Treating Parvovirus Triggered Refractory Hemolytic Anemia with Rituximab in Renal Transplant Recipients - A Report of Two Cases.

IF 0.2 Q4 TRANSPLANTATION
Chilaka Rajesh, Utkarsh Mishra, Anna Valsan, Elenjickal Elias John, Jeethu Joseph Eapen, Athul Thomas, Sabina Yusuf, Suceena Alexander, Vinoi George David, Santosh Varughese
{"title":"Treating Parvovirus Triggered Refractory Hemolytic Anemia with Rituximab in Renal Transplant Recipients - A Report of Two Cases.","authors":"Chilaka Rajesh, Utkarsh Mishra, Anna Valsan, Elenjickal Elias John, Jeethu Joseph Eapen, Athul Thomas, Sabina Yusuf, Suceena Alexander, Vinoi George David, Santosh Varughese","doi":"10.4103/ijot.ijot_34_22","DOIUrl":null,"url":null,"abstract":"<p><p>Parvovirus B19 is a small (26 nm), nonenveloped, single-stranded DNA (5.6-kb) virus. The only known host for parvovirus B19 is humans. Parvovirus B19 is directly cytotoxic to erythroid precursor cells of the colony- and burst-forming units. Human parvovirus B19 is the etiologic agent of erythema infectiosum and chronic pure red cell aplasia in immunocompromised individuals. Acute parvovirus B19 infection should be suspected in immunocompromised patients, who present with reticulocytopenic hemolytic anemia and thrombocytopenia. Intravenous immunoglobulin (IVIg) is the standard treatment for parvovirus-induced cytopenias. We report two cases of postrenal transplant who presented with reticulocytopenic anemia and were found to have parvovirus infection. They did not respond to conventional treatment with intravenous gamma globulin. Both patients were treated with rituximab with which they had improvement in clinical and hematological parameters. There was no previous documentation of using rituximab in the treatment of parvovirus-triggered autoimmune hemolytic anemia postrenal transplant patients. This article illustrates how rituximab will be helpful in this setting, of course, it is a new thought but requires further studies and validation.</p>","PeriodicalId":37455,"journal":{"name":"Indian Journal of Transplantation","volume":"1 1","pages":"139-142"},"PeriodicalIF":0.2000,"publicationDate":"2023-01-01","publicationTypes":"Journal Article","fieldsOfStudy":null,"isOpenAccess":false,"openAccessPdf":"https://www.ncbi.nlm.nih.gov/pmc/articles/PMC7615908/pdf/","citationCount":"0","resultStr":null,"platform":"Semanticscholar","paperid":null,"PeriodicalName":"Indian Journal of Transplantation","FirstCategoryId":"1085","ListUrlMain":"https://doi.org/10.4103/ijot.ijot_34_22","RegionNum":0,"RegionCategory":null,"ArticlePicture":[],"TitleCN":null,"AbstractTextCN":null,"PMCID":null,"EPubDate":"","PubModel":"","JCR":"Q4","JCRName":"TRANSPLANTATION","Score":null,"Total":0}
引用次数: 0

Abstract

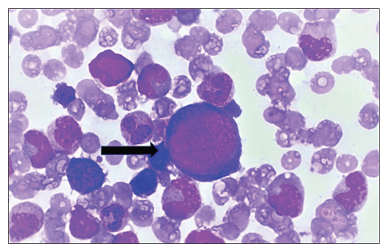
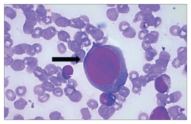
Parvovirus B19 is a small (26 nm), nonenveloped, single-stranded DNA (5.6-kb) virus. The only known host for parvovirus B19 is humans. Parvovirus B19 is directly cytotoxic to erythroid precursor cells of the colony- and burst-forming units. Human parvovirus B19 is the etiologic agent of erythema infectiosum and chronic pure red cell aplasia in immunocompromised individuals. Acute parvovirus B19 infection should be suspected in immunocompromised patients, who present with reticulocytopenic hemolytic anemia and thrombocytopenia. Intravenous immunoglobulin (IVIg) is the standard treatment for parvovirus-induced cytopenias. We report two cases of postrenal transplant who presented with reticulocytopenic anemia and were found to have parvovirus infection. They did not respond to conventional treatment with intravenous gamma globulin. Both patients were treated with rituximab with which they had improvement in clinical and hematological parameters. There was no previous documentation of using rituximab in the treatment of parvovirus-triggered autoimmune hemolytic anemia postrenal transplant patients. This article illustrates how rituximab will be helpful in this setting, of course, it is a new thought but requires further studies and validation.

Abstract Image

Abstract Image

Abstract Image

用利妥昔单抗治疗肾移植受者帕罗病毒引发的难治性溶血性贫血--两个病例的报告。
副病毒 B19 是一种小型(26 nm)、无包膜、单链 DNA(5.6 kb)病毒。副病毒 B19 唯一已知的宿主是人类。副病毒 B19 对集落形成单位和爆发形成单位的红细胞前体细胞具有直接的细胞毒性。人类 parvovirus B19 是免疫功能低下者感染性红斑和慢性纯红细胞增生症的病原体。免疫力低下的患者出现网织红细胞溶血性贫血和血小板减少时,应怀疑是否感染了急性 parvovirus B19。静脉注射免疫球蛋白(IVIg)是治疗副病毒引起的细胞减少症的标准疗法。我们报告了两例肾移植后出现网状细胞减少性贫血的病例,发现他们感染了副病毒。他们对静脉注射丙种球蛋白的常规治疗无效。两名患者均接受了利妥昔单抗治疗,临床和血液学指标均有所改善。此前还没有文献记载使用利妥昔单抗治疗肾移植后患者因副病毒引发的自身免疫性溶血性贫血。这篇文章说明了利妥昔单抗如何在这种情况下发挥作用,当然,这是一种新思路,但还需要进一步的研究和验证。
本文章由计算机程序翻译,如有差异,请以英文原文为准。
求助全文
约1分钟内获得全文 求助全文
来源期刊
Indian Journal of Transplantation
Indian Journal of Transplantation Medicine-Transplantation
CiteScore
0.40
自引率
33.30%
发文量
25
审稿时长
21 weeks
期刊介绍: Indian Journal of Transplantation, an official publication of Indian Society of Organ Transplantation (ISOT), is a peer-reviewed print + online quarterly national journal. The journal''s full text is available online at http://www.ijtonline.in. The journal allows free access (Open Access) to its contents and permits authors to self-archive final accepted version of the articles on any OAI-compliant institutional / subject-based repository. It has many articles which include original articIes, review articles, case reports etc and is very popular among the nephrologists, urologists and transplant surgeons alike. It has a very wide circulation among all the nephrologists, urologists, transplant surgeons and physicians iinvolved in kidney, heart, liver, lungs and pancreas transplantation.
×
引用
GB/T 7714-2015
复制
MLA
复制
APA
复制
导出至
BibTeX EndNote RefMan NoteFirst NoteExpress
×
提示
您的信息不完整,为了账户安全,请先补充。
现在去补充
×
提示
您因"违规操作"
具体请查看互助需知
我知道了
×
提示
确定
请完成安全验证×
copy
已复制链接
快去分享给好友吧!
我知道了
右上角分享
点击右上角分享
0
联系我们:info@booksci.cn Book学术提供免费学术资源搜索服务,方便国内外学者检索中英文文献。致力于提供最便捷和优质的服务体验。 Copyright © 2023 布克学术 All rights reserved.
京ICP备2023020795号-1
ghs 京公网安备 11010802042870号
Book学术文献互助
Book学术文献互助群
群 号:604180095
Book学术官方微信