Acro-osteolysis in a Filipino Male with Vinyl Chloride Exposure: A Case Report.

Annals of the National Academy of Medical Sciences India Pub Date : 2023-07-27 eCollection Date: 2023-01-01 DOI:10.47895/amp.vi0.5224
Karl Babe G Tagomata, Therese Eileen B Lladoc-Natividad
{"title":"Acro-osteolysis in a Filipino Male with Vinyl Chloride Exposure: A Case Report.","authors":"Karl Babe G Tagomata, Therese Eileen B Lladoc-Natividad","doi":"10.47895/amp.vi0.5224","DOIUrl":null,"url":null,"abstract":"<p><p>Occupational acro-osteolysis pertains to bone resorption of the distal phalanges of the hands and feet among workers with vinyl chloride exposure. We report the case of a Filipino man with osteolysis of the distal phalanges of the hands initially considered to have systemic sclerosis. The patient had gradual shortening of the fingers, thickening of the skin over the extremities, and hypopigmented patches over a span of more than 20 years. His lower extremities presented with non-pitting edema, skin thickening, and neuropathy, without shortening of the digits. Difficulty of ambulation was apparent due to the development of feet inversion. Radiographic findings of the hands and feet included resorption of distal phalanges, erosive and sclerotic changes, and narrowed joint spaces. Other conditions considered were Hansen's disease, skeletal tuberculosis, and diabetic neuropathic arthropathy, which were eventually ruled out. The final diagnosis was occupational acro-osteolysis secondary to vinyl chloride exposure. The patient underwent serial total contact casting of the bilateral lower extremities to relieve bipedal edema and to reposition the feet. This case emphasizes the significance of investigating a patient's occupational history and highlights a rare sequela of exposure to a commonly used chemical agent in the manufacture of polyvinyl chloride products.</p>","PeriodicalId":53332,"journal":{"name":"Annals of the National Academy of Medical Sciences India","volume":"56 1","pages":"67-72"},"PeriodicalIF":0.0000,"publicationDate":"2023-07-27","publicationTypes":"Journal Article","fieldsOfStudy":null,"isOpenAccess":false,"openAccessPdf":"https://www.ncbi.nlm.nih.gov/pmc/articles/PMC11522587/pdf/","citationCount":"0","resultStr":null,"platform":"Semanticscholar","paperid":null,"PeriodicalName":"Annals of the National Academy of Medical Sciences India","FirstCategoryId":"1085","ListUrlMain":"https://doi.org/10.47895/amp.vi0.5224","RegionNum":0,"RegionCategory":null,"ArticlePicture":[],"TitleCN":null,"AbstractTextCN":null,"PMCID":null,"EPubDate":"2023/1/1 0:00:00","PubModel":"eCollection","JCR":"","JCRName":"","Score":null,"Total":0}
引用次数: 0

Abstract

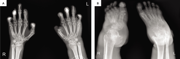
Occupational acro-osteolysis pertains to bone resorption of the distal phalanges of the hands and feet among workers with vinyl chloride exposure. We report the case of a Filipino man with osteolysis of the distal phalanges of the hands initially considered to have systemic sclerosis. The patient had gradual shortening of the fingers, thickening of the skin over the extremities, and hypopigmented patches over a span of more than 20 years. His lower extremities presented with non-pitting edema, skin thickening, and neuropathy, without shortening of the digits. Difficulty of ambulation was apparent due to the development of feet inversion. Radiographic findings of the hands and feet included resorption of distal phalanges, erosive and sclerotic changes, and narrowed joint spaces. Other conditions considered were Hansen's disease, skeletal tuberculosis, and diabetic neuropathic arthropathy, which were eventually ruled out. The final diagnosis was occupational acro-osteolysis secondary to vinyl chloride exposure. The patient underwent serial total contact casting of the bilateral lower extremities to relieve bipedal edema and to reposition the feet. This case emphasizes the significance of investigating a patient's occupational history and highlights a rare sequela of exposure to a commonly used chemical agent in the manufacture of polyvinyl chloride products.

Abstract Image

Abstract Image

Abstract Image

一名菲律宾男性因接触氯乙烯而患上牙槽骨溶解症:病例报告。
职业性趾骨骨溶解症是指接触氯乙烯的工人的手脚远端趾骨发生骨吸收。我们报告了一名手部远端指骨骨质溶解的菲律宾男子的病例,最初被认为患有系统性硬化症。20 多年来,患者手指逐渐变短,四肢皮肤增厚,并出现色素沉着斑。他的下肢出现非点状水肿、皮肤增厚和神经病变,但指头没有缩短。由于双脚内翻,行走明显困难。手部和足部的影像学检查结果包括远端指骨吸收、侵蚀和硬化性变化以及关节间隙变窄。考虑的其他病症包括汉森氏病、骨骼结核和糖尿病神经性关节病,但最终都被排除。最终诊断为接触氯乙烯引起的职业性骨关节溶解症。患者接受了连续的双下肢全接触铸造治疗,以缓解双足水肿并调整足部位置。该病例强调了调查患者职业史的重要性,并突出说明了在聚氯乙烯产品生产过程中接触一种常用化学制剂所导致的罕见后遗症。
本文章由计算机程序翻译,如有差异,请以英文原文为准。
求助全文
约1分钟内获得全文 求助全文
来源期刊
自引率
0.00%
发文量
19
审稿时长
12 weeks
×
引用
GB/T 7714-2015
复制
MLA
复制
APA
复制
导出至
BibTeX EndNote RefMan NoteFirst NoteExpress
×
提示
您的信息不完整,为了账户安全,请先补充。
现在去补充
×
提示
您因"违规操作"
具体请查看互助需知
我知道了
×
提示
确定
请完成安全验证×
copy
已复制链接
快去分享给好友吧!
我知道了
右上角分享
点击右上角分享
0
联系我们:info@booksci.cn Book学术提供免费学术资源搜索服务,方便国内外学者检索中英文文献。致力于提供最便捷和优质的服务体验。 Copyright © 2023 布克学术 All rights reserved.
京ICP备2023020795号-1
ghs 京公网安备 11010802042870号
Book学术文献互助
Book学术文献互助群
群 号:604180095
Book学术官方微信