 35 patients (47%). Univariate Cox regression analysis showed that thrombus age, National Institutes of Health Stroke Scale at hospital admission, and patient age were associated with long-term mortality (p &lt; 0.1). Multivariable Cox hazards and Kaplan-Meier analysis demonstrated that after extensive adjustment for clinical and procedural variables, thrombus age persisted in being independently associated with higher long-term mortality (hazard ratio: 3.34; p = 0.038, log-rank p = 0.013).</p><p><strong>Conclusion: </strong>In this study, older thromboemboli are responsible for almost half of acute large ischaemic strokes. Moreover, the presence of an old thrombus is an independent predictor of mortality in acute large vessel occlusion-related stroke. More research is warranted regarding future therapies based on thrombus composition.</p>","PeriodicalId":45709,"journal":{"name":"Cerebrovascular Diseases Extra","volume":" ","pages":"97-104"},"PeriodicalIF":2.1000,"publicationDate":"2023-01-01","publicationTypes":"Journal Article","fieldsOfStudy":null,"isOpenAccess":false,"openAccessPdf":"https://www.ncbi.nlm.nih.gov/pmc/articles/PMC10697748/pdf/","citationCount":"0","resultStr":null,"platform":"Semanticscholar","paperid":null,"PeriodicalName":"Cerebrovascular Diseases Extra","FirstCategoryId":"1085","ListUrlMain":"https://doi.org/10.1159/000534937","RegionNum":0,"RegionCategory":null,"ArticlePicture":[],"TitleCN":null,"AbstractTextCN":null,"PMCID":null,"EPubDate":"2023/11/6 0:00:00","PubModel":"Epub","JCR":"Q3","JCRName":"PERIPHERAL VASCULAR DISEASE","Score":null,"Total":0}
引用次数: 0

Abstract

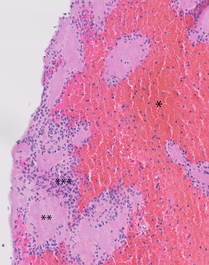
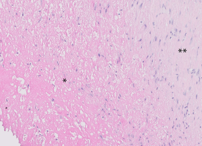
Introduction: Acute mechanical thrombectomy (MT) is the preferred treatment for large vessel occlusion-related stroke. Histopathological research on the obtained occlusive embolic thrombus may provide information regarding the aetiology and pathology of the lesion to predict prognosis and propose possible future acute ischaemic stroke therapy.

Methods: A total of 75 consecutive patients who presented to the Amphia Hospital with acute large vessel occlusion-related stroke and underwent MT were included in the study. The obtained thrombus materials were subjected to standard histopathological examination. Based on histological criteria, they were considered fresh (<1 day old) or old (>1 day old). Patients were followed for 2 years for documentation of all-cause mortality.

Results: Thrombi were classified as fresh in 40 patients (53%) and as older in 35 patients (47%). Univariate Cox regression analysis showed that thrombus age, National Institutes of Health Stroke Scale at hospital admission, and patient age were associated with long-term mortality (p < 0.1). Multivariable Cox hazards and Kaplan-Meier analysis demonstrated that after extensive adjustment for clinical and procedural variables, thrombus age persisted in being independently associated with higher long-term mortality (hazard ratio: 3.34; p = 0.038, log-rank p = 0.013).

Conclusion: In this study, older thromboemboli are responsible for almost half of acute large ischaemic strokes. Moreover, the presence of an old thrombus is an independent predictor of mortality in acute large vessel occlusion-related stroke. More research is warranted regarding future therapies based on thrombus composition.

Abstract Image

Abstract Image

Abstract Image

组织病理学血栓年龄对大血管闭塞相关卒中的预后价值。
引言急性机械性血栓切除术是治疗大血管闭塞性脑卒中的首选方法。对获得的闭塞性栓塞血栓的组织病理学研究可以提供有关病变病因和病理学的信息,以预测预后,并提出未来可能的急性缺血性卒中治疗方案。方法将75例因急性大血管闭塞相关卒中到安菲亚医院就诊并接受机械血栓切除术的连续患者纳入研究。对获得的血栓材料进行标准的组织病理学检查。根据组织学标准,它们被认为是新鲜的(1天大)。对患者进行了两年的随访,以记录全因死亡率。结果新鲜血栓40例(53%),老年血栓35例(47%)。单因素Cox回归分析显示血栓年龄、美国国立卫生研究院入院时卒中量表和患者年龄与长期死亡率相关(p
本文章由计算机程序翻译,如有差异,请以英文原文为准。
求助全文
约1分钟内获得全文 求助全文
来源期刊
Cerebrovascular Diseases Extra
Cerebrovascular Diseases Extra PERIPHERAL VASCULAR DISEASE-
CiteScore
3.50
自引率
0.00%
发文量
16
审稿时长
8 weeks
期刊介绍: This open access and online-only journal publishes original articles covering the entire spectrum of stroke and cerebrovascular research, drawing from a variety of specialties such as neurology, internal medicine, surgery, radiology, epidemiology, cardiology, hematology, psychology and rehabilitation. Offering an international forum, it meets the growing need for sophisticated, up-to-date scientific information on clinical data, diagnostic testing, and therapeutic issues. The journal publishes original contributions, reviews of selected topics as well as clinical investigative studies. All aspects related to clinical advances are considered, while purely experimental work appears only if directly relevant to clinical issues. Cerebrovascular Diseases Extra provides additional contents based on reviewed and accepted submissions to the main journal Cerebrovascular Diseases.
×
引用
GB/T 7714-2015
复制
MLA
复制
APA
复制
导出至
BibTeX EndNote RefMan NoteFirst NoteExpress
×
提示
您的信息不完整,为了账户安全,请先补充。
现在去补充
×
提示
您因"违规操作"
具体请查看互助需知
我知道了
×
提示
确定
请完成安全验证×
copy
已复制链接
快去分享给好友吧!
我知道了
右上角分享
点击右上角分享
0
联系我们:info@booksci.cn Book学术提供免费学术资源搜索服务,方便国内外学者检索中英文文献。致力于提供最便捷和优质的服务体验。 Copyright © 2023 布克学术 All rights reserved.
京ICP备2023020795号-1
ghs 京公网安备 11010802042870号
Book学术文献互助
Book学术文献互助群
群 号:604180095
Book学术官方微信