Iatrogenic Rupture of the Urinary Bladder in an Infant During Retrograde Cystourethrography.

Salma Foura, Karima Fouraiji, Najoua Aballa, El Ouafi El Aouni Kamili, Mohamed Oulad Saiad
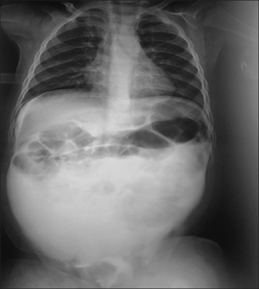
{"title":"Iatrogenic Rupture of the Urinary Bladder in an Infant During Retrograde Cystourethrography.","authors":"Salma Foura, Karima Fouraiji, Najoua Aballa, El Ouafi El Aouni Kamili, Mohamed Oulad Saiad","doi":"10.4103/ajps.ajps_49_22","DOIUrl":null,"url":null,"abstract":"<p><strong>Abstract: </strong>Iatrogenic bladder rupture in children during a retrograde cystourethrography is very uncommon. We present a case of iatrogenic intraperitoneal bladder rupture in a 9-month child during the retrograde cystourethrography performed by a radiologist. The child presented in a paediatric emergency after 6 h with an acute abdomen indicating urinary peritonitis. An urgent laparotomy was performed and the perforation was repaired in two layers. The follow-up was unremarkable. This report emphasises the importance of respecting the criteria of the proper retrograde cystourethrography imaging procedure.</p>","PeriodicalId":72123,"journal":{"name":"African journal of paediatric surgery : AJPS","volume":"1 1","pages":"61-63"},"PeriodicalIF":0.0000,"publicationDate":"2024-01-01","publicationTypes":"Journal Article","fieldsOfStudy":null,"isOpenAccess":false,"openAccessPdf":"https://www.ncbi.nlm.nih.gov/pmc/articles/PMC10903736/pdf/","citationCount":"0","resultStr":null,"platform":"Semanticscholar","paperid":null,"PeriodicalName":"African journal of paediatric surgery : AJPS","FirstCategoryId":"1085","ListUrlMain":"https://doi.org/10.4103/ajps.ajps_49_22","RegionNum":0,"RegionCategory":null,"ArticlePicture":[],"TitleCN":null,"AbstractTextCN":null,"PMCID":null,"EPubDate":"2023/1/19 0:00:00","PubModel":"Epub","JCR":"","JCRName":"","Score":null,"Total":0}
引用次数: 0

Abstract

Abstract: Iatrogenic bladder rupture in children during a retrograde cystourethrography is very uncommon. We present a case of iatrogenic intraperitoneal bladder rupture in a 9-month child during the retrograde cystourethrography performed by a radiologist. The child presented in a paediatric emergency after 6 h with an acute abdomen indicating urinary peritonitis. An urgent laparotomy was performed and the perforation was repaired in two layers. The follow-up was unremarkable. This report emphasises the importance of respecting the criteria of the proper retrograde cystourethrography imaging procedure.

Abstract Image

Abstract Image

逆行膀胱尿道造影术中婴儿膀胱先天性破裂。
摘要:儿童在逆行膀胱尿道造影术中先天性膀胱破裂的情况非常罕见。我们介绍了一例放射科医生在为一名 9 个月大的儿童进行逆行膀胱尿道造影术时造成膀胱腹膜内破裂的病例。患儿在 6 小时后因急腹症就诊于儿科急诊,诊断为泌尿系腹膜炎。医生紧急进行了开腹手术,并分两层修补了穿孔。随访情况无异常。本报告强调了遵守正确的逆行膀胱尿道造影成像程序标准的重要性。
本文章由计算机程序翻译,如有差异,请以英文原文为准。
求助全文
约1分钟内获得全文 求助全文
来源期刊
自引率
0.00%
发文量
0
×
引用
GB/T 7714-2015
复制
MLA
复制
APA
复制
导出至
BibTeX EndNote RefMan NoteFirst NoteExpress
×
提示
您的信息不完整,为了账户安全,请先补充。
现在去补充
×
提示
您因"违规操作"
具体请查看互助需知
我知道了
×
提示
确定
请完成安全验证×
copy
已复制链接
快去分享给好友吧!
我知道了
右上角分享
点击右上角分享
0
联系我们:info@booksci.cn Book学术提供免费学术资源搜索服务,方便国内外学者检索中英文文献。致力于提供最便捷和优质的服务体验。 Copyright © 2023 布克学术 All rights reserved.
京ICP备2023020795号-1
ghs 京公网安备 11010802042870号
Book学术文献互助
Book学术文献互助群
群 号:604180095
Book学术官方微信