Synchronous T-lymphoblastic lymphoma and neuroblastoma in a 3-yr-old with novel germline SMARCA4 and EZH2 variants.

IF 1.8 Q3 MEDICINE, RESEARCH & EXPERIMENTAL
Cold Spring Harbor Molecular Case Studies Pub Date : 2024-01-10 Print Date: 2023-12-01 DOI:10.1101/mcs.a006286
Pauline Tibout, Joel Livingston, Nisha Kanwar, Kyoko E Yuki, Adam Shlien, Bo Ngan, Meredith S Irwin, Daniel A Morgenstern, Johann Hitzler, Anita Villani, Sarah Cohen-Gogo
{"title":"Synchronous T-lymphoblastic lymphoma and neuroblastoma in a 3-yr-old with novel germline <i>SMARCA4</i> and <i>EZH2</i> variants.","authors":"Pauline Tibout, Joel Livingston, Nisha Kanwar, Kyoko E Yuki, Adam Shlien, Bo Ngan, Meredith S Irwin, Daniel A Morgenstern, Johann Hitzler, Anita Villani, Sarah Cohen-Gogo","doi":"10.1101/mcs.a006286","DOIUrl":null,"url":null,"abstract":"<p><p>T-lymphoblastic lymphoma (T-LLy) is the most common lymphoblastic lymphoma in children and often presents with a mediastinal mass. Lymphomatous suprarenal masses are possible but rare. Here, we discuss the case of a previously healthy 3-yr-old male who presented with mediastinal T-LLy with bilateral suprarenal masses. Following initial treatment, surgical biopsy of persisting adrenal masses revealed bilateral neuroblastoma (NBL). A clinical genetics panel for germline cancer predisposition did not identify any pathogenic variants. Combination large panel (864 genes) profiling analysis in the context of a precision oncology study revealed two novel likely pathogenic heterozygous variants: <i>SMARCA4</i> c.1420-1G > T p.? and <i>EZH2</i> c.1943G > C p.(Ile631Phefs*44). Somatic analysis revealed potential second hits/somatic variants in <i>EZH2</i> (in the T-LLy) and a segmental loss in Chromosome 19p encompassing <i>SMARCA4</i> (in the NBL). Synchronous cancers, especially at a young age, warrant genetic evaluation for cancer predisposition; enrollment in a precision oncology program assessing germline and tumor DNA can fulfill that purpose, particularly when standard first-line genetic testing is negative and in the setting of tumors that are not classic for common cancer predisposition syndromes.</p>","PeriodicalId":10360,"journal":{"name":"Cold Spring Harbor Molecular Case Studies","volume":" ","pages":""},"PeriodicalIF":1.8000,"publicationDate":"2024-01-10","publicationTypes":"Journal Article","fieldsOfStudy":null,"isOpenAccess":false,"openAccessPdf":"https://www.ncbi.nlm.nih.gov/pmc/articles/PMC10815281/pdf/","citationCount":"0","resultStr":null,"platform":"Semanticscholar","paperid":null,"PeriodicalName":"Cold Spring Harbor Molecular Case Studies","FirstCategoryId":"1085","ListUrlMain":"https://doi.org/10.1101/mcs.a006286","RegionNum":0,"RegionCategory":null,"ArticlePicture":[],"TitleCN":null,"AbstractTextCN":null,"PMCID":null,"EPubDate":"2023/12/1 0:00:00","PubModel":"Print","JCR":"Q3","JCRName":"MEDICINE, RESEARCH & EXPERIMENTAL","Score":null,"Total":0}
引用次数: 0

Abstract

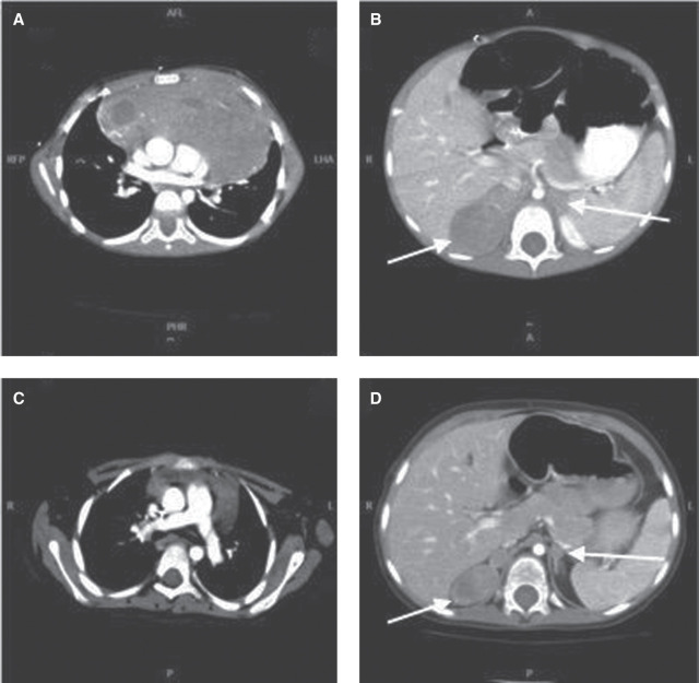
T-lymphoblastic lymphoma (T-LLy) is the most common lymphoblastic lymphoma in children and often presents with a mediastinal mass. Lymphomatous suprarenal masses are possible but rare. Here, we discuss the case of a previously healthy 3-yr-old male who presented with mediastinal T-LLy with bilateral suprarenal masses. Following initial treatment, surgical biopsy of persisting adrenal masses revealed bilateral neuroblastoma (NBL). A clinical genetics panel for germline cancer predisposition did not identify any pathogenic variants. Combination large panel (864 genes) profiling analysis in the context of a precision oncology study revealed two novel likely pathogenic heterozygous variants: SMARCA4 c.1420-1G > T p.? and EZH2 c.1943G > C p.(Ile631Phefs*44). Somatic analysis revealed potential second hits/somatic variants in EZH2 (in the T-LLy) and a segmental loss in Chromosome 19p encompassing SMARCA4 (in the NBL). Synchronous cancers, especially at a young age, warrant genetic evaluation for cancer predisposition; enrollment in a precision oncology program assessing germline and tumor DNA can fulfill that purpose, particularly when standard first-line genetic testing is negative and in the setting of tumors that are not classic for common cancer predisposition syndromes.

Abstract Image

Abstract Image

一例3岁新种系SMARCA4和EZH2变异的同步T淋巴细胞淋巴瘤和神经母细胞瘤。
T淋巴细胞性淋巴瘤是儿童中最常见的淋巴细胞性淋巴瘤,通常表现为纵隔肿块。肾上淋巴瘤肿块是可能的,但很罕见。在这里,我们讨论了一例先前健康的3岁男性,他患有纵隔T淋巴细胞淋巴瘤(T-LLy),伴有双侧肾上肿块。初次治疗后,对持续存在的肾上腺肿块进行手术活检,发现双侧神经母细胞瘤(NBL)。种系癌症易感性的临床遗传学小组没有发现任何致病性变异。在一项精确肿瘤学研究的背景下,联合大面板(864个基因)图谱分析揭示了两种新的可能致病的杂合变体:SMARCA4,c.1420-1G>T,p。?和EZH2 c.1943G>c p.(Ile631Phefs*44)。体细胞分析揭示了EZH2中潜在的第二次命中/体细胞变异(在T-LLy中)和包含SMARCA4的染色体19p中的节段缺失(在NBL中)。同步癌症,尤其是年轻时的癌症,需要对癌症易感性进行基因评估;参与精确肿瘤学项目评估种系和肿瘤DNA可以实现这一目的,特别是当标准一线基因检测呈阴性时,以及在常见癌症易感性综合征的非经典肿瘤环境中。
本文章由计算机程序翻译,如有差异,请以英文原文为准。
求助全文
约1分钟内获得全文 求助全文
来源期刊
Cold Spring Harbor Molecular Case Studies
Cold Spring Harbor Molecular Case Studies MEDICINE, RESEARCH & EXPERIMENTAL-
CiteScore
3.20
自引率
0.00%
发文量
54
期刊介绍: Cold Spring Harbor Molecular Case Studies is an open-access, peer-reviewed, international journal in the field of precision medicine. Articles in the journal present genomic and molecular analyses of individuals or cohorts alongside their clinical presentations and phenotypic information. The journal''s purpose is to rapidly share insights into disease development and treatment gained by application of genomics, proteomics, metabolomics, biomarker analysis, and other approaches. The journal covers the fields of cancer, complex diseases, monogenic disorders, neurological conditions, orphan diseases, infectious disease, gene therapy, and pharmacogenomics. It has a rapid peer-review process that is based on technical evaluation of the analyses performed, not the novelty of findings, and offers a swift, clear path to publication. The journal publishes: Research Reports presenting detailed case studies of individuals and small cohorts, Research Articles describing more extensive work using larger cohorts and/or functional analyses, Rapid Communications presenting the discovery of a novel variant and/or novel phenotype associated with a known disease gene, Rapid Cancer Communications presenting the discovery of a novel variant or combination of variants in a cancer type, Variant Discrepancy Resolution describing efforts to resolve differences or update variant interpretations in ClinVar through case-level data sharing, Follow-up Reports linked to previous observations, Plus Review Articles, Editorials, and Position Statements on best practices for research in precision medicine.
×
引用
GB/T 7714-2015
复制
MLA
复制
APA
复制
导出至
BibTeX EndNote RefMan NoteFirst NoteExpress
×
提示
您的信息不完整,为了账户安全,请先补充。
现在去补充
×
提示
您因"违规操作"
具体请查看互助需知
我知道了
×
提示
确定
请完成安全验证×
copy
已复制链接
快去分享给好友吧!
我知道了
右上角分享
点击右上角分享
0
联系我们:info@booksci.cn Book学术提供免费学术资源搜索服务,方便国内外学者检索中英文文献。致力于提供最便捷和优质的服务体验。 Copyright © 2023 布克学术 All rights reserved.
京ICP备2023020795号-1
ghs 京公网安备 11010802042870号
Book学术文献互助
Book学术文献互助群
群 号:604180095
Book学术官方微信